电话:
+86 (0512) 65829739
传真:
+86 (010) 6788 5057
电子邮件:
orders@antibodies-online.cn

OPTN 抗体

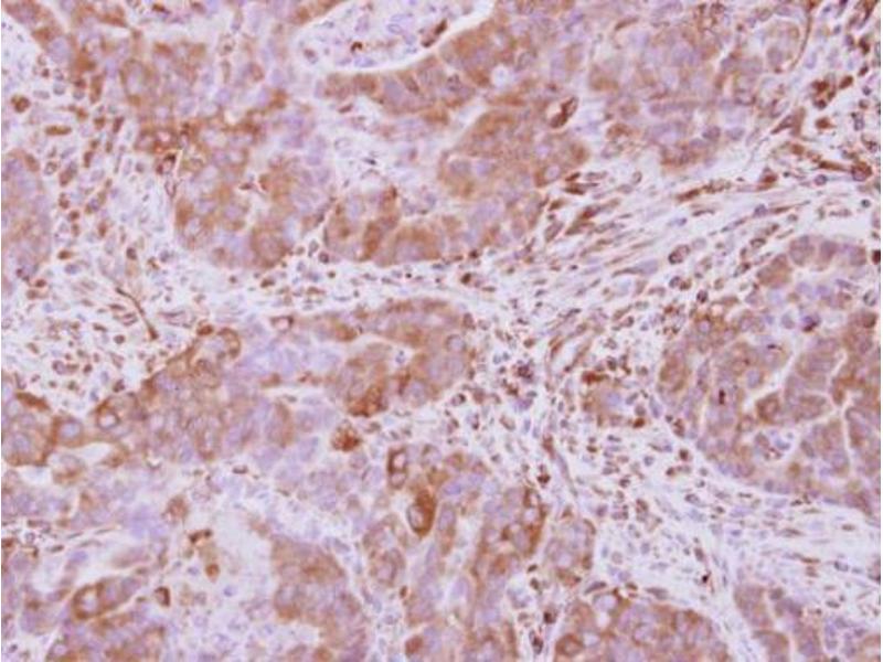
The 兔 多克隆 anti-OPTN antibody (ABIN2856108) specifically detects OPTN in WB, IP, ICC, IF 和 IHC (p). The antibody is reactive with 人 samples.
产品编号 ABIN2856108
发货至: 中国
Contact our Customer Service for availability and price in your country. Contact Info

Our Local Distributor

中国
北京 101111
No. 88 KeChuang 6th Street
Beijing Economic Technological Development Area
Room 801-803
4A Biotech Co.,Ltd.
Tel +86 (0512) 65829739 传真 +86 (010) 6788 5057

Quick Overview for OPTN 抗体 (ABIN2856108)

抗原

See all OPTN 抗体
OPTN (Optineurin (OPTN))

适用

  • 66
  • 32
  • 16
  • 7
  • 6
  • 5
  • 5
  • 4
  • 2
  • 2
  • 1

宿主

  • 63
  • 5

克隆类型

  • 53
  • 15
多克隆

标记

  • 33
  • 4
  • 2
  • 2
  • 2
  • 2
  • 2
  • 2
  • 2
  • 2
  • 1
  • 1
  • 1
  • 1
  • 1
  • 1
  • 1
  • 1
  • 1
  • 1
  • 1
  • 1
  • 1
  • 1
  • 1
This OPTN antibody is un-conjugated

应用范围

  • 58
  • 20
  • 13
  • 13
  • 13
  • 8
  • 8
  • 5
  • 3
  • 3
  • 2
Western Blotting (WB), Immunoprecipitation (IP), Immunocytochemistry (ICC), Immunofluorescence (IF), Immunohistochemistry (Paraffin-embedded Sections) (IHC (p))
  • 交叉反应

    产品特性

    Rabbit Polyclonal antibody to Optineurin (optineurin)
    Optineurin antibody

    纯化方法

    Purified by antigen-affinity chromatography.

    免疫原

    Recombinant protein encompassing a sequence within the center region of human Optineurin. The exact sequence is proprietary.

    亚型

    IgG
  • 应用备注

    WB: 1:500-1:3000. ICC/IF: 1:100-1:1000. IHC-P: 1:100-1:1000. IP: 1:100-1:500. Optimal dilutions/concentrations should be determined by the researcher. Not tested in other applications.

    说明

    Positive Control: A431 , H1299 , HepG2

    限制

    仅限研究用
  • 状态

    Liquid

    浓度

    1 mg/mL

    缓冲液

    0.1M Tris-Glycine ( pH 7), 10 % Glycerol, 0.01 % Thimerosal

    储存液

    Thimerosal (Merthiolate)

    注意事项

    This product contains Thimerosal (Merthiolate): a POISONOUS AND HAZARDOUS SUBSTANCE which should be handled by trained staff only.

    储存条件

    4 °C,-20 °C

    储存方法

    Store as concentrated solution. Centrifuge briefly prior to opening vial. For short-term storage (1-2 weeks), store at 4°C. For long-term storage, aliquot and store at -20°C or below. Avoid multiple freeze-thaw cycles.
  • 抗原

    OPTN (Optineurin (OPTN))

    别名

    optineurin

    背景

    This gene encodes the coiled-coil containing protein optineurin. Optineurin may play a role in normal-tension glaucoma and adult-onset primary open angle glaucoma. Optineurin interacts with adenovirus E3-14.7K protein and may utilize tumor necrosis factor-alpha or Fas-ligand pathways to mediate apoptosis, inflammation or vasoconstriction. Optineurin may also function in cellular morphogenesis and membrane trafficking, vesicle trafficking, and transcription activation through its interactions with the RAB8, huntingtin, and transcription factor IIIA proteins. Alternative splicing results in multiple transcript variants encoding the same protein.

    Cellular Localization: Cytoplasm , perinuclear region , Golgi apparatus

    分子量

    66 kDa

    基因ID

    10133

    UniProt

    Q96CV9

    途径

    M Phase
You are here: