电话:
+86 (0512) 65829739
传真:
+86 (010) 6788 5057
电子邮件:
orders@antibodies-online.cn

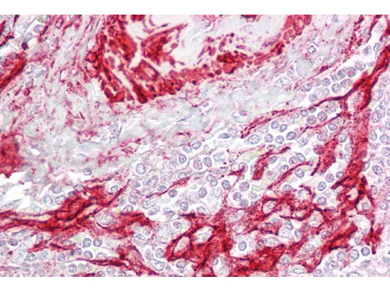
Transgelin 抗体 (C-Term)

The 兔 多克隆 anti-Transgelin antibody (ABIN2783287) specifically detects Transgelin in WB 和 IHC. The antibody is reactive with 人, 小鼠, 大鼠, 兔, Cow, 犬, 马 和 豚鼠 samples.
产品编号 ABIN2783287
发货至: 中国
Contact our Customer Service for availability and price in your country. Contact Info

Our Local Distributor

中国
北京 101111
No. 88 KeChuang 6th Street
Beijing Economic Technological Development Area
Room 801-803
4A Biotech Co.,Ltd.
Tel +86 (0512) 65829739 传真 +86 (010) 6788 5057

Quick Overview for Transgelin 抗体 (C-Term) (ABIN2783287)

抗原

See all Transgelin (TAGLN) 抗体
Transgelin (TAGLN)

适用

  • 90
  • 24
  • 14
  • 13
  • 13
  • 10
  • 1
  • 1
  • 1
  • 1
  • 1
人, 小鼠, 大鼠, 兔, Cow, 犬, 马, 豚鼠

宿主

  • 64
  • 26
  • 3
  • 1

克隆类型

  • 57
  • 37
多克隆

标记

  • 46
  • 6
  • 5
  • 4
  • 2
  • 2
  • 2
  • 2
  • 2
  • 2
  • 1
  • 1
  • 1
  • 1
  • 1
  • 1
  • 1
  • 1
  • 1
  • 1
  • 1
  • 1
  • 1
  • 1
  • 1
  • 1
  • 1
  • 1
  • 1
  • 1
  • 1
This Transgelin antibody is un-conjugated

应用范围

  • 51
  • 40
  • 33
  • 32
  • 19
  • 15
  • 13
  • 13
  • 9
  • 5
  • 3
  • 2
  • 2
  • 1
  • 1
  • 1
  • 1
  • 1
  • 1
Western Blotting (WB), Immunohistochemistry (IHC)
  • 抗原表位

    • 16
    • 8
    • 6
    • 5
    • 3
    • 2
    • 2
    • 1
    • 1
    • 1
    C-Term

    序列

    KNDGHYRGDP NWFMKKAQEH KREFTDSQLQ EGKHVIGLQM GSNRGASQAG

    预测反应

    Cow: 100%, Dog: 100%, Guinea Pig: 100%, Horse: 100%, Human: 100%, Mouse: 86%, Rabbit: 100%, Rat: 93%

    产品特性

    This is a rabbit polyclonal antibody against Tagln. It was validated on Western Blot.

    纯化方法

    Affinity Purified
  • 应用备注

    Optimal working dilutions should be determined experimentally by the investigator.

    说明

    Antigen size: 201 AA

    限制

    仅限研究用
  • 状态

    Liquid

    浓度

    Lot specific

    缓冲液

    Liquid. Purified antibody supplied in 1x PBS buffer with 0.09 % (w/v) sodium azide and 2 % sucrose.

    储存液

    Sodium azide

    注意事项

    This product contains Sodium azide: a POISONOUS AND HAZARDOUS SUBSTANCE which should be handled by trained staff only.

    注意事项

    Avoid repeated freeze-thaw cycles.

    储存条件

    -20 °C

    储存方法

    For short term use, store at 2-8°C up to 1 week. For long term storage, store at -20°C in small aliquots to prevent freeze-thaw cycles.
  • 抗原

    Transgelin (TAGLN)

    别名

    Tagln

    背景

    Tagln acts as an actin cross-linking protein.
    Alias Symbols: Sm22
    Protein Size: 201

    分子量

    22 kDa

    基因ID

    25123

    NCBI登录号

    NM_031549, NP_113737

    UniProt

    P31232
You are here: