电话:
+86 (0512) 65829739
传真:
+86 (010) 6788 5057
电子邮件:
orders@antibodies-online.cn

Glucose-6-Phosphate Dehydrogenase 抗体

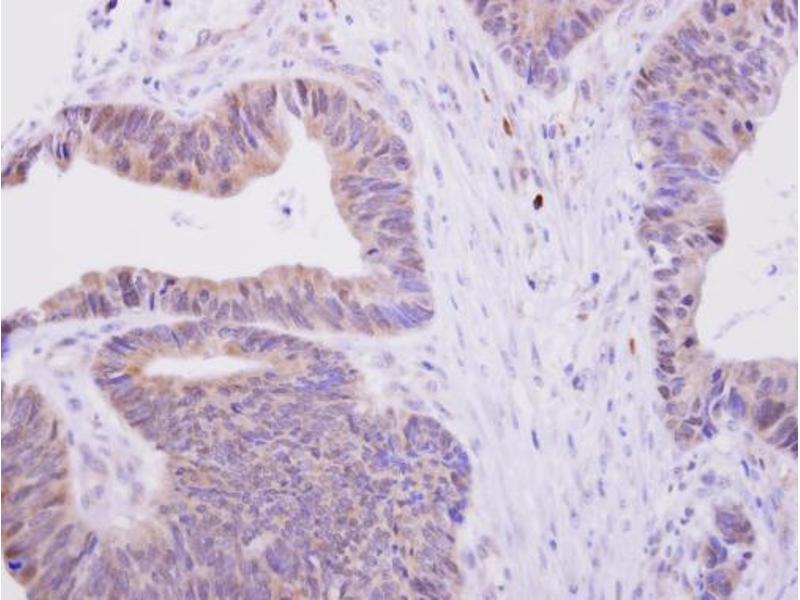
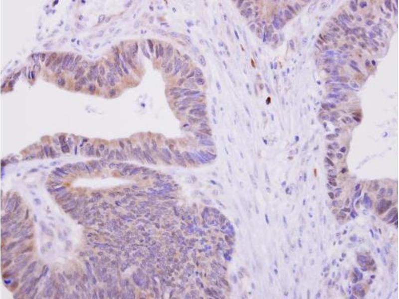
The 兔 多克隆 anti-Glucose-6-Phosphate Dehydrogenase antibody (ABIN2855070) specifically detects Glucose-6-Phosphate Dehydrogenase in WB 和 IHC (p). The antibody is reactive with 人 samples.
产品编号 ABIN2855070
发货至: 中国
Contact our Customer Service for availability and price in your country. Contact Info

Our Local Distributor

中国
北京 101111
No. 88 KeChuang 6th Street
Beijing Economic Technological Development Area
Room 801-803
4A Biotech Co.,Ltd.
Tel +86 (0512) 65829739 传真 +86 (010) 6788 5057

Quick Overview for Glucose-6-Phosphate Dehydrogenase 抗体 (ABIN2855070)

抗原

See all Glucose-6-Phosphate Dehydrogenase (G6PD) 抗体
Glucose-6-Phosphate Dehydrogenase (G6PD)

适用

  • 111
  • 55
  • 32
  • 9
  • 7
  • 6
  • 4
  • 4
  • 3
  • 3
  • 2
  • 2
  • 2
  • 2
  • 2
  • 1

宿主

  • 139
  • 14
  • 12

克隆类型

  • 123
  • 42
多克隆

标记

  • 78
  • 24
  • 9
  • 6
  • 4
  • 4
  • 4
  • 4
  • 4
  • 4
  • 3
  • 3
  • 2
  • 2
  • 2
  • 1
  • 1
  • 1
  • 1
  • 1
  • 1
  • 1
  • 1
  • 1
  • 1
  • 1
  • 1
This Glucose-6-Phosphate Dehydrogenase antibody is un-conjugated

应用范围

  • 123
  • 67
  • 52
  • 40
  • 27
  • 23
  • 16
  • 14
  • 14
  • 14
  • 9
  • 8
  • 8
  • 7
  • 5
  • 4
  • 3
Western Blotting (WB), Immunohistochemistry (Paraffin-embedded Sections) (IHC (p))
  • 交叉反应

    人, 小鼠

    产品特性

    Rabbit Polyclonal antibody to H6PD (hexose-6-phosphate dehydrogenase (glucose 1-dehydrogenase))
    H6PD antibody [N2N3]

    纯化方法

    Purified by antigen-affinity chromatography.

    免疫原

    Recombinant protein encompassing a sequence within the center region of human H6PD. The exact sequence is proprietary.

    亚型

    IgG
  • 应用备注

    WB: 1:500-1:3000. IHC-P: 1:100-1:1000. Optimal dilutions/concentrations should be determined by the researcher. Not tested in other applications.

    说明

    Positive Control: HepG2 , Mouse liver

    限制

    仅限研究用
  • 状态

    Liquid

    浓度

    0.59 mg/mL

    缓冲液

    0.1M Tris-Glycine ( pH 7), 10 % Glycerol, 0.01 % Thimerosal

    储存液

    Thimerosal (Merthiolate)

    注意事项

    This product contains Thimerosal (Merthiolate): a POISONOUS AND HAZARDOUS SUBSTANCE which should be handled by trained staff only.

    储存条件

    4 °C,-20 °C

    储存方法

    Store as concentrated solution. Centrifuge briefly prior to opening vial. For short-term storage (1-2 weeks), store at 4°C. For long-term storage, aliquot and store at -20°C or below. Avoid multiple freeze-thaw cycles.
  • 抗原

    Glucose-6-Phosphate Dehydrogenase (G6PD)

    别名

    hexose-6-phosphate dehydrogenase/glucose 1-dehydrogenase

    背景

    There are 2 forms of glucose-6-phosphate dehydrogenase. G form is X-linked and H form, encoded by this gene, is autosomally linked. This H form shows activity with other hexose-6-phosphates, especially galactose-6-phosphate, whereas the G form is specific for glucose-6-phosphate. Both forms are present in most tissues, but H form is not found in red cells.

    Cellular Localization: Endoplasmic reticulum lumen

    分子量

    89 kDa

    基因ID

    9563

    UniProt

    O95479

    途径

    Regulation of Systemic Arterial Blood Pressure by Hormones
You are here: