ASB4 抗体
Our Local Distributor
北京 101111
Quick Overview for ASB4 抗体 (ABIN2856505)
抗原
See all ASB4 抗体适用
宿主
克隆类型
标记
应用范围
-
-
交叉反应
- 人, 小鼠
-
产品特性
-
Rabbit Polyclonal antibody to ASB4 (ankyrin repeat and SOCS box-containing 4)
ASB4 antibody [N1C3] -
纯化方法
- Purified by antigen-affinity chromatography.
-
免疫原
- Recombinant protein encompassing a sequence within the center region of human ASB4. The exact sequence is proprietary.
-
亚型
- IgG
-
-
-
-
应用备注
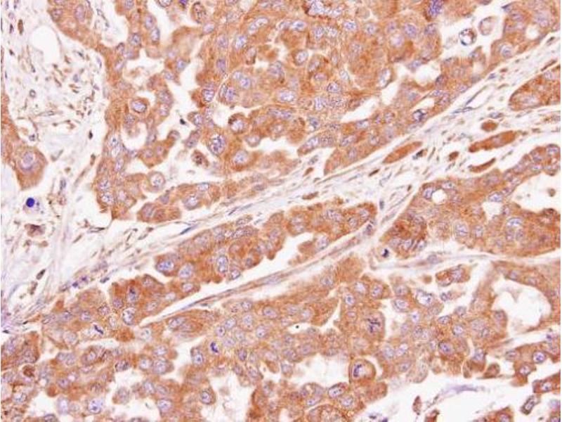
- WB: 1:500-1:3000. IHC-P: 1:100-1:1000. Optimal dilutions/concentrations should be determined by the researcher. Not tested in other applications.
-
说明
-
Positive Control: Mouse brain , A431
-
限制
- 仅限研究用
-
-
-
状态
- Liquid
-
浓度
- 0.74 mg/mL
-
缓冲液
- 0.1M Tris-Glycine ( pH 7), 10 % Glycerol, 0.01 % Thimerosal
-
储存液
- Thimerosal (Merthiolate)
-
注意事项
- This product contains Thimerosal (Merthiolate): a POISONOUS AND HAZARDOUS SUBSTANCE which should be handled by trained staff only.
-
储存条件
- 4 °C,-20 °C
-
储存方法
- Store as concentrated solution. Centrifuge briefly prior to opening vial. For short-term storage (1-2 weeks), store at 4°C. For long-term storage, aliquot and store at -20°C or below. Avoid multiple freeze-thaw cycles.
-
-
- ASB4 (Ankyrin Repeat and SOCS Box Containing 4 (ASB4))
-
别名
- ankyrin repeat and SOCS box containing 4
-
背景
-
The protein encoded by this gene is a member of the ankyrin repeat and SOCS box-containing (ASB) family of proteins. They contain ankyrin repeat sequence and SOCS box domain. The SOCS box serves to couple suppressor of cytokine signalling (SOCS) proteins and their binding partners with the elongin B and C complex, possibly targeting them for degradation. Multiple alternatively spliced transcript variants have been described for this gene but some of the full length sequences are not known.
-
分子量
- 48 kDa
-
基因ID
- 51666
-
UniProt
- Q9Y574
抗原
-