电话:
+86 (0512) 65829739
传真:
+86 (010) 6788 5057
电子邮件:
orders@antibodies-online.cn

COX5B 抗体 (Center)

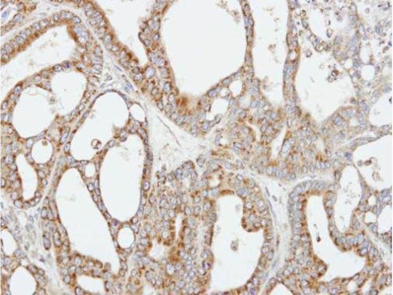
This 兔 多克隆 antibody specifically detects COX5B in WB 和 IHC (p). It exhibits reactivity toward 人.
产品编号 ABIN2855062
发货至: 中国
Contact our Customer Service for availability and price in your country. Contact Info

Our Local Distributor

中国
北京 101111
No. 88 KeChuang 6th Street
Beijing Economic Technological Development Area
Room 801-803
4A Biotech Co.,Ltd.
Tel +86 (0512) 65829739 传真 +86 (010) 6788 5057

Quick Overview for COX5B 抗体 (Center) (ABIN2855062)

抗原

See all COX5B 抗体
COX5B (Cytochrome C Oxidase Subunit Vb (COX5B))

适用

  • 56
  • 29
  • 29
  • 12
  • 1

宿主

  • 54
  • 3

克隆类型

  • 46
  • 11
多克隆

标记

  • 23
  • 5
  • 4
  • 3
  • 3
  • 3
  • 3
  • 3
  • 3
  • 3
  • 1
  • 1
  • 1
  • 1
This COX5B antibody is un-conjugated

应用范围

  • 36
  • 24
  • 23
  • 12
  • 11
  • 7
  • 2
  • 2
  • 1
  • 1
  • 1
  • 1
Western Blotting (WB), Immunohistochemistry (Paraffin-embedded Sections) (IHC (p))
  • 抗原表位

    • 6
    • 4
    • 3
    • 3
    • 1
    • 1
    • 1
    • 1
    • 1
    • 1
    • 1
    • 1
    • 1
    • 1
    Center

    交叉反应

    小鼠, 犬, 猪, 大鼠, 牛

    交叉反应 (详细)

    Mouse (85 %), Dog (83 %), Pig (83 %), Rat (82 %), Bovine (84 %)

    产品特性

    Rabbit Polyclonal antibody to COX5B (cytochrome c oxidase subunit Vb)
    COX5B antibody [N1C3]

    纯化方法

    Affinity purified by Protein A.

    免疫原

    Recombinant protein encompassing a sequence within the center region of human COX5B. The exact sequence is proprietary.

    亚型

    IgG
  • 应用备注

    Suggested dilution Reference IHC (Formalin-fixed paraffin-embedded sections) 1:100-1:1000* Western blot 1:500-1:3000* Not tested in other applications. *Optimal dilutions/concentrations should be determined by the researcher.Suggested dilutionReferenceIHC (Formalin-fixed paraffin-embedded sections)1:100-1:1000* Western blot1:500-1:3000*

    说明

    Positive Control: HepG2

    限制

    仅限研究用
  • 状态

    Liquid

    浓度

    1.00 mg/mL

    缓冲液

    1XPBS, 1 % BSA, 20 % Glycerol ( pH 7). 0.01 % Thimerosal was added as a preservative.

    储存液

    Thimerosal (Merthiolate)

    注意事项

    This product contains Thimerosal (Merthiolate): a POISONOUS AND HAZARDOUS SUBSTANCE which should be handled by trained staff only.

    储存条件

    -20 °C

    储存方法

    Keep as concentrated solution. Aliquot and store at -20°C or below. Avoid multiple freeze-thaw cycles.
  • 抗原

    COX5B (Cytochrome C Oxidase Subunit Vb (COX5B))

    别名

    COX5B

    背景

    Cytochrome C oxidase (COX) is the terminal enzyme of the mitochondrial respiratory chain. It is a multi-subunit enzyme complex that couples the transfer of electrons from cytochrome c to molecular oxygen and contributes to a proton electrochemical gradient across the inner mitochondrial membrane. The complex consists of 13 mitochondrial- and nuclear-encoded subunits. The mitochondrially-encoded subunits perform the electron transfer and proton pumping activities. The functions of the nuclear-encoded subunits are unknown but they may play a role in the regulation and assembly of the complex. This gene encodes the nuclear-encoded subunit Vb of the human mitochondrial respiratory chain enzyme.

    分子量

    14 kDa

    基因ID

    1329
You are here: