电话:
+86 (0512) 65829739
传真:
+86 (010) 6788 5057
电子邮件:
orders@antibodies-online.cn

RRM1 抗体 (Center)

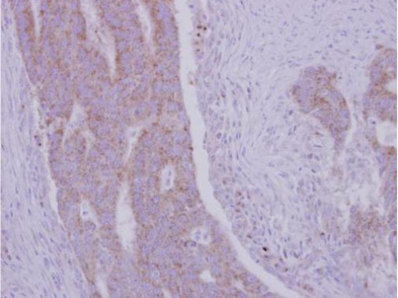
The 兔 多克隆 anti-RRM1 antibody is suitable to detect RRM1 in samples from 人. It has been validated for WB, IF, ICC 和 IHC (p).
产品编号 ABIN2854856
发货至: 中国
Contact our Customer Service for availability and price in your country. Contact Info

Our Local Distributor

中国
北京 101111
No. 88 KeChuang 6th Street
Beijing Economic Technological Development Area
Room 801-803
4A Biotech Co.,Ltd.
Tel +86 (0512) 65829739 传真 +86 (010) 6788 5057

Quick Overview for RRM1 抗体 (Center) (ABIN2854856)

抗原

See all RRM1 抗体
RRM1 (Ribonucleotide Reductase M1 (RRM1))

适用

  • 97
  • 43
  • 31
  • 9
  • 8
  • 5
  • 4
  • 4
  • 4
  • 3
  • 2
  • 2
  • 2
  • 1
  • 1
  • 1
  • 1

宿主

  • 93
  • 8

克隆类型

  • 70
  • 31
多克隆

标记

  • 47
  • 7
  • 4
  • 4
  • 4
  • 4
  • 4
  • 4
  • 4
  • 4
  • 1
  • 1
  • 1
  • 1
  • 1
  • 1
  • 1
  • 1
  • 1
  • 1
  • 1
  • 1
  • 1
  • 1
  • 1
This RRM1 antibody is un-conjugated

应用范围

  • 59
  • 28
  • 24
  • 21
  • 14
  • 13
  • 13
  • 8
  • 7
  • 6
  • 4
  • 1
Western Blotting (WB), Immunofluorescence (IF), Immunocytochemistry (ICC), Immunohistochemistry (Paraffin-embedded Sections) (IHC (p))
  • 抗原表位

    • 15
    • 11
    • 7
    • 5
    • 2
    • 2
    • 2
    • 2
    • 2
    • 2
    • 2
    • 1
    • 1
    • 1
    • 1
    • 1
    • 1
    • 1
    Center

    交叉反应

    人, 小鼠

    产品特性

    Rabbit Polyclonal antibody to RRM1 (ribonucleotide reductase M1)
    RRM1 antibody

    纯化方法

    Purified by antigen-affinity chromatography.

    免疫原

    Recombinant protein encompassing a sequence within the center region of human RRM1. The exact sequence is proprietary.

    亚型

    IgG
  • 应用备注

    WB: 1:500-1:3000. ICC/IF: 1:100-1:1000. IHC-P: 1:100-1:1000. Optimal dilutions/concentrations should be determined by the researcher. Not tested in other applications.

    说明

    Positive Control: NIH-3T3 , Raw264.7 , C2C12

    限制

    仅限研究用
  • 状态

    Liquid

    浓度

    0.49 mg/mL

    缓冲液

    1XPBS ( pH 7), 20 % Glycerol, 0.025 % ProClin 300

    储存液

    ProClin

    注意事项

    This product contains ProClin: a POISONOUS AND HAZARDOUS SUBSTANCE which should be handled by trained staff only.

    储存条件

    4 °C,-20 °C

    储存方法

    Store as concentrated solution. Centrifuge briefly prior to opening vial. For short-term storage (1-2 weeks), store at 4°C. For long-term storage, aliquot and store at -20°C or below. Avoid multiple freeze-thaw cycles.
  • 抗原

    RRM1 (Ribonucleotide Reductase M1 (RRM1))

    别名

    ribonucleotide reductase M1

    背景

    This gene encodes one of two non-identical subunits that constitute ribonucleoside-diphosphate reductase, an enzyme essential for the production of deoxyribonucleotides prior to DNA synthesis in S phase of dividing cells. It is one of several genes located in the imprinted gene domain of 11p15.5, an important tumor-suppressor gene region. Alterations in this region have been associated with the Beckwith-Wiedemann syndrome, Wilms tumor, rhabdomyosarcoma, adrenocrotical carcinoma, and lung, ovarian, and breast cancer. This gene may play a role in malignancies and disease that involve this region.

    Cellular Localization: Cytoplasm

    分子量

    90 kDa

    基因ID

    6240

    UniProt

    P23921

    途径

    Positive Regulation of Endopeptidase Activity
You are here: