电话:
+86 (0512) 65829739
传真:
+86 (010) 6788 5057
电子邮件:
orders@antibodies-online.cn

KIAA0319 抗体 (N-Term)

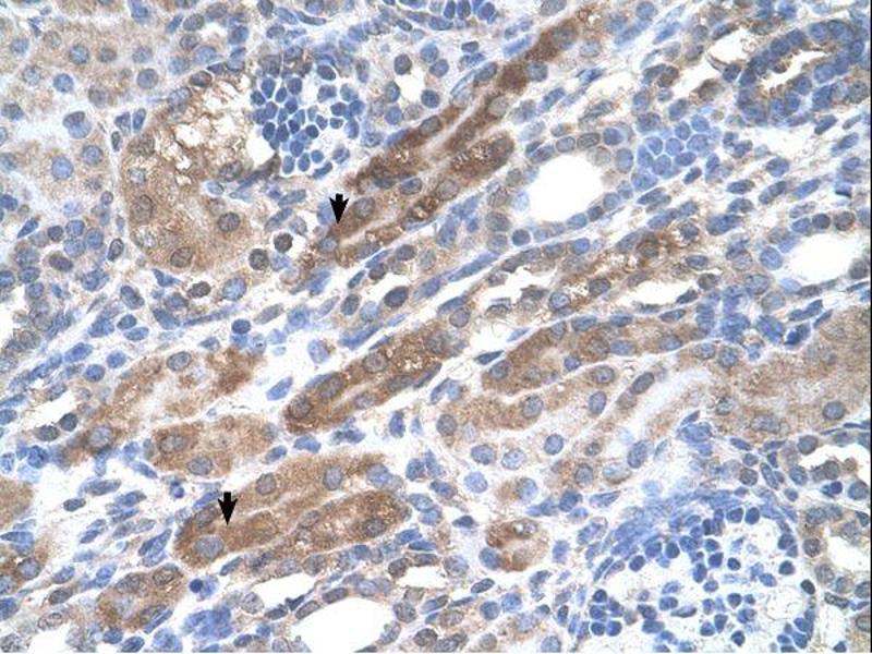
The 兔 多克隆 anti-KIAA0319 antibody (ABIN2782838) specifically detects KIAA0319 in WB 和 IHC. The antibody is reactive with 人, 小鼠, 大鼠, Cow, Pig 和 马 samples.
产品编号 ABIN2782838
发货至: 中国
Contact our Customer Service for availability and price in your country. Contact Info

Our Local Distributor

中国
北京 101111
No. 88 KeChuang 6th Street
Beijing Economic Technological Development Area
Room 801-803
4A Biotech Co.,Ltd.
Tel +86 (0512) 65829739 传真 +86 (010) 6788 5057

Quick Overview for KIAA0319 抗体 (N-Term) (ABIN2782838)

抗原

See all KIAA0319 抗体
KIAA0319

适用

人, 小鼠, 大鼠, Cow, Pig, 马

宿主

  • 31
  • 2

克隆类型

  • 33
多克隆

标记

  • 9
  • 3
  • 3
  • 3
  • 1
  • 1
  • 1
  • 1
  • 1
  • 1
  • 1
  • 1
  • 1
  • 1
  • 1
  • 1
  • 1
  • 1
  • 1
This KIAA0319 antibody is un-conjugated

应用范围

  • 23
  • 13
  • 13
  • 13
  • 5
  • 4
  • 3
  • 2
  • 1
Western Blotting (WB), Immunohistochemistry (IHC)
  • 抗原表位

    • 15
    • 8
    • 2
    • 1
    • 1
    N-Term

    序列

    EEMSEYSDDY RELEKDLLQP SGKQEPRGSA EYTDWGLLPG SEGAFNSSVG

    预测反应

    Cow: 86%, Horse: 86%, Human: 100%, Mouse: 79%, Pig: 93%, Rat: 79%

    产品特性

    This is a rabbit polyclonal antibody against KIAA0319. It was validated on Western Blot and immunohistochemistry.

    纯化方法

    Protein A purified

    免疫原

    The immunogen is a synthetic peptide directed towards the N terminal region of human KIAA0319
  • 应用备注

    Optimal working dilutions should be determined experimentally by the investigator.

    说明

    Antigen size: 511 AA

    限制

    仅限研究用
  • 状态

    Liquid

    浓度

    Lot specific

    缓冲液

    Liquid. Purified antibody supplied in 1x PBS buffer with 0.09 % (w/v) sodium azide and 2 % sucrose.

    储存液

    Sodium azide

    注意事项

    This product contains Sodium azide: a POISONOUS AND HAZARDOUS SUBSTANCE which should be handled by trained staff only.

    注意事项

    Avoid repeated freeze-thaw cycles.

    储存条件

    -20 °C

    储存方法

    For short term use, store at 2-8°C up to 1 week. For long term storage, store at -20°C in small aliquots to prevent freeze-thaw cycles.
  • 抗原

    KIAA0319

    别名

    KIAA0319

    背景

    KIAA0319 has been strongly associated with developmental dyslexia.
    Alias Symbols: DLX2, DYLX2, DYX2, MGC176717
    Protein Interaction Partner: SH2B1, FEM1B,
    Protein Size: 511

    分子量

    56 kDa

    基因ID

    9856

    NCBI登录号

    NM_001168374

    UniProt

    Q5VV43
You are here: