电话:
+86 (0512) 65829739
传真:
+86 (010) 6788 5057
电子邮件:
orders@antibodies-online.cn

Golgin A3 抗体 (C-Term)

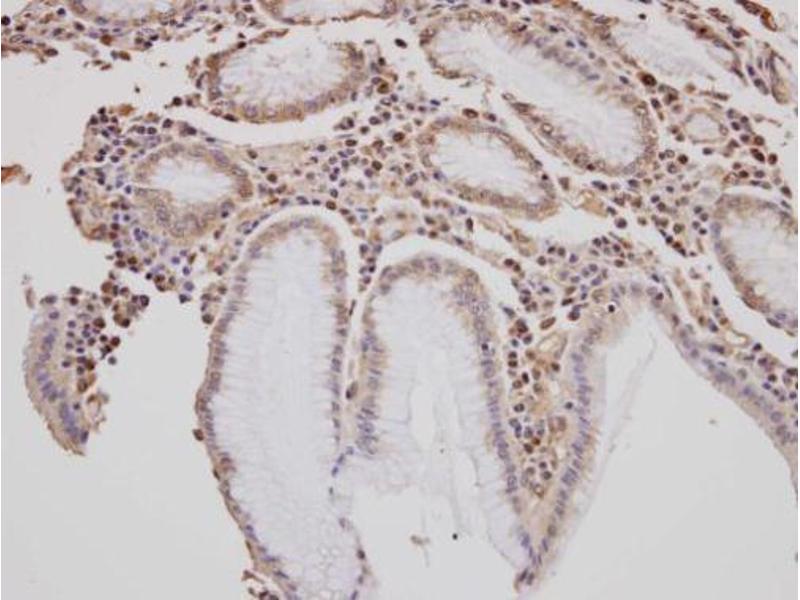
The 兔 多克隆 anti-Golgin A3 antibody is suitable to detect Golgin A3 in samples from 人. It has been validated for WB, IF, ICC 和 IHC (p).
产品编号 ABIN2854691
发货至: 中国
Contact our Customer Service for availability and price in your country. Contact Info

Our Local Distributor

中国
北京 101111
No. 88 KeChuang 6th Street
Beijing Economic Technological Development Area
Room 801-803
4A Biotech Co.,Ltd.
Tel +86 (0512) 65829739 传真 +86 (010) 6788 5057

Quick Overview for Golgin A3 抗体 (C-Term) (ABIN2854691)

抗原

See all Golgin A3 (GOLGA3) 抗体
Golgin A3 (GOLGA3)

适用

  • 33
  • 3
  • 3
  • 3

宿主

  • 32
  • 1

克隆类型

  • 33
多克隆

标记

  • 13
  • 4
  • 3
  • 2
  • 1
  • 1
  • 1
  • 1
  • 1
  • 1
  • 1
  • 1
  • 1
  • 1
  • 1
This Golgin A3 antibody is un-conjugated

应用范围

  • 28
  • 13
  • 13
  • 13
  • 5
  • 5
  • 5
  • 4
  • 4
  • 3
Western Blotting (WB), Immunofluorescence (IF), Immunocytochemistry (ICC), Immunohistochemistry (Paraffin-embedded Sections) (IHC (p))
  • 抗原表位

    • 15
    • 5
    • 2
    • 2
    • 2
    • 1
    • 1
    • 1
    • 1
    • 1
    • 1
    • 1
    C-Term

    交叉反应

    产品特性

    Rabbit Polyclonal antibody to GOLGA3 (golgin A3)
    GOLGA3 antibody [C3], C-term

    纯化方法

    Purified by antigen-affinity chromatography.

    免疫原

    Carrier-protein conjugated synthetic peptide encompassing a sequence within the C-terminus region of human GOLGA3. The exact sequence is proprietary.

    亚型

    IgG
  • 应用备注

    WB: 1:500-1:3000. ICC/IF: 1:100-1:1000. IHC-P: 1:100-1:1000. Optimal dilutions/concentrations should be determined by the researcher. Not tested in other applications.

    限制

    仅限研究用
  • 状态

    Liquid

    浓度

    1 mg/mL

    缓冲液

    0.1M Tris-Glycine ( pH 7), 20 % Glycerol, 0.01 % Thimerosal

    储存液

    Thimerosal (Merthiolate)

    注意事项

    This product contains Thimerosal (Merthiolate): a POISONOUS AND HAZARDOUS SUBSTANCE which should be handled by trained staff only.

    储存条件

    4 °C,-20 °C

    储存方法

    Store as concentrated solution. Centrifuge briefly prior to opening vial. For short-term storage (1-2 weeks), store at 4°C. For long-term storage, aliquot and store at -20°C or below. Avoid multiple freeze-thaw cycles.
  • 抗原

    Golgin A3 (GOLGA3)

    别名

    golgin A3

    背景

    The Golgi apparatus, which participates in glycosylation and transport of proteins and lipids in the secretory pathway, consists of a series of stacked cisternae (flattened membrane sacs). Interactions between the Golgi and microtubules are thought to be important for the reorganization of the Golgi after it fragments during mitosis. This gene encodes a member of the golgin family of proteins which are localized to the Golgi. Its encoded protein has been postulated to play a role in nuclear transport and Golgi apparatus localization. Several alternatively spliced transcript variants of this gene have been described, but the full-length nature of these variants has not been determined.

    Cellular Localization: Cytoplasm , Golgi apparatus , Golgi stack membrane, Peripheral membrane protein

    分子量

    167 kDa

    基因ID

    2802

    UniProt

    Q08378

    途径

    SARS-CoV-2 Protein Interactome
You are here: