电话:
+86 (0512) 65829739
传真:
+86 (010) 6788 5057
电子邮件:
orders@antibodies-online.cn

HNRNPAB 抗体

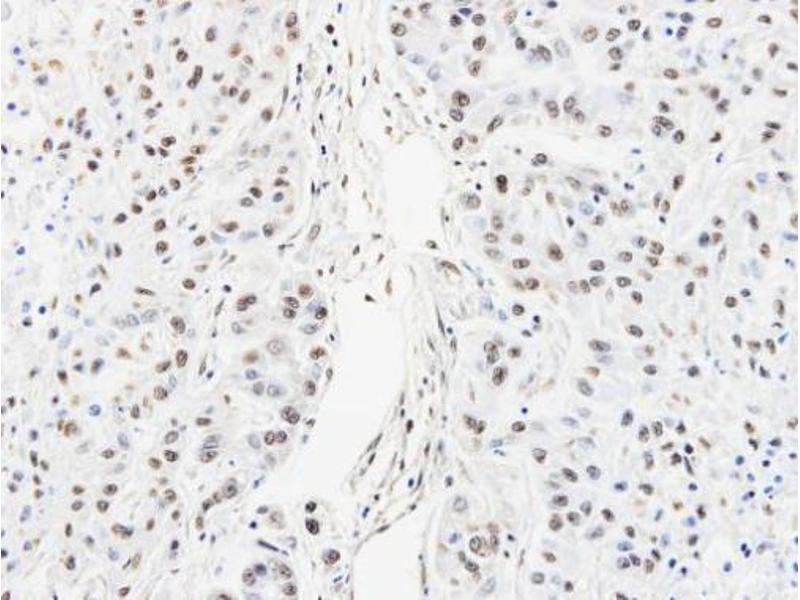
The 兔 多克隆 anti-HNRNPAB antibody (ABIN2855199) specifically detects HNRNPAB in WB, IF, IHC (p), ChIP-seq, ICC, IHC (wm) 和 IP. The antibody is reactive with 人 samples.
产品编号 ABIN2855199
发货至: 中国
Contact our Customer Service for availability and price in your country. Contact Info

Our Local Distributor

中国
北京 101111
No. 88 KeChuang 6th Street
Beijing Economic Technological Development Area
Room 801-803
4A Biotech Co.,Ltd.
Tel +86 (0512) 65829739 传真 +86 (010) 6788 5057

Quick Overview for HNRNPAB 抗体 (ABIN2855199)

抗原

See all HNRNPAB 抗体
HNRNPAB (Heterogeneous Nuclear Ribonucleoprotein A/B (HNRNPAB))

适用

  • 33
  • 17
  • 6
  • 6
  • 4
  • 4
  • 2
  • 2
  • 2
  • 2
  • 1
  • 1
  • 1

宿主

  • 33

克隆类型

  • 33
多克隆

标记

  • 17
  • 3
  • 3
  • 2
  • 1
  • 1
  • 1
  • 1
  • 1
  • 1
  • 1
  • 1
This HNRNPAB antibody is un-conjugated

应用范围

Western Blotting (WB), Immunofluorescence (IF), Immunohistochemistry (Paraffin-embedded Sections) (IHC (p)), ChIP DNA-Sequencing (ChIP-seq), Immunocytochemistry (ICC), Immunohistochemistry (Whole Mount) (IHC (wm)), Immunoprecipitation (IP)

质量等级

KO Validated
  • 交叉反应

    人, 斑马鱼

    产品特性

    Rabbit Polyclonal antibody to hnRNP A/B (heterogeneous nuclear ribonucleoprotein A/B)
    hnRNP A/B antibody

    纯化方法

    Purified by antigen-affinity chromatography.

    免疫原

    Recombinant protein encompassing a sequence within the center region of human hnRNP AB. The exact sequence is proprietary.

    亚型

    IgG
  • 应用备注

    WB: 1:500-1:3000. ICC/IF: 1:100-1:1000. IHC-P: 1:100-1:1000. Optimal dilutions/concentrations should be determined by the researcher. Not tested in other applications.

    说明

    Positive Control: A431 , 293T

    Validation: KO/KD

    限制

    仅限研究用
  • 状态

    Liquid

    浓度

    0.26 mg/mL

    缓冲液

    1XPBS ( pH 7), 1 % BSA, 20 % Glycerol, 0.01 % Thimerosal

    储存液

    Thimerosal (Merthiolate)

    注意事项

    This product contains Thimerosal (Merthiolate): a POISONOUS AND HAZARDOUS SUBSTANCE which should be handled by trained staff only.

    储存条件

    4 °C,-20 °C

    储存方法

    Store as concentrated solution. Centrifuge briefly prior to opening vial. For short-term storage (1-2 weeks), store at 4°C. For long-term storage, aliquot and store at -20°C or below. Avoid multiple freeze-thaw cycles.
  • 抗原

    HNRNPAB (Heterogeneous Nuclear Ribonucleoprotein A/B (HNRNPAB))

    别名

    heterogeneous nuclear ribonucleoprotein A/B

    背景

    This gene belongs to the subfamily of ubiquitously expressed heterogeneous nuclear ribonucleoproteins (hnRNPs). The hnRNPs are produced by RNA polymerase II and are components of the heterogeneous nuclear RNA (hnRNA) complexes. They are associated with pre-mRNAs in the nucleus and appear to influence pre-mRNA processing and other aspects of mRNA metabolism and transport. While all of the hnRNPs are present in the nucleus, some seem to shuttle between the nucleus and the cytoplasm. The hnRNP proteins have distinct nucleic acid binding properties. The protein encoded by this gene, which binds to one of the components of the multiprotein editosome complex, has two repeats of quasi-RRM (RNA recognition motif) domains that bind to RNAs. Two alternatively spliced transcript variants encoding different isoforms have been described for this gene.

    Cellular Localization: Nucleus

    分子量

    36 kDa

    基因ID

    3182

    UniProt

    Q99729
You are here: