电话:
+86 (0512) 65829739
传真:
+86 (010) 6788 5057
电子邮件:
orders@antibodies-online.cn

STK25 抗体

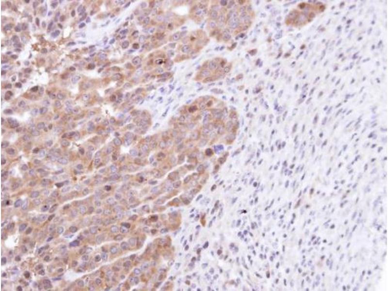
The 兔 多克隆 anti-STK25 antibody (ABIN2856516) specifically detects STK25 in WB, IHC (p), ICC 和 IF. The antibody is reactive with 人 samples.
产品编号 ABIN2856516
发货至: 中国
Contact our Customer Service for availability and price in your country. Contact Info

Our Local Distributor

中国
北京 101111
No. 88 KeChuang 6th Street
Beijing Economic Technological Development Area
Room 801-803
4A Biotech Co.,Ltd.
Tel +86 (0512) 65829739 传真 +86 (010) 6788 5057

Quick Overview for STK25 抗体 (ABIN2856516)

抗原

See all STK25 抗体
STK25 (serine/threonine Kinase 25 (STK25))

适用

  • 41
  • 8
  • 4
  • 2
  • 2
  • 1
  • 1
  • 1

宿主

  • 38
  • 3

克隆类型

  • 39
  • 2
多克隆

标记

  • 24
  • 5
  • 4
  • 4
  • 2
  • 2
This STK25 antibody is un-conjugated

应用范围

  • 37
  • 25
  • 13
  • 6
  • 1
  • 1
  • 1
  • 1
  • 1
  • 1
Western Blotting (WB), Immunohistochemistry (Paraffin-embedded Sections) (IHC (p)), Immunocytochemistry (ICC), Immunofluorescence (IF)
  • 交叉反应

    产品特性

    Rabbit Polyclonal antibody to STK25 (serine/threonine kinase 25 (STE20 homolog, yeast))
    STK25 antibody [N1C1]

    纯化方法

    Purified by antigen-affinity chromatography.

    免疫原

    Recombinant protein encompassing a sequence within the center region of human STK25. The exact sequence is proprietary.

    亚型

    IgG
  • 应用备注

    WB: 1:500-1:3000. ICC/IF: 1:100-1:1000. IHC-P: 1:100-1:1000. Optimal dilutions/concentrations should be determined by the researcher. Not tested in other applications.

    限制

    仅限研究用
  • 状态

    Liquid

    浓度

    0.21 mg/mL

    缓冲液

    1XPBS ( pH 7), 1 % BSA, 20 % Glycerol, 0.025 % ProClin 300

    储存液

    ProClin

    注意事项

    This product contains ProClin: a POISONOUS AND HAZARDOUS SUBSTANCE which should be handled by trained staff only.

    储存条件

    4 °C,-20 °C

    储存方法

    Store as concentrated solution. Centrifuge briefly prior to opening vial. For short-term storage (1-2 weeks), store at 4°C. For long-term storage, aliquot and store at -20°C or below. Avoid multiple freeze-thaw cycles.
  • 抗原

    STK25 (serine/threonine Kinase 25 (STK25))

    别名

    serine/threonine kinase 25

    背景

    Oxidant stress-activated serine/threonine kinase that may play a role in the response to environmental stress. Targets to the Golgi apparatus where it appears to regulate protein transport events, cell adhesion, and polarity complexes important for cell migration.

    Cellular Localization: Cytoplasm , Golgi apparatus

    分子量

    48 kDa

    基因ID

    10494

    UniProt

    O00506
You are here: