电话:
+86 (0512) 65829739
传真:
+86 (010) 6788 5057
电子邮件:
orders@antibodies-online.cn

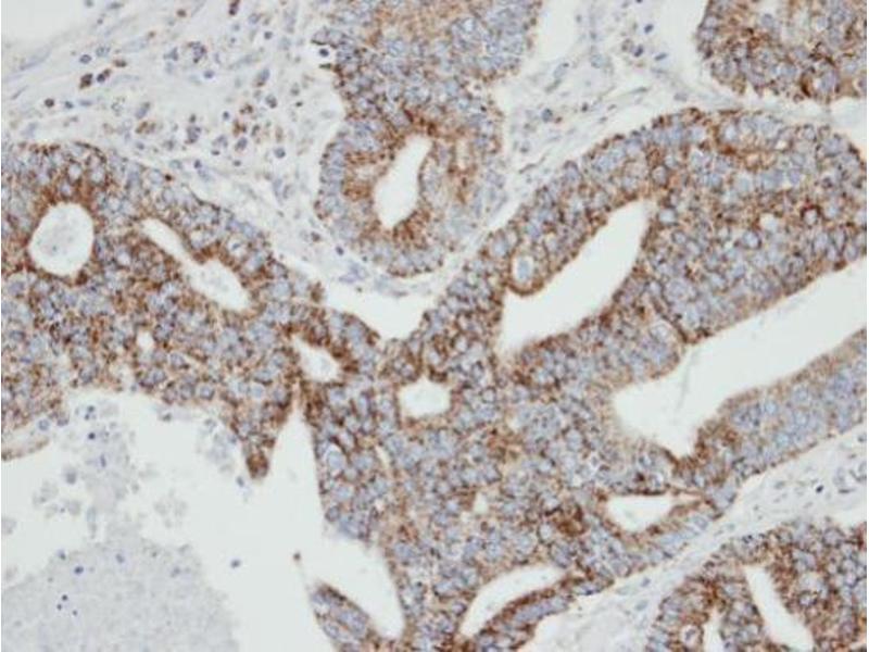
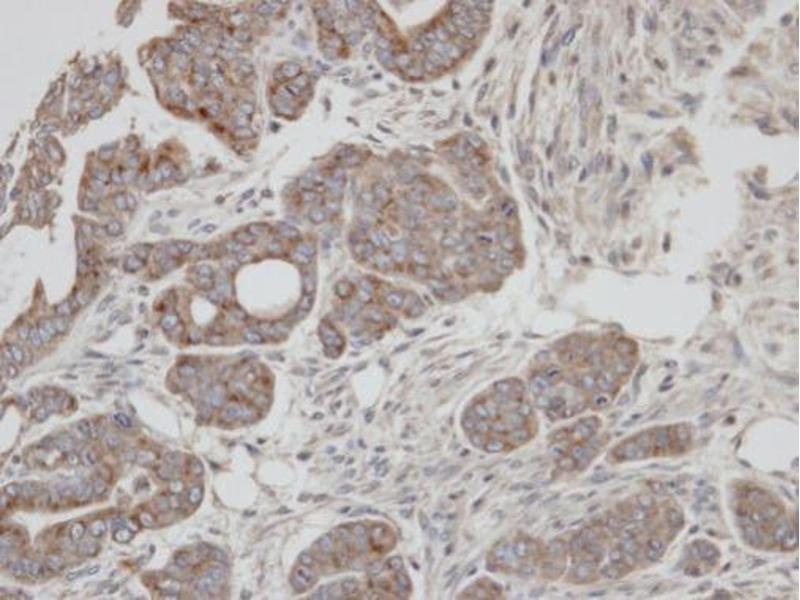
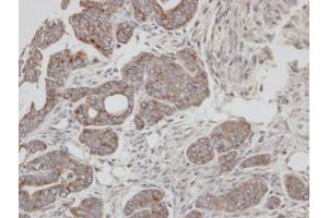
RAB2A 抗体 (C-Term)

This 兔 多克隆 antibody specifically detects RAB2A in WB 和 IHC (p). It exhibits reactivity toward 人.
产品编号 ABIN2856334
发货至: 中国
Contact our Customer Service for availability and price in your country. Contact Info

Our Local Distributor

中国
北京 101111
No. 88 KeChuang 6th Street
Beijing Economic Technological Development Area
Room 801-803
4A Biotech Co.,Ltd.
Tel +86 (0512) 65829739 传真 +86 (010) 6788 5057

Quick Overview for RAB2A 抗体 (C-Term) (ABIN2856334)

抗原

See all RAB2A 抗体
RAB2A (RAB2A, Member RAS Oncogene Family (RAB2A))

适用

  • 46
  • 19
  • 12
  • 7
  • 5
  • 5
  • 5
  • 5
  • 4
  • 4
  • 4
  • 4
  • 3
  • 2
  • 2
  • 2
  • 2
  • 1
  • 1
  • 1

宿主

  • 39
  • 5
  • 2

克隆类型

  • 42
  • 4
多克隆

标记

  • 21
  • 3
  • 3
  • 2
  • 1
  • 1
  • 1
  • 1
  • 1
  • 1
  • 1
  • 1
  • 1
  • 1
  • 1
  • 1
  • 1
  • 1
  • 1
  • 1
  • 1
This RAB2A antibody is un-conjugated

应用范围

  • 33
  • 15
  • 13
  • 13
  • 6
  • 5
  • 3
  • 3
  • 2
  • 1
Western Blotting (WB), Immunohistochemistry (Paraffin-embedded Sections) (IHC (p))
  • 抗原表位

    • 15
    • 8
    • 5
    • 3
    • 2
    • 1
    • 1
    • 1
    • 1
    • 1
    • 1
    C-Term

    交叉反应

    产品特性

    Rabbit polyclonal antibody to RAB2A (RAB2A, member RAS oncogene family)
    RAB2A antibody [C2C3], C-term

    纯化方法

    Purified by antigen-affinity chromatography.

    免疫原

    Carrier-protein conjugated synthetic peptide encompassing a sequence within the C-terminus region of human RAB2A. The exact sequence is proprietary.

    亚型

    IgG
  • 应用备注

    WB: 1:500-1:3000. IHC-P: 1:100-1:1000. Optimal dilutions/concentrations should be determined by the researcher. Not tested in other applications.

    说明

    Positive Control: H1299 , HeLaS3

    限制

    仅限研究用
  • 状态

    Liquid

    浓度

    0.51 mg/mL

    缓冲液

    0.1M Tris-Glycine ( pH 7), 10 % Glycerol, 0.01 % Thimerosal

    储存液

    Thimerosal (Merthiolate)

    注意事项

    This product contains Thimerosal (Merthiolate): a POISONOUS AND HAZARDOUS SUBSTANCE which should be handled by trained staff only.

    储存条件

    4 °C,-20 °C

    储存方法

    Store as concentrated solution. Centrifuge briefly prior to opening vial. For short-term storage (1-2 weeks), store at 4°C. For long-term storage, aliquot and store at -20°C or below. Avoid multiple freeze-thaw cycles.
  • 抗原

    RAB2A (RAB2A, Member RAS Oncogene Family (RAB2A))

    别名

    RAB2A, member RAS oncogene family

    背景

    Members of the Rab protein family are nontransforming monomeric GTP-binding proteins of the Ras superfamily that contain 4 highly conserved regions involved in GTP binding and hydrolysis. Rabs are prenylated, membrane-bound proteins involved in vesicular fusion and trafficking. The mammalian RAB proteins show striking similarities to the S. cerevisiae YPT1 and SEC4 proteins, Ras-related GTP-binding proteins involved in the regulation of secretion.[supplied by OMIM]

    Cellular Localization: Endoplasmic reticulum-Golgi intermediate compartment membrane, Lipid-anchor , Melanosome , Endoplasmic reticulum membrane, Lipid-anchor (Potential) , Golgi apparatus membrane, Lipid-anchor (Potential)

    分子量

    24 kDa

    基因ID

    5862

    UniProt

    P61019

    途径

    SARS-CoV-2 Protein Interactome
You are here: