电话:
+86 (0512) 65829739
传真:
+86 (010) 6788 5057
电子邮件:
orders@antibodies-online.cn

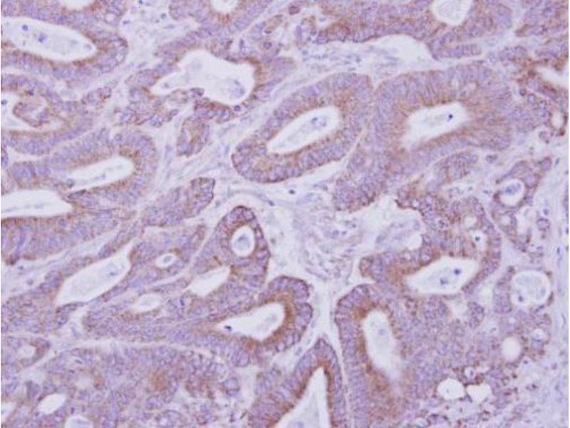
PKA 2 beta (Center) 抗体

This 兔 多克隆 antibody specifically detects PKA 2 beta in WB, ICC, IF 和 IHC (p). It exhibits reactivity toward 人 和 小鼠.
产品编号 ABIN2856124
发货至: 中国
Contact our Customer Service for availability and price in your country. Contact Info

Our Local Distributor

中国
北京 101111
No. 88 KeChuang 6th Street
Beijing Economic Technological Development Area
Room 801-803
4A Biotech Co.,Ltd.
Tel +86 (0512) 65829739 传真 +86 (010) 6788 5057

Quick Overview for PKA 2 beta (Center) 抗体 (ABIN2856124)

抗原

PKA 2 beta

适用

  • 18
  • 18
  • 16
人, 小鼠

宿主

  • 18

克隆类型

  • 16
  • 2
多克隆

标记

  • 2
  • 2
  • 2
  • 2
  • 2
  • 2
  • 2
  • 2
  • 1
  • 1
非结合性

应用范围

  • 10
  • 9
  • 9
  • 9
  • 9
  • 9
Western Blotting (WB), Immunocytochemistry (ICC), Immunofluorescence (IF), Immunohistochemistry (Paraffin-embedded Sections) (IHC (p))
  • 抗原表位

    • 7
    • 2
    • 2
    Center

    交叉反应

    大鼠, 非洲爪蟾, 牛

    交叉反应 (详细)

    Rat (96 %), Xenopus laevis (84 %), Bovine (99 %)

    产品特性

    Rabbit Polyclonal antibody to PKA 2 beta (protein kinase, cAMP-dependent, regulatory, type II, beta)
    PKA 2 beta antibody

    纯化方法

    Purified by antigen-affinity chromatography.

    免疫原

    Recombinant protein encompassing a sequence within the center region of human PKA 2 beta. The exact sequence is proprietary.

    亚型

    IgG
  • 应用备注

    Suggested dilution Reference ICC/IF 1:100-1:1000* IHC (Formalin-fixed paraffin-embedded sections) 1:100-1:1000* Western blot 1:500-1:3000* Not tested in other applications. *Optimal dilutions/concentrations should be determined by the researcher.Suggested dilutionReferenceICC/IF1:100-1:1000* IHC (Formalin-fixed paraffin-embedded sections)1:100-1:1000* Western blot1:500-1:3000*

    说明

    Positive Control: A431 , H1299 , HeLa , HepG2 , mouse brain

    限制

    仅限研究用
  • 状态

    Liquid

    浓度

    0.67 mg/mL

    缓冲液

    0.1M Tris, 0.1M Glycine, 10 % Glycerol ( pH 7). 0.01 % Thimerosal was added as a preservative.

    储存液

    Thimerosal (Merthiolate)

    注意事项

    This product contains Thimerosal (Merthiolate): a POISONOUS AND HAZARDOUS SUBSTANCE which should be handled by trained staff only.

    储存条件

    -20 °C

    储存方法

    Keep as concentrated solution. Aliquot and store at -20°C or below. Avoid multiple freeze-thaw cycles.
  • 抗原

    PKA 2 beta

    背景

    CAMP is a signaling molecule important for a variety of cellular functions. cAMP exerts its effects by activating the cAMP-dependent protein kinase, which transduces the signal through phosphorylation of different target proteins. The inactive kinase holoenzyme is a tetramer composed of two regulatory and two catalytic subunits. cAMP causes the dissociation of the inactive holoenzyme into a dimer of regulatory subunits bound to four cAMP and two free monomeric catalytic subunits. Four different regulatory subunits and three catalytic subunits have been identified in humans. The protein encoded by this gene is one of the regulatory subunits. This subunit can be phosphorylated by the activated catalytic subunit. This subunit has been shown to interact with and suppress the transcriptional activity of the cAMP responsive element binding protein 1 (CREB1) in activated T cells. Knockout studies in mice suggest that this subunit may play an important role in regulating energy balance and adiposity. The studies also suggest that this subunit may mediate the gene induction and cataleptic behavior induced by haloperidol.

    分子量

    46 kDa

    基因ID

    5577
You are here: