电话:
+86 (0512) 65829739
传真:
+86 (010) 6788 5057
电子邮件:
orders@antibodies-online.cn

CHMP5 抗体

The 兔 多克隆 anti-CHMP5 antibody (ABIN2856420) specifically detects CHMP5 in WB, IF, IHC (p), ICC 和 IP. The antibody is reactive with 人 samples.
产品编号 ABIN2856420
发货至: 中国
Contact our Customer Service for availability and price in your country. Contact Info

Our Local Distributor

中国
北京 101111
No. 88 KeChuang 6th Street
Beijing Economic Technological Development Area
Room 801-803
4A Biotech Co.,Ltd.
Tel +86 (0512) 65829739 传真 +86 (010) 6788 5057

Quick Overview for CHMP5 抗体 (ABIN2856420)

抗原

See all CHMP5 抗体
CHMP5 (Charged Multivesicular Body Protein 5 (CHMP5))

适用

  • 32
  • 5
  • 3
  • 2
  • 1
  • 1
  • 1
  • 1
  • 1

宿主

  • 29
  • 2
  • 1

克隆类型

  • 30
  • 2
多克隆

标记

  • 16
  • 4
  • 2
  • 2
  • 1
  • 1
  • 1
  • 1
  • 1
  • 1
  • 1
  • 1
This CHMP5 antibody is un-conjugated

应用范围

  • 19
  • 16
  • 5
  • 3
  • 1
  • 1
  • 1
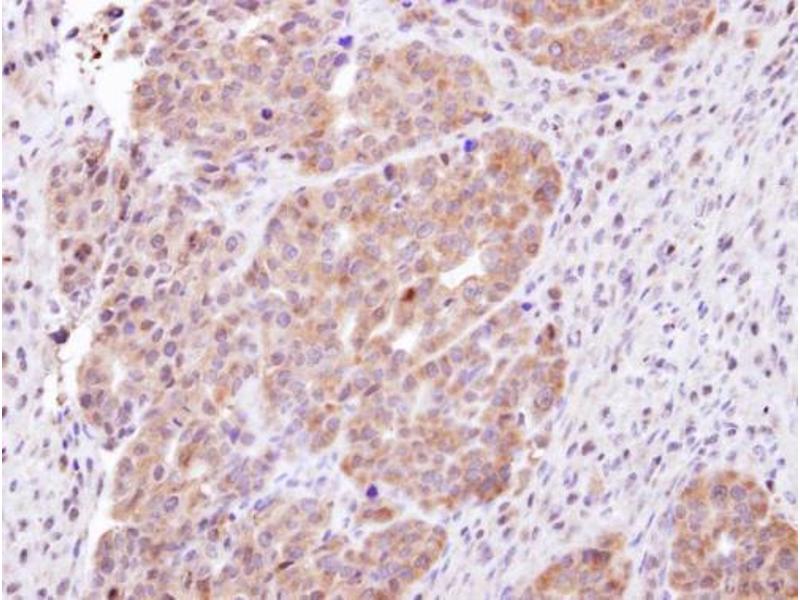
Western Blotting (WB), Immunofluorescence (IF), Immunohistochemistry (Paraffin-embedded Sections) (IHC (p)), Immunocytochemistry (ICC), Immunoprecipitation (IP)
  • 交叉反应

    人, 小鼠

    产品特性

    Rabbit Polyclonal antibody to CHMP5 (chromatin modifying protein 5)
    CHMP5 antibody [N1C3]

    纯化方法

    Purified by antigen-affinity chromatography.

    免疫原

    Recombinant protein encompassing a sequence within the center region of human CHMP5. The exact sequence is proprietary.

    亚型

    IgG
  • 应用备注

    WB: 1:500-1:3000. ICC/IF: 1:100-1:1000. IHC-P: 1:100-1:1000. Optimal dilutions/concentrations should be determined by the researcher. Not tested in other applications.

    说明

    Positive Control: 293T , A431 , H1299 , HeLaS3 , HepG2

    Validation: Comparison, Orthogonal

    限制

    仅限研究用
  • 状态

    Liquid

    浓度

    0.7 mg/mL

    缓冲液

    0.1M Tris-Glycine ( pH 7), 10 % Glycerol, 0.01 % Thimerosal

    储存液

    Thimerosal (Merthiolate)

    注意事项

    This product contains Thimerosal (Merthiolate): a POISONOUS AND HAZARDOUS SUBSTANCE which should be handled by trained staff only.

    储存条件

    4 °C,-20 °C

    储存方法

    Store as concentrated solution. Centrifuge briefly prior to opening vial. For short-term storage (1-2 weeks), store at 4°C. For long-term storage, aliquot and store at -20°C or below. Avoid multiple freeze-thaw cycles.
  • 抗原

    CHMP5 (Charged Multivesicular Body Protein 5 (CHMP5))

    别名

    charged multivesicular body protein 5

    背景

    CHMP5 belongs to the chromatin-modifying protein/charged multivesicular body protein (CHMP) family. These proteins are components of ESCRT-III (endosomal sorting complex required for transport III), a complex involved in degradation of surface receptor proteins and formation of endocytic multivesicular bodies (MVBs). Some CHMPs have both nuclear and cytoplasmic/vesicular distributions, and one such CHMP, CHMP1A (MIM 164010), is required for both MVB formation and regulation of cell cycle progression (Tsang et al., 2006 [PubMed 16730941]).[supplied by OMIM]

    Cellular Localization: Cytoplasm , cytosol , Endosome membrane, Peripheral membrane protein , Cytoplasm , cytosol , Endosome membrane

    分子量

    25 kDa

    基因ID

    51510

    UniProt

    Q9NZZ3
You are here: