电话:
+86 (0512) 65829739
传真:
+86 (010) 6788 5057
电子邮件:
orders@antibodies-online.cn

LIM Domain Binding 1 Protein 抗体

The 兔 多克隆 anti-LIM Domain Binding 1 Protein antibody is suitable to detect LIM Domain Binding 1 Protein in samples from 人. It has been validated for WB, IP, IHC (p), IF 和 ICC.
产品编号 ABIN2855846
发货至: 中国
Contact our Customer Service for availability and price in your country. Contact Info

Our Local Distributor

中国
北京 101111
No. 88 KeChuang 6th Street
Beijing Economic Technological Development Area
Room 801-803
4A Biotech Co.,Ltd.
Tel +86 (0512) 65829739 传真 +86 (010) 6788 5057

Quick Overview for LIM Domain Binding 1 Protein 抗体 (ABIN2855846)

抗原

See all LIM Domain Binding 1 Protein (LDB1) 抗体
LIM Domain Binding 1 Protein (LDB1) (LIM Domain Binding 1 (LDB1))

适用

  • 51
  • 13
  • 8
  • 6
  • 5
  • 5
  • 5
  • 5
  • 5
  • 3
  • 2
  • 2
  • 2
  • 2
  • 2

宿主

  • 50
  • 4

克隆类型

  • 51
  • 3
多克隆

标记

  • 31
  • 4
  • 3
  • 3
  • 1
  • 1
  • 1
  • 1
  • 1
  • 1
  • 1
  • 1
  • 1
  • 1
  • 1
  • 1
  • 1
This LIM Domain Binding 1 Protein antibody is un-conjugated

应用范围

  • 49
  • 22
  • 13
  • 13
  • 10
  • 6
  • 4
  • 4
  • 3
  • 3
  • 2
  • 1
  • 1
  • 1
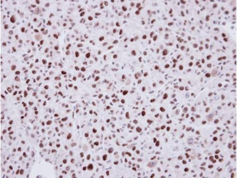
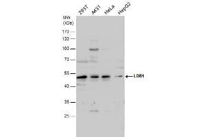
Western Blotting (WB), Immunoprecipitation (IP), Immunohistochemistry (Paraffin-embedded Sections) (IHC (p)), Immunofluorescence (IF), Immunocytochemistry (ICC)

质量等级

KO Validated
  • 交叉反应

    人, 小鼠, 大鼠

    产品特性

    Rabbit Polyclonal antibody to LDB1 (LIM domain binding 1)
    LDB1 antibody [N2C3]

    纯化方法

    Purified by antigen-affinity chromatography.

    免疫原

    Recombinant protein encompassing a sequence within the center region of human LDB1. The exact sequence is proprietary.

    亚型

    IgG
  • 应用备注

    WB: 1:500-1:3000. ICC/IF: 1:100-1:1000. IHC-P: 1:100-1:1000. IP: 1:100-1:500. Optimal dilutions/concentrations should be determined by the researcher. Not tested in other applications.

    说明

    Positive Control: Mouse brain , HeLa

    Validation: KO/KD

    限制

    仅限研究用
  • 状态

    Liquid

    浓度

    1 mg/mL

    缓冲液

    1XPBS ( pH 7), 20 % Glycerol, 0.025 % ProClin 300

    储存液

    ProClin

    注意事项

    This product contains ProClin: a POISONOUS AND HAZARDOUS SUBSTANCE which should be handled by trained staff only.

    储存条件

    4 °C,-20 °C

    储存方法

    Store as concentrated solution. Centrifuge briefly prior to opening vial. For short-term storage (1-2 weeks), store at 4°C. For long-term storage, aliquot and store at -20°C or below. Avoid multiple freeze-thaw cycles.
  • 抗原

    LIM Domain Binding 1 Protein (LDB1) (LIM Domain Binding 1 (LDB1))

    别名

    LIM domain binding 1

    背景

    Binds to the LIM domain of a wide variety of LIM domain-containing transcription factors. May regulate the transcriptional activity of LIM-containing proteins by determining specific partner interactions. May play a role in the development of motor neurons. Acts synergistically with LHX1/LIM1 in axis formation and activation of gene expression. Acts with LMO2 in the regulation of red blood cell development, maintaining erythroid precursors in an immature state.

    Cellular Localization: Nucleus

    分子量

    47 kDa

    基因ID

    8861

    UniProt

    Q86U70

    途径

    Stem Cell Maintenance, Chromatin Binding
You are here: