AOC3 抗体
Our Local Distributor
北京 101111
Quick Overview for AOC3 抗体 (ABIN2855031)
抗原
See all AOC3 抗体适用
宿主
克隆类型
标记
应用范围
-
-
交叉反应
- 人
-
产品特性
-
Rabbit Polyclonal antibody to VAP1 (amine oxidase, copper containing 3 (vascular adhesion protein 1))
VAP1 antibody -
纯化方法
- Purified by antigen-affinity chromatography.
-
免疫原
- Recombinant protein encompassing a sequence within the center region of human VAP1. The exact sequence is proprietary.
-
亚型
- IgG
-
-
-
-
应用备注
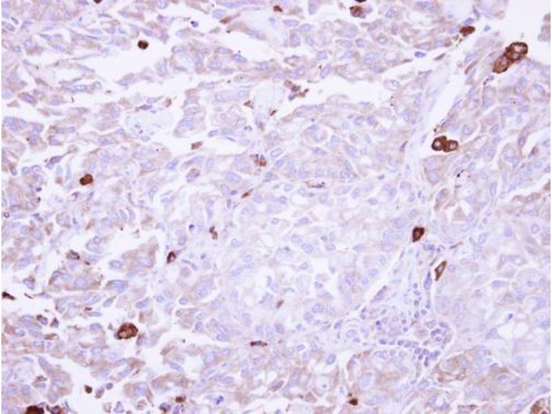
- WB: 1:500-1:3000. IHC-P: 1:100-1:1000. Optimal dilutions/concentrations should be determined by the researcher. Not tested in other applications.
-
说明
-
Positive Control: A431
-
限制
- 仅限研究用
-
-
-
状态
- Liquid
-
浓度
- 0.33 mg/mL
-
缓冲液
- 0.1M Tris-Glycine ( pH 7), 10 % Glycerol, 0.01 % Thimerosal
-
储存液
- Thimerosal (Merthiolate)
-
注意事项
- This product contains Thimerosal (Merthiolate): a POISONOUS AND HAZARDOUS SUBSTANCE which should be handled by trained staff only.
-
储存条件
- 4 °C,-20 °C
-
储存方法
- Store as concentrated solution. Centrifuge briefly prior to opening vial. For short-term storage (1-2 weeks), store at 4°C. For long-term storage, aliquot and store at -20°C or below. Avoid multiple freeze-thaw cycles.
-
-
- AOC3 (Amine Oxidase, Copper Containing 3 (Vascular Adhesion Protein 1) (AOC3))
-
别名
- amine oxidase copper containing 3
-
背景
-
Copper amine oxidases catalyze the oxidative conversion of amines to aldehydes in the presence of copper and quinone cofactor. The product is a major protein on the adipocyte plasma membrane. It has adhesive properties and also has functional monoamine oxidase activity. A pseudogene for this gene has been discribed and is located approximately 9-kb downstream.
Cellular Localization: Membrane -
分子量
- 85 kDa
-
基因ID
- 8639
-
UniProt
- Q16853
-
途径
- Feeding Behaviour
抗原
-