电话:
+86 (0512) 65829739
传真:
+86 (010) 6788 5057
电子邮件:
orders@antibodies-online.cn

CCKBR 抗体 (C-Term)

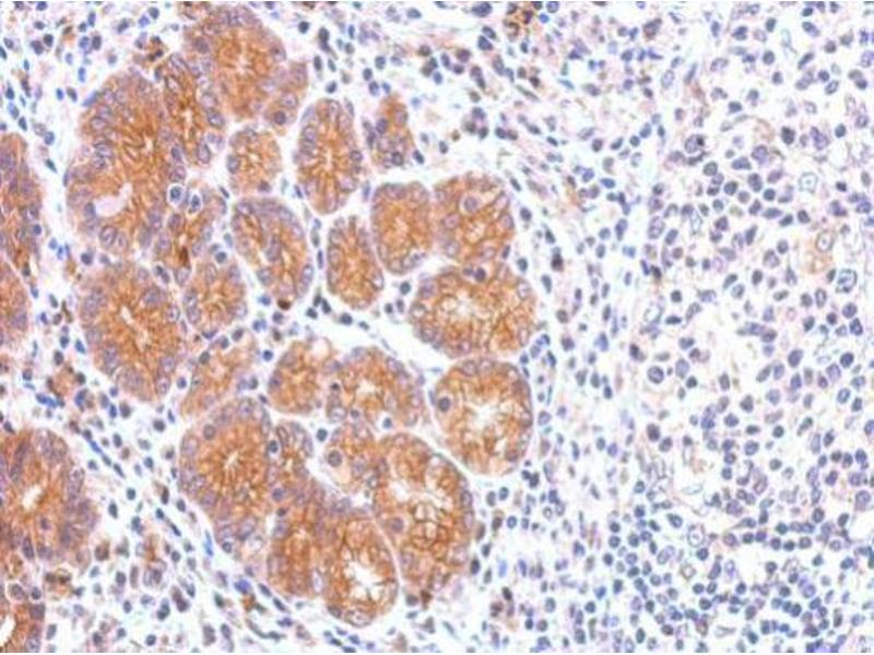
The 兔 多克隆 anti-CCKBR antibody (ABIN2854722) specifically detects CCKBR in WB 和 IHC (p). The antibody is reactive with 人 samples.
产品编号 ABIN2854722
发货至: 中国
Contact our Customer Service for availability and price in your country. Contact Info

Our Local Distributor

中国
北京 101111
No. 88 KeChuang 6th Street
Beijing Economic Technological Development Area
Room 801-803
4A Biotech Co.,Ltd.
Tel +86 (0512) 65829739 传真 +86 (010) 6788 5057

Quick Overview for CCKBR 抗体 (C-Term) (ABIN2854722)

抗原

See all CCKBR 抗体
CCKBR (Cholecystokinin B Receptor (CCKBR))

适用

  • 27
  • 23
  • 21
  • 3
  • 2
  • 1

宿主

  • 42
  • 1

克隆类型

  • 43
多克隆

标记

  • 19
  • 3
  • 2
  • 2
  • 1
  • 1
  • 1
  • 1
  • 1
  • 1
  • 1
  • 1
  • 1
  • 1
  • 1
  • 1
  • 1
  • 1
  • 1
  • 1
  • 1
This CCKBR antibody is un-conjugated

应用范围

  • 28
  • 13
  • 13
  • 13
  • 7
  • 7
  • 3
  • 2
  • 2
  • 2
  • 1
  • 1
Western Blotting (WB), Immunohistochemistry (Paraffin-embedded Sections) (IHC (p))
  • 抗原表位

    • 15
    • 5
    • 5
    • 1
    • 1
    • 1
    • 1
    • 1
    • 1
    • 1
    • 1
    • 1
    • 1
    • 1
    • 1
    C-Term

    交叉反应

    产品特性

    Rabbit Polyclonal antibody to CCKBR (cholecystokinin B receptor)
    CCKBR antibody [C1C2], Internal

    纯化方法

    Purified by antigen-affinity chromatography.

    免疫原

    Carrier-protein conjugated synthetic peptide encompassing a sequence within the C-terminus region of human CCKBR. The exact sequence is proprietary.

    亚型

    IgG
  • 应用备注

    WB: 1:500-1:3000. IHC-P: 1:100-1:1000. Optimal dilutions/concentrations should be determined by the researcher. Not tested in other applications.

    说明

    Positive Control: Unboiled HeLa cell extract

    限制

    仅限研究用
  • 状态

    Liquid

    浓度

    1 mg/mL

    缓冲液

    1XPBS ( pH 7), 20 % Glycerol, 0.01 % Thimerosal

    储存液

    Thimerosal (Merthiolate)

    注意事项

    This product contains Thimerosal (Merthiolate): a POISONOUS AND HAZARDOUS SUBSTANCE which should be handled by trained staff only.

    储存条件

    4 °C,-20 °C

    储存方法

    Store as concentrated solution. Centrifuge briefly prior to opening vial. For short-term storage (1-2 weeks), store at 4°C. For long-term storage, aliquot and store at -20°C or below. Avoid multiple freeze-thaw cycles.
  • 抗原

    CCKBR (Cholecystokinin B Receptor (CCKBR))

    别名

    cholecystokinin B receptor

    背景

    This gene encodes a G-protein coupled receptor for gastrin and cholecystokinin (CCK), regulatory peptides of the brain and gastrointestinal tract. This protein is a type B gastrin receptor, which has a high affinity for both sulfated and nonsulfated CCK analogs and is found principally in the central nervous system and the gastrointestinal tract. A misspliced transcript variant including an intron has been observed in cells from colorectal and pancreatic tumors.

    Cellular Localization: Cell membrane, Multi-pass membrane protein

    分子量

    48 kDa

    基因ID

    887

    UniProt

    P32239

    途径

    Positive Regulation of Peptide Hormone Secretion, Feeding Behaviour
You are here: