电话:
+86 (0512) 65829739
传真:
+86 (010) 6788 5057
电子邮件:
orders@antibodies-online.cn

PPME1 抗体 (N-Term)

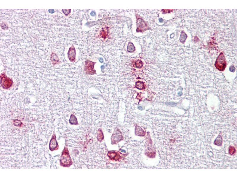
The 兔 多克隆 anti-PPME1 antibody (ABIN2786934) specifically detects PPME1 in WB 和 IHC. The antibody is reactive with 人, 小鼠, 大鼠, Cow, 犬, Pig, 豚鼠, 马 和 兔 samples.
产品编号 ABIN2786934
发货至: 中国
Contact our Customer Service for availability and price in your country. Contact Info

Our Local Distributor

中国
北京 101111
No. 88 KeChuang 6th Street
Beijing Economic Technological Development Area
Room 801-803
4A Biotech Co.,Ltd.
Tel +86 (0512) 65829739 传真 +86 (010) 6788 5057

Quick Overview for PPME1 抗体 (N-Term) (ABIN2786934)

抗原

See all PPME1 抗体
PPME1 (Protein Phosphatase Methylesterase 1 (PPME1))

适用

  • 38
  • 11
  • 9
  • 2
  • 2
  • 2
  • 2
  • 1
  • 1
  • 1
人, 小鼠, 大鼠, Cow, 犬, Pig, 豚鼠, 马, 兔

宿主

  • 33
  • 6

克隆类型

  • 35
  • 4
多克隆

标记

  • 25
  • 4
  • 3
  • 2
  • 2
  • 2
  • 1
This PPME1 antibody is un-conjugated

应用范围

  • 28
  • 15
  • 9
  • 7
  • 6
  • 3
  • 2
  • 2
  • 2
  • 1
Western Blotting (WB), Immunohistochemistry (IHC)
  • 抗原表位

    • 9
    • 8
    • 6
    • 3
    • 2
    • 2
    • 1
    • 1
    • 1
    • 1
    N-Term

    序列

    PGRKRDFSPV PWSQYFESME DVEVENETGK DTFRVYKSGS EGPVLLLLHG

    预测反应

    Cow: 100%, Dog: 100%, Guinea Pig: 81%, Horse: 100%, Human: 100%, Mouse: 100%, Pig: 93%, Rabbit: 100%, Rat: 100%

    产品特性

    This is a rabbit polyclonal antibody against PPME1. It was validated on Western Blot using a cell lysate as a positive control.

    纯化方法

    Affinity Purified

    免疫原

    The immunogen is a synthetic peptide directed towards the N terminal region of human PPME1
  • 应用备注

    Optimal working dilutions should be determined experimentally by the investigator.

    说明

    Antigen size: 386 AA

    限制

    仅限研究用
  • 状态

    Liquid

    浓度

    Lot specific

    缓冲液

    Liquid. Purified antibody supplied in 1x PBS buffer with 0.09 % (w/v) sodium azide and 2 % sucrose.

    储存液

    Sodium azide

    注意事项

    This product contains Sodium azide: a POISONOUS AND HAZARDOUS SUBSTANCE which should be handled by trained staff only.

    注意事项

    Avoid repeated freeze-thaw cycles.

    储存条件

    -20 °C

    储存方法

    For short term use, store at 2-8°C up to 1 week. For long term storage, store at -20°C in small aliquots to prevent freeze-thaw cycles.
  • 抗原

    PPME1 (Protein Phosphatase Methylesterase 1 (PPME1))

    别名

    PPME1

    背景

    Protein phosphatase methylesterase-1 catalyzes the demethylation of the protein phosphatase-2A catalytic subunit.Protein phosphatase methylesterase-1 catalyzes the demethylation of the protein phosphatase-2A catalytic subunit (PPP2CA, MIM 176915) (Ogris et al., 1999 [PubMed 10318862]).[supplied by OMIM].
    Alias Symbols: FLJ22226, PME-1
    Protein Interaction Partner: TOM1L1, ZPR1, GMPS, OGT, TSTA3, SURF2, PSMD5, PPP1R7, PNP, LPP, AGFG1, HNRNPF, ALAD, LRSAM1, C14orf142, COASY, P3H1, FKBP10, RPRD1B, ERO1L, DBNL, HSPBP1, TTLL12, GPN1, WDR4, ACTR2, UBC, TJAP1, NUDC, SLC9A3R1, RPA1, Ppp2r1a, TDRD1, PPP2R2D, PPP4C, PPP2CB,
    Protein Size: 386

    分子量

    42 kDa

    基因ID

    51400

    NCBI登录号

    NM_016147, NP_057231

    UniProt

    Q9Y570

    途径

    Methionine Biosynthetic Process
You are here: