电话:
+86 (0512) 65829739
传真:
+86 (010) 6788 5057
电子邮件:
orders@antibodies-online.cn

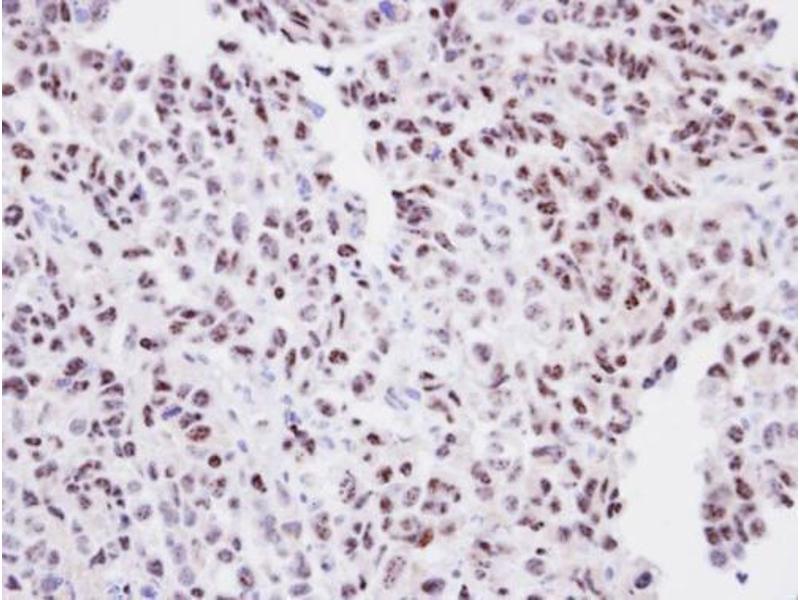
ORC2 抗体

The 兔 多克隆 anti-ORC2 antibody (ABIN2855601) specifically detects ORC2 in WB 和 IHC (p). The antibody is reactive with 人 samples.
产品编号 ABIN2855601
发货至: 中国
Contact our Customer Service for availability and price in your country. Contact Info

Our Local Distributor

中国
北京 101111
No. 88 KeChuang 6th Street
Beijing Economic Technological Development Area
Room 801-803
4A Biotech Co.,Ltd.
Tel +86 (0512) 65829739 传真 +86 (010) 6788 5057

Quick Overview for ORC2 抗体 (ABIN2855601)

抗原

See all ORC2 抗体
ORC2 (Origin Recognition Complex Subunit 2 (ORC2))

适用

  • 30
  • 21
  • 6
  • 2
  • 1
  • 1
  • 1
  • 1
  • 1
  • 1

宿主

  • 39
  • 5
  • 1

克隆类型

  • 39
  • 6
多克隆

标记

  • 26
  • 2
  • 2
  • 2
  • 1
  • 1
  • 1
  • 1
  • 1
  • 1
  • 1
  • 1
  • 1
  • 1
  • 1
  • 1
  • 1
This ORC2 antibody is un-conjugated

应用范围

  • 30
  • 17
  • 14
  • 13
  • 8
  • 6
  • 5
  • 4
  • 4
  • 3
  • 3
  • 1
  • 1
Western Blotting (WB), Immunohistochemistry (Paraffin-embedded Sections) (IHC (p))
  • 交叉反应

    产品特性

    Rabbit polyclonal antibody to ORC2 (origin recognition complex, subunit 2-like (yeast))
    ORC2 antibody [N3C2], Internal

    纯化方法

    Purified by antigen-affinity chromatography.

    免疫原

    Recombinant protein encompassing a sequence within the center region of human ORC2. The exact sequence is proprietary.

    亚型

    IgG
  • 应用备注

    WB: 1:500-1:3000. IHC-P: 1:100-1:1000. Optimal dilutions/concentrations should be determined by the researcher. Not tested in other applications.

    说明

    Positive Control: Raji

    限制

    仅限研究用
  • 状态

    Liquid

    浓度

    0.7 mg/mL

    缓冲液

    1XPBS ( pH 7), 1 % BSA, 20 % Glycerol, 0.01 % Thimerosal

    储存液

    Thimerosal (Merthiolate)

    注意事项

    This product contains Thimerosal (Merthiolate): a POISONOUS AND HAZARDOUS SUBSTANCE which should be handled by trained staff only.

    储存条件

    4 °C,-20 °C

    储存方法

    Store as concentrated solution. Centrifuge briefly prior to opening vial. For short-term storage (1-2 weeks), store at 4°C. For long-term storage, aliquot and store at -20°C or below. Avoid multiple freeze-thaw cycles.
  • 抗原

    ORC2 (Origin Recognition Complex Subunit 2 (ORC2))

    别名

    origin recognition complex subunit 2

    背景

    The origin recognition complex (ORC) is a highly conserved six subunits protein complex essential for the initiation of the DNA replication in eukaryotic cells. Studies in yeast demonstrated that ORC binds specifically to origins of replication and serves as a platform for the assembly of additional initiation factors such as Cdc6 and Mcm proteins. The protein encoded by this gene is a subunit of the ORC complex. This protein forms a core complex with ORC3L, -4L, and -5L. It also interacts with CDC45L and MCM10, which are proteins known to be important for the initiation of DNA replication. This protein has been demonstrated to specifically associate with the origin of replication of Epstein-Barr virus in human cells, and is thought to be required for DNA replication from viral origin of replication.

    Cellular Localization: Nucleus

    分子量

    66 kDa

    基因ID

    4999

    UniProt

    Q13416
You are here: