电话:
+86 (0512) 65829739
传真:
+86 (010) 6788 5057
电子邮件:
orders@antibodies-online.cn

FHL5 抗体

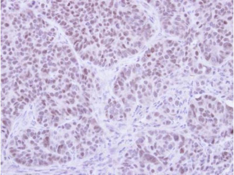
The 兔 多克隆 anti-FHL5 antibody is suitable to detect FHL5 in samples from 人. It has been validated for WB, IF, ICC 和 IHC (p).
产品编号 ABIN2856473
发货至: 中国
Contact our Customer Service for availability and price in your country. Contact Info

Our Local Distributor

中国
北京 101111
No. 88 KeChuang 6th Street
Beijing Economic Technological Development Area
Room 801-803
4A Biotech Co.,Ltd.
Tel +86 (0512) 65829739 传真 +86 (010) 6788 5057

Quick Overview for FHL5 抗体 (ABIN2856473)

抗原

See all FHL5 抗体
FHL5 (Four and A Half LIM Domains 5 (FHL5))

适用

  • 25
  • 6
  • 6
  • 3
  • 2
  • 2
  • 2
  • 1
  • 1
  • 1
  • 1
  • 1
  • 1
  • 1
  • 1

宿主

  • 24
  • 3

克隆类型

  • 25
  • 2
多克隆

标记

  • 17
  • 2
  • 1
  • 1
  • 1
  • 1
  • 1
  • 1
  • 1
  • 1
This FHL5 antibody is un-conjugated

应用范围

  • 15
  • 8
  • 4
  • 3
  • 1
  • 1
  • 1
  • 1
  • 1
Western Blotting (WB), Immunofluorescence (IF), Immunocytochemistry (ICC), Immunohistochemistry (Paraffin-embedded Sections) (IHC (p))
  • 交叉反应

    产品特性

    Rabbit Polyclonal antibody to FHL5 (four and a half LIM domains 5)
    FHL5 antibody [N1C2]

    纯化方法

    Purified by antigen-affinity chromatography.

    免疫原

    Recombinant protein encompassing a sequence within the center region of human FHL5. The exact sequence is proprietary.

    亚型

    IgG
  • 应用备注

    WB: 1:500-1:3000. ICC/IF: 1:100-1:1000. IHC-P: 1:100-1:1000. Optimal dilutions/concentrations should be determined by the researcher. Not tested in other applications.

    说明

    Positive Control: 293T , Raji

    限制

    仅限研究用
  • 状态

    Liquid

    浓度

    1 mg/mL

    缓冲液

    0.1M Tris-Glycine ( pH 7), 10 % Glycerol, 0.01 % Thimerosal

    储存液

    Thimerosal (Merthiolate)

    注意事项

    This product contains Thimerosal (Merthiolate): a POISONOUS AND HAZARDOUS SUBSTANCE which should be handled by trained staff only.

    储存条件

    4 °C,-20 °C

    储存方法

    Store as concentrated solution. Centrifuge briefly prior to opening vial. For short-term storage (1-2 weeks), store at 4°C. For long-term storage, aliquot and store at -20°C or below. Avoid multiple freeze-thaw cycles.
  • 抗原

    FHL5 (Four and A Half LIM Domains 5 (FHL5))

    别名

    four and a half LIM domains 5

    背景

    The protein encoded by this gene is coordinately expressed with activator of cAMP-responsive element modulator (CREM). It is associated with CREM and confers a powerful transcriptional activation function. CREM acts as a transcription factor essential for the differentiation of spermatids into mature spermatozoa. There are multiple polyadenylation sites found in this gene.

    Cellular Localization: Nucleus

    分子量

    33 kDa

    基因ID

    9457

    UniProt

    Q5TD97
You are here: