电话:
+86 (0512) 65829739
传真:
+86 (010) 6788 5057
电子邮件:
orders@antibodies-online.cn

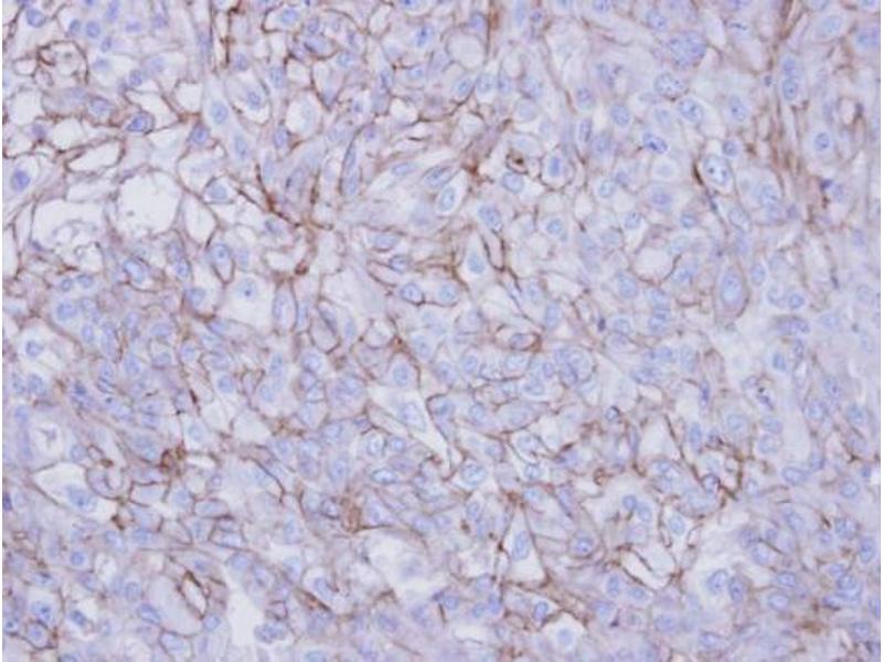
Desmoglein 2 抗体 (N-Term)

The 兔 多克隆 anti-Desmoglein 2 antibody is suitable to detect Desmoglein 2 in samples from 人. It has been validated for WB, IF, ICC 和 IHC (p).
产品编号 ABIN2855411
发货至: 中国
Contact our Customer Service for availability and price in your country. Contact Info

Our Local Distributor

中国
北京 101111
No. 88 KeChuang 6th Street
Beijing Economic Technological Development Area
Room 801-803
4A Biotech Co.,Ltd.
Tel +86 (0512) 65829739 传真 +86 (010) 6788 5057

Quick Overview for Desmoglein 2 抗体 (N-Term) (ABIN2855411)

抗原

See all Desmoglein 2 (DSG2) 抗体
Desmoglein 2 (DSG2)

适用

  • 114
  • 47
  • 47
  • 5
  • 4
  • 4
  • 2
  • 1
  • 1
  • 1

宿主

  • 87
  • 28
  • 2

克隆类型

  • 67
  • 50
多克隆

标记

  • 54
  • 6
  • 5
  • 4
  • 3
  • 3
  • 3
  • 3
  • 3
  • 3
  • 3
  • 2
  • 2
  • 1
  • 1
  • 1
  • 1
  • 1
  • 1
  • 1
  • 1
  • 1
  • 1
  • 1
  • 1
  • 1
  • 1
  • 1
  • 1
  • 1
  • 1
  • 1
  • 1
  • 1
  • 1
  • 1
This Desmoglein 2 antibody is un-conjugated

应用范围

  • 89
  • 35
  • 29
  • 22
  • 21
  • 13
  • 13
  • 12
  • 11
  • 9
  • 5
  • 2
  • 1
  • 1
  • 1
Western Blotting (WB), Immunofluorescence (IF), Immunocytochemistry (ICC), Immunohistochemistry (Paraffin-embedded Sections) (IHC (p))
  • 抗原表位

    • 15
    • 10
    • 5
    • 5
    • 5
    • 2
    • 2
    • 2
    • 2
    • 2
    • 1
    • 1
    • 1
    • 1
    • 1
    • 1
    • 1
    • 1
    • 1
    • 1
    • 1
    • 1
    • 1
    • 1
    N-Term

    交叉反应

    人, 小鼠

    产品特性

    Rabbit Polyclonal antibody to Desmoglein 2 (desmoglein-2)
    Desmoglein 2 antibody [N1N2], N-term

    纯化方法

    Purified by antigen-affinity chromatography.

    免疫原

    Recombinant protein encompassing a sequence within the N-terminus region of human Desmoglein 2. The exact sequence is proprietary.

    亚型

    IgG
  • 应用备注

    WB: 1:500-1:3000. ICC/IF: 1:100-1:1000. IHC-P: 1:100-1:1000. Optimal dilutions/concentrations should be determined by the researcher. Not tested in other applications.

    说明

    Validation: Orthogonal

    限制

    仅限研究用
  • 状态

    Liquid

    浓度

    0.36 mg/mL

    缓冲液

    1XPBS ( pH 7), 1 % BSA, 20 % Glycerol, 0.025 % ProClin 300

    储存液

    ProClin

    注意事项

    This product contains ProClin: a POISONOUS AND HAZARDOUS SUBSTANCE which should be handled by trained staff only.

    储存条件

    4 °C,-20 °C

    储存方法

    Store as concentrated solution. Centrifuge briefly prior to opening vial. For short-term storage (1-2 weeks), store at 4°C. For long-term storage, aliquot and store at -20°C or below. Avoid multiple freeze-thaw cycles.
  • 抗原

    Desmoglein 2 (DSG2)

    别名

    desmoglein 2

    背景

    Desmosomes are cell-cell junctions between epithelial, myocardial, and certain other cell types. This gene product is a calcium-binding transmembrane glycoprotein component of desmosomes in vertebrate epithelial cells. Currently, three desmoglein subfamily members have been identified and all are members of the cadherin cell adhesion molecule superfamily. These desmoglein gene family members are located in a cluster on chromosome 18. This second family member is expressed in colon, colon carcinoma, and other simple and stratified epithelial-derived cell lines. Mutations in this gene have been associated with arrhythmogenic right ventricular dysplasia, familial, 10.

    Cellular Localization: Cell membrane , Cell junction , desmosome

    分子量

    122 kDa

    基因ID

    1829

    UniProt

    Q14126

    途径

    Cell-Cell Junction Organization
You are here: