电话:
+86 (0512) 65829739
传真:
+86 (010) 6788 5057
电子邮件:
orders@antibodies-online.cn

Factor VII 抗体

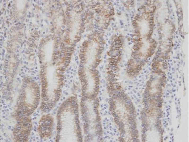
The 兔 多克隆 anti-Factor VII antibody (ABIN2854983) specifically detects Factor VII in WB 和 IHC (p). The antibody is reactive with 人 samples.
产品编号 ABIN2854983
发货至: 中国
Contact our Customer Service for availability and price in your country. Contact Info

Our Local Distributor

中国
北京 101111
No. 88 KeChuang 6th Street
Beijing Economic Technological Development Area
Room 801-803
4A Biotech Co.,Ltd.
Tel +86 (0512) 65829739 传真 +86 (010) 6788 5057

Quick Overview for Factor VII 抗体 (ABIN2854983)

抗原

See all Factor VII (F7) 抗体
Factor VII (F7) (Coagulation Factor VII (F7))

适用

  • 82
  • 14
  • 9
  • 5
  • 2
  • 2
  • 2
  • 1
  • 1

宿主

  • 61
  • 27
  • 9
  • 2
  • 1

克隆类型

  • 74
  • 26
多克隆

标记

  • 72
  • 15
  • 5
  • 4
  • 2
  • 1
  • 1
This Factor VII antibody is un-conjugated

应用范围

  • 63
  • 45
  • 43
  • 17
  • 17
  • 7
  • 5
  • 4
  • 4
  • 4
  • 3
  • 3
  • 3
  • 3
  • 2
  • 2
  • 1
  • 1
  • 1
Western Blotting (WB), Immunohistochemistry (Paraffin-embedded Sections) (IHC (p))
  • 特异性

    Upon activation of the factor VII, proteolytic cleavage of the peptide bond between Arg(152) and Ile(153) converts Factor VII (FVII) to an activated two-chain form (FVIIa). A heavy chain containing a catalytic domain and a light chain containing 2 EGF-like domains are generated. Since the immunogen sequence locates within the heavy chain, it should recognize both Factor VII and Factor VIIa.

    交叉反应

    人, 小鼠

    产品特性

    Rabbit polyclonal antibody to Factor VII (coagulation factor VII (serum prothrombin conversion accelerator))
    Factor VII antibody [N3C3]

    纯化方法

    Purified by antigen-affinity chromatography.

    免疫原

    Recombinant protein encompassing a sequence within the center region of human Factor VII. The exact sequence is proprietary.

    亚型

    IgG
  • 应用备注

    WB: 1:500-1:3000. IHC-P: 1:100-1:1000. Optimal dilutions/concentrations should be determined by the researcher. Not tested in other applications.

    说明

    Positive Control: NIH-3T3

    限制

    仅限研究用
  • 状态

    Liquid

    浓度

    2.32 mg/mL

    缓冲液

    1XPBS pH 7, 20 % Glycerol, 0.025 % ProClin 300

    储存液

    ProClin

    注意事项

    This product contains ProClin: a POISONOUS AND HAZARDOUS SUBSTANCE which should be handled by trained staff only.

    储存条件

    4 °C,-20 °C

    储存方法

    Store as concentrated solution. Centrifuge briefly prior to opening vial. For short-term storage (1-2 weeks), store at 4°C. For long-term storage, aliquot and store at -20°C or below. Avoid multiple freeze-thaw cycles.
  • 抗原

    Factor VII (F7) (Coagulation Factor VII (F7))

    别名

    coagulation factor VII

    背景

    This gene encodes coagulation factor VII which is a vitamin K-dependent factor essential for hemostasis. This factor circulates in the blood in a zymogen form, and is converted to an active form by either factor IXa, factor Xa, factor XIIa, or thrombin by minor proteolysis. Upon activation of the factor VII, a heavy chain containing a catalytic domain and a light chain containing 2 EGF-like domains are generated, and two chains are held together by a disulfide bond. In the presence of factor III and calcium ions, the activated factor then further activates the coagulation cascade by converting factor IX to factor IXa and/or factor X to factor Xa. Alternative splicing of this gene results in 2 transcripts. Defects in this gene can cause coagulopathy.

    Cellular Localization: Secreted

    分子量

    52 kDa

    基因ID

    2155

    UniProt

    P08709

    途径

    Response to Growth Hormone Stimulus, Platelet-derived growth Factor Receptor Signaling
You are here: