电话:
+86 (0512) 65829739
传真:
+86 (010) 6788 5057
电子邮件:
orders@antibodies-online.cn

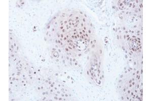
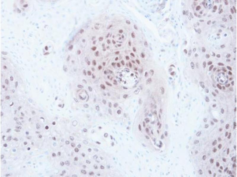
GPS1 抗体 (C-Term)

The 兔 多克隆 anti-GPS1 antibody is suitable to detect GPS1 in samples from 人. It has been validated for WB, IF, ICC 和 IHC (p).
产品编号 ABIN2854694
发货至: 中国
Contact our Customer Service for availability and price in your country. Contact Info

Our Local Distributor

中国
北京 101111
No. 88 KeChuang 6th Street
Beijing Economic Technological Development Area
Room 801-803
4A Biotech Co.,Ltd.
Tel +86 (0512) 65829739 传真 +86 (010) 6788 5057

Quick Overview for GPS1 抗体 (C-Term) (ABIN2854694)

抗原

See all GPS1 抗体
GPS1 (G Protein Pathway Suppressor 1 (GPS1))

适用

  • 43
  • 41
  • 28
  • 8
  • 4
  • 3
  • 3
  • 3
  • 3
  • 2
  • 2
  • 1
  • 1
  • 1

宿主

  • 49
  • 4
  • 1

克隆类型

  • 51
  • 3
多克隆

标记

  • 34
  • 2
  • 2
  • 2
  • 2
  • 1
  • 1
  • 1
  • 1
  • 1
  • 1
  • 1
  • 1
  • 1
  • 1
  • 1
  • 1
This GPS1 antibody is un-conjugated

应用范围

  • 46
  • 20
  • 18
  • 13
  • 9
  • 6
  • 5
  • 4
  • 1
  • 1
Western Blotting (WB), Immunofluorescence (IF), Immunocytochemistry (ICC), Immunohistochemistry (Paraffin-embedded Sections) (IHC (p))
  • 抗原表位

    • 16
    • 8
    • 4
    • 3
    • 2
    • 2
    • 2
    • 2
    • 1
    • 1
    • 1
    • 1
    • 1
    • 1
    • 1
    • 1
    • 1
    • 1
    • 1
    • 1
    • 1
    • 1
    C-Term

    交叉反应

    人, 小鼠, 大鼠

    产品特性

    Rabbit Polyclonal antibody to CSN1 (G protein pathway suppressor 1)
    CSN1 antibody [C3], C-term

    纯化方法

    Purified by antigen-affinity chromatography.

    免疫原

    Carrier-protein conjugated synthetic peptide encompassing a sequence within the C-terminus region of human CSN1. The exact sequence is proprietary.

    亚型

    IgG
  • 应用备注

    WB: 1:500-1:3000. ICC/IF: 1:100-1:1000. IHC-P: 1:100-1:1000. Optimal dilutions/concentrations should be determined by the researcher. Not tested in other applications.

    说明

    Positive Control: HeLaS3 , Molt-4 , 293T , A431 , HeLa , HepG2

    限制

    仅限研究用
  • 状态

    Liquid

    浓度

    1 mg/mL

    缓冲液

    1XPBS ( pH 7), 20 % Glycerol, 0.01 % Thimerosal

    储存液

    Thimerosal (Merthiolate)

    注意事项

    This product contains Thimerosal (Merthiolate): a POISONOUS AND HAZARDOUS SUBSTANCE which should be handled by trained staff only.

    储存条件

    4 °C,-20 °C

    储存方法

    Store as concentrated solution. Centrifuge briefly prior to opening vial. For short-term storage (1-2 weeks), store at 4°C. For long-term storage, aliquot and store at -20°C or below. Avoid multiple freeze-thaw cycles.
  • 抗原

    GPS1 (G Protein Pathway Suppressor 1 (GPS1))

    别名

    G protein pathway suppressor 1

    背景

    This gene is known to suppress G-protein and mitogen-activated signal transduction in mammalian cells. The encoded protein shares significant similarity with Arabidopsis FUS6, which is a regulator of light-mediated signal transduction in plant cells. Two alternatively spliced transcript variants encoding different isoforms have been found for this gene.

    Cellular Localization: Cytoplasm , Nucleus

    分子量

    56 kDa

    基因ID

    2873

    UniProt

    Q13098

    途径

    Cell Division Cycle
You are here: