电话:
+86 (0512) 65829739
传真:
+86 (010) 6788 5057
电子邮件:
orders@antibodies-online.cn

KLF15 抗体 (N-Term)

The 兔 多克隆 anti-KLF15 antibody is suitable to detect KLF15 in samples from 人. It has been validated for WB.
产品编号 ABIN2855966
发货至: 中国
Contact our Customer Service for availability and price in your country. Contact Info

Our Local Distributor

中国
北京 101111
No. 88 KeChuang 6th Street
Beijing Economic Technological Development Area
Room 801-803
4A Biotech Co.,Ltd.
Tel +86 (0512) 65829739 传真 +86 (010) 6788 5057

Quick Overview for KLF15 抗体 (N-Term) (ABIN2855966)

抗原

See all KLF15 抗体
KLF15 (Kruppel-Like Factor 15 (KLF15))

适用

  • 38
  • 5
  • 4
  • 2
  • 2
  • 2
  • 2
  • 2
  • 1
  • 1

宿主

  • 31
  • 6
  • 1

克隆类型

  • 33
  • 5
多克隆

标记

  • 26
  • 2
  • 1
  • 1
  • 1
  • 1
  • 1
  • 1
  • 1
  • 1
  • 1
  • 1
This KLF15 antibody is un-conjugated

应用范围

  • 30
  • 15
  • 7
  • 4
  • 2
  • 1
  • 1
  • 1
  • 1
Western Blotting (WB)
  • 抗原表位

    • 8
    • 4
    • 4
    • 2
    • 2
    • 2
    • 1
    • 1
    • 1
    • 1
    • 1
    • 1
    • 1
    • 1
    N-Term

    交叉反应

    产品特性

    Rabbit polyclonal antibody to KLF15 (Kruppel-like factor 15)
    KLF15 antibody [N1], N-term

    纯化方法

    Purified by antigen-affinity chromatography.

    免疫原

    Carrier-protein conjugated synthetic peptide encompassing a sequence within the N-terminus region of human KLF15. The exact sequence is proprietary.

    亚型

    IgG
  • 应用备注

    WB: 1:500-1:3000. Optimal dilutions/concentrations should be determined by the researcher. Not tested in other applications.

    说明

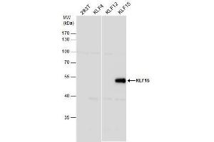
    Positive Control: Molt-4 , human KLF15-transfected 293T

    Validation: Overexpression

    限制

    仅限研究用
  • 状态

    Liquid

    浓度

    1 mg/mL

    缓冲液

    0.1M Tris-Glycine ( pH 7), 10 % Glycerol, 0.01 % Thimerosal

    储存液

    Thimerosal (Merthiolate)

    注意事项

    This product contains Thimerosal (Merthiolate): a POISONOUS AND HAZARDOUS SUBSTANCE which should be handled by trained staff only.

    储存条件

    4 °C,-20 °C

    储存方法

    Store as concentrated solution. Centrifuge briefly prior to opening vial. For short-term storage (1-2 weeks), store at 4°C. For long-term storage, aliquot and store at -20°C or below. Avoid multiple freeze-thaw cycles.
  • 抗原

    KLF15 (Kruppel-Like Factor 15 (KLF15))

    别名

    Kruppel like factor 15

    背景

    Transcriptional activator. Binds to the GA element of the CLCNKA promoter.

    Cellular Localization: Nucleus

    分子量

    44 kDa

    基因ID

    28999

    UniProt

    Q9UIH9
You are here: