电话:
+86 (0512) 65829739
传真:
+86 (010) 6788 5057
电子邮件:
orders@antibodies-online.cn

SDF2 抗体 (N-Term)

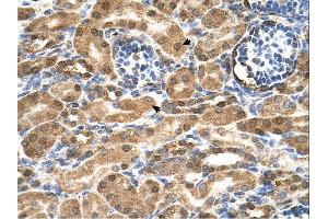
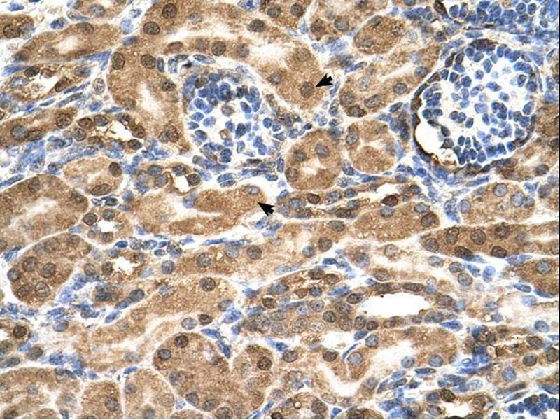
There is 1 publication for this product available. The 兔 多克隆 anti-SDF2 antibody is suitable to detect SDF2 in samples from 人, 小鼠, 大鼠, Cow, 犬, 豚鼠, 马, 兔, 斑马鱼 和 山羊. It has been validated for WB 和 IHC.
产品编号 ABIN2783476
发货至: 中国
Contact our Customer Service for availability and price in your country. Contact Info

Our Local Distributor

中国
北京 101111
No. 88 KeChuang 6th Street
Beijing Economic Technological Development Area
Room 801-803
4A Biotech Co.,Ltd.
Tel +86 (0512) 65829739 传真 +86 (010) 6788 5057

Quick Overview for SDF2 抗体 (N-Term) (ABIN2783476)

抗原

See all SDF2 抗体
SDF2 (Stromal Cell Derived Factor 2 (SDF2))

适用

  • 26
  • 6
  • 5
  • 2
  • 2
  • 2
  • 2
  • 2
  • 2
  • 2
  • 2
  • 2
  • 1
人, 小鼠, 大鼠, Cow, 犬, 豚鼠, 马, 兔, 斑马鱼, 山羊

宿主

  • 24
  • 2

克隆类型

  • 24
  • 2
多克隆

标记

  • 12
  • 4
  • 3
  • 2
  • 2
  • 2
  • 1
This SDF2 antibody is un-conjugated

应用范围

  • 14
  • 14
  • 13
  • 4
  • 4
  • 3
  • 2
  • 2
  • 2
  • 1
Western Blotting (WB), Immunohistochemistry (IHC)
  • 抗原表位

    • 12
    • 6
    • 1
    • 1
    • 1
    • 1
    • 1
    • 1
    • 1
    N-Term

    序列

    KLLNTRHNVR LHSHDVRYGS GSGQQSVTGV TSVDDSNSYW RIRGKSATVC

    预测反应

    Cow: 100%, Dog: 100%, Goat: 93%, Guinea Pig: 100%, Horse: 100%, Human: 100%, Mouse: 100%, Rabbit: 100%, Rat: 100%, Zebrafish: 100%

    产品特性

    This is a rabbit polyclonal antibody against SDF2. It was validated on Western Blot and immunohistochemistry.

    纯化方法

    Protein A purified

    免疫原

    The immunogen is a synthetic peptide directed towards the N terminal region of human SDF2
  • 应用备注

    Optimal working dilutions should be determined experimentally by the investigator.

    说明

    Antigen size: 211 AA

    限制

    仅限研究用
  • 状态

    Liquid

    浓度

    Lot specific

    缓冲液

    Liquid. Purified antibody supplied in 1x PBS buffer with 0.09 % (w/v) sodium azide and 2 % sucrose.

    储存液

    Sodium azide

    注意事项

    This product contains Sodium azide: a POISONOUS AND HAZARDOUS SUBSTANCE which should be handled by trained staff only.

    注意事项

    Avoid repeated freeze-thaw cycles.

    储存条件

    -20 °C

    储存方法

    For short term use, store at 2-8°C up to 1 week. For long term storage, store at -20°C in small aliquots to prevent freeze-thaw cycles.
  • Hamada, Tashiro, Tada, Inazawa, Shirozu, Shibahara, Nakamura, Martina, Nakano, Honjo: "Isolation and characterization of a novel secretory protein, stromal cell-derived factor-2 (SDF-2) using the signal sequence trap method." in: Gene, Vol. 176, Issue 1-2, pp. 211-4, (1997) (PubMed).

  • 抗原

    SDF2 (Stromal Cell Derived Factor 2 (SDF2))

    别名

    SDF2

    背景

    SDF2 is believed to be a secretory protein. It has regions of similarity to hydrophilic segments of yeast mannosyltransferases. Its expression is ubiquitous and the gene appears to be relatively conserved among mammals.The protein encoded by this gene is believed to be a secretory protein. It has regions of similarity to hydrophilic segments of yeast mannosyltransferases. Its expression is ubiquitous and the gene appears to be relatively conserved among mammals.
    Alias Symbols: -
    Protein Interaction Partner: HNRNPD, env, SUMO1, DMWD,
    Protein Size: 211

    分子量

    21 kDa

    基因ID

    6388

    NCBI登录号

    NM_006923, NP_008854

    UniProt

    Q99470

    途径

    SARS-CoV-2 Protein Interactome
You are here: