电话:
+86 (0512) 65829739
传真:
+86 (010) 6788 5057
电子邮件:
orders@antibodies-online.cn

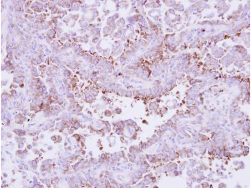
Laminin beta 3 抗体

The 兔 多克隆 anti-Laminin beta 3 antibody (ABIN2855691) specifically detects Laminin beta 3 in WB, ICC, IF 和 IHC (p). The antibody is reactive with 人 samples.
产品编号 ABIN2855691
发货至: 中国
Contact our Customer Service for availability and price in your country. Contact Info

Our Local Distributor

中国
北京 101111
No. 88 KeChuang 6th Street
Beijing Economic Technological Development Area
Room 801-803
4A Biotech Co.,Ltd.
Tel +86 (0512) 65829739 传真 +86 (010) 6788 5057

Quick Overview for Laminin beta 3 抗体 (ABIN2855691)

抗原

See all Laminin beta 3 (LAMB3) 抗体
Laminin beta 3 (LAMB3) (Laminin, beta 3 (LAMB3))

适用

  • 33
  • 9
  • 3
  • 2
  • 2
  • 2
  • 1
  • 1

宿主

  • 32
  • 9

克隆类型

  • 33
  • 8
多克隆

标记

  • 31
  • 2
  • 1
  • 1
  • 1
  • 1
  • 1
  • 1
  • 1
  • 1
This Laminin beta 3 antibody is un-conjugated

应用范围

  • 27
  • 16
  • 10
  • 10
  • 8
  • 6
  • 4
  • 2
  • 1
Western Blotting (WB), Immunocytochemistry (ICC), Immunofluorescence (IF), Immunohistochemistry (Paraffin-embedded Sections) (IHC (p))
  • 交叉反应

    人, 小鼠

    产品特性

    Rabbit Polyclonal antibody to Laminin beta 3 (laminin, beta 3)
    Laminin beta 3 antibody [C1C2], Internal

    纯化方法

    Purified by antigen-affinity chromatography.

    免疫原

    Recombinant protein encompassing a sequence within the center region of human Laminin beta 3. The exact sequence is proprietary.

    亚型

    IgG
  • 应用备注

    WB: 1:500-1:3000. ICC/IF: 1:100-1:1000. IHC-P: 1:100-1:1000. Optimal dilutions/concentrations should be determined by the researcher. Not tested in other applications.

    说明

    Positive Control: NIH-3T3 , A431

    限制

    仅限研究用
  • 状态

    Liquid

    浓度

    0.46 mg/mL

    缓冲液

    1XPBS ( pH 7), 1 % BSA, 20 % Glycerol, 0.025 % ProClin 300

    储存液

    ProClin

    注意事项

    This product contains ProClin: a POISONOUS AND HAZARDOUS SUBSTANCE which should be handled by trained staff only.

    储存条件

    4 °C,-20 °C

    储存方法

    Store as concentrated solution. Centrifuge briefly prior to opening vial. For short-term storage (1-2 weeks), store at 4°C. For long-term storage, aliquot and store at -20°C or below. Avoid multiple freeze-thaw cycles.
  • 抗原

    Laminin beta 3 (LAMB3) (Laminin, beta 3 (LAMB3))

    别名

    laminin subunit beta 3

    背景

    The product encoded by this gene is a laminin that belongs to a family of basement membrane proteins. This protein is a beta subunit laminin, which together with an alpha and a gamma subunit, forms laminin-5. Mutations in this gene cause epidermolysis bullosa junctional Herlitz type, and generalized atrophic benign epidermolysis bullosa, diseases that are characterized by blistering of the skin. Multiple alternatively spliced transcript variants that encode the same protein have been found for this gene.

    Cellular Localization: Secreted , extracellular space , extracellular matrix , basement membrane

    分子量

    130 kDa

    基因ID

    3914

    UniProt

    Q13751

    途径

    Brown Fat Cell Differentiation
You are here: