电话:
+86 (0512) 65829739
传真:
+86 (010) 6788 5057
电子邮件:
orders@antibodies-online.cn

SF3B3 抗体 (C-Term)

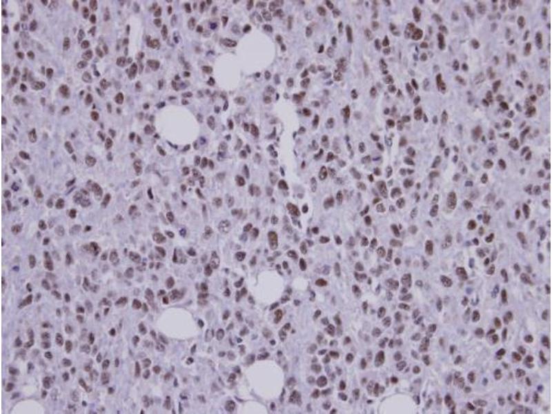
The 兔 多克隆 anti-SF3B3 antibody (ABIN2856381) specifically detects SF3B3 in WB, IF, ICC 和 IHC (p). The antibody is reactive with 人 samples.
产品编号 ABIN2856381
发货至: 中国
Contact our Customer Service for availability and price in your country. Contact Info

Our Local Distributor

中国
北京 101111
No. 88 KeChuang 6th Street
Beijing Economic Technological Development Area
Room 801-803
4A Biotech Co.,Ltd.
Tel +86 (0512) 65829739 传真 +86 (010) 6788 5057

Quick Overview for SF3B3 抗体 (C-Term) (ABIN2856381)

抗原

See all SF3B3 抗体
SF3B3 (Splicing Factor 3b, Subunit 3, 130kDa (SF3B3))

适用

  • 64
  • 48
  • 33
  • 3
  • 3
  • 3
  • 3
  • 3
  • 3
  • 2
  • 2
  • 2
  • 1
  • 1

宿主

  • 63
  • 2
  • 1

克隆类型

  • 36
  • 30
多克隆

标记

  • 29
  • 5
  • 4
  • 4
  • 4
  • 4
  • 4
  • 4
  • 2
  • 2
  • 1
  • 1
  • 1
  • 1
This SF3B3 antibody is un-conjugated

应用范围

  • 45
  • 25
  • 21
  • 18
  • 14
  • 12
  • 3
  • 3
  • 1
  • 1
  • 1
  • 1
Western Blotting (WB), Immunofluorescence (IF), Immunocytochemistry (ICC), Immunohistochemistry (Paraffin-embedded Sections) (IHC (p))
  • 抗原表位

    • 8
    • 5
    • 2
    • 1
    • 1
    • 1
    • 1
    • 1
    • 1
    • 1
    • 1
    • 1
    • 1
    • 1
    • 1
    • 1
    • 1
    • 1
    • 1
    C-Term

    交叉反应

    产品特性

    Rabbit Polyclonal antibody to SAP130 (splicing factor 3b, subunit 3, 130 kDa)
    SAP130 antibody [C3], C-term

    纯化方法

    Purified by antigen-affinity chromatography.

    免疫原

    Carrier-protein conjugated synthetic peptide encompassing a sequence within the C-terminus region of human SAP130. The exact sequence is proprietary.

    亚型

    IgG
  • 应用备注

    WB: 1:500-1:20000. ICC/IF: 1:100-1:1000. IHC-P: 1:100-1:1000. Optimal dilutions/concentrations should be determined by the researcher. Not tested in other applications.

    说明

    Positive Control: HeLa

    限制

    仅限研究用
  • 状态

    Liquid

    浓度

    1 mg/mL

    缓冲液

    1XPBS ( pH 7), 1 % BSA, 20 % Glycerol, 0.01 % Thimerosal

    储存液

    Thimerosal (Merthiolate)

    注意事项

    This product contains Thimerosal (Merthiolate): a POISONOUS AND HAZARDOUS SUBSTANCE which should be handled by trained staff only.

    储存条件

    4 °C,-20 °C

    储存方法

    Store as concentrated solution. Centrifuge briefly prior to opening vial. For short-term storage (1-2 weeks), store at 4°C. For long-term storage, aliquot and store at -20°C or below. Avoid multiple freeze-thaw cycles.
  • 抗原

    SF3B3 (Splicing Factor 3b, Subunit 3, 130kDa (SF3B3))

    别名

    splicing factor 3b subunit 3

    背景

    This gene encodes subunit 3 of the splicing factor 3b protein complex. Splicing factor 3b, together with splicing factor 3a and a 12S RNA unit, forms the U2 small nuclear ribonucleoproteins complex (U2 snRNP). The splicing factor 3b/3a complex binds pre-mRNA upstream of the intron's branch site in a sequence independent manner and may anchor the U2 snRNP to the pre-mRNA. Splicing factor 3b is also a component of the minor U12-type spliceosome. Subunit 3 has also been identified as a component of the STAGA (SPT3-TAF(II)31-GCN5L acetylase) transcription coactivator-HAT (histone acetyltransferase) complex, and the TFTC (TATA-binding-protein-free TAF(II)-containing complex). These complexes may function in chromatin modification, transcription, splicing, and DNA repair.

    Cellular Localization: Nucleus

    分子量

    136 kDa

    基因ID

    23450

    UniProt

    Q15393
You are here: