电话:
+86 (0512) 65829739
传真:
+86 (010) 6788 5057
电子邮件:
orders@antibodies-online.cn

PATZ1 抗体 (Middle Region)

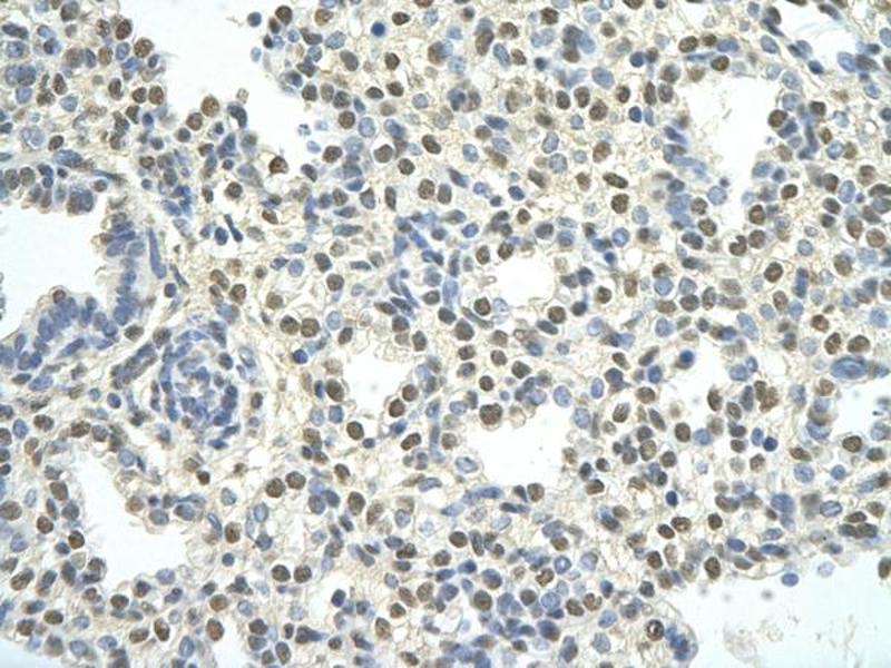
The 兔 多克隆 anti-PATZ1 antibody (ABIN2780923) specifically detects PATZ1 in WB 和 IHC. The antibody is reactive with 人, 小鼠, 大鼠, Cow, 犬, 兔, 豚鼠, 马 和 斑马鱼 samples.
产品编号 ABIN2780923
发货至: 中国
Contact our Customer Service for availability and price in your country. Contact Info

Our Local Distributor

中国
北京 101111
No. 88 KeChuang 6th Street
Beijing Economic Technological Development Area
Room 801-803
4A Biotech Co.,Ltd.
Tel +86 (0512) 65829739 传真 +86 (010) 6788 5057

Quick Overview for PATZ1 抗体 (Middle Region) (ABIN2780923)

抗原

See all PATZ1 (ZNF278) 抗体
PATZ1 (ZNF278) (Zinc Finger Protein 278 (ZNF278))

适用

  • 23
  • 15
  • 7
  • 5
  • 5
  • 5
  • 4
  • 4
  • 3
  • 3
  • 2
  • 1
  • 1
人, 小鼠, 大鼠, Cow, 犬, 兔, 豚鼠, 马, 斑马鱼

宿主

  • 19
  • 4

克隆类型

  • 21
  • 2
多克隆

标记

  • 16
  • 1
  • 1
  • 1
  • 1
  • 1
  • 1
  • 1
This PATZ1 antibody is un-conjugated

应用范围

  • 16
  • 6
  • 4
  • 2
  • 2
  • 1
  • 1
  • 1
  • 1
Western Blotting (WB), Immunohistochemistry (IHC)
  • 抗原表位

    • 4
    • 2
    • 1
    • 1
    • 1
    • 1
    • 1
    • 1
    • 1
    Middle Region

    序列

    SFFRSKSYLN KHIQKVHVRA LGGPLGDLGP ALGSPFSPQQ NMSLLESFGF

    预测反应

    Cow: 100%, Dog: 100%, Guinea Pig: 93%, Horse: 100%, Human: 100%, Mouse: 100%, Rabbit: 100%, Rat: 100%, Zebrafish: 92%

    产品特性

    This is a rabbit polyclonal antibody against PATZ1. It was validated on Western Blot using a cell lysate as a positive control.

    纯化方法

    Affinity Purified

    免疫原

    The immunogen is a synthetic peptide directed towards the middle region of human PATZ1
  • 应用备注

    Optimal working dilutions should be determined experimentally by the investigator.

    说明

    Antigen size: 687 AA

    限制

    仅限研究用
  • 状态

    Liquid

    浓度

    Lot specific

    缓冲液

    Liquid. Purified antibody supplied in 1x PBS buffer with 0.09 % (w/v) sodium azide and 2 % sucrose.

    储存液

    Sodium azide

    注意事项

    This product contains Sodium azide: a POISONOUS AND HAZARDOUS SUBSTANCE which should be handled by trained staff only.

    注意事项

    Avoid repeated freeze-thaw cycles.

    储存条件

    -20 °C

    储存方法

    For short term use, store at 2-8°C up to 1 week. For long term storage, store at -20°C in small aliquots to prevent freeze-thaw cycles.
  • 抗原

    PATZ1 (ZNF278) (Zinc Finger Protein 278 (ZNF278))

    别名

    PATZ1

    背景

    PATZ1 contains an A-T hook DNA binding motif which usually binds to other DNA binding structures to play an important role in chromatin modeling and transcription regulation. Its Poz domain is thought to function as a site for protein-protein interaction and is required for transcriptional repression, and the zinc-fingers comprise the DNA binding domain. Since the encoded protein has typical features of a transcription factor, it is postulated to be a repressor of gene expression. In small round cell sarcoma, this gene is fused to EWS by a small inversion of 22q, then the hybrid is thought to be translocated (t(1,22)(p36.1,q12).The protein encoded by this gene contains an A-T hook DNA binding motif which usually binds to other DNA binding structures to play an important role in chromatin modeling and transcription regulation. Its Poz domain is thought to function as a site for protein-protein interaction and is required for transcriptional repression, and the zinc-fingers comprise the DNA binding domain. Since the encoded protein has typical features of a transcription factor, it is postulated to be a repressor of gene expression. In small round cell sarcoma, this gene is fused to EWS by a small inversion of 22q, then the hybrid is thought to be translocated (t(1,22)(p36.1,q12). The rearrangement of chromosome 22 involves intron 8 of EWS and exon 1 of this gene creating a chimeric sequence containing the transactivation domain of EWS fused to zinc finger domain of this protein. This is a distinct example of an intra-chromosomal rearrangement of chromosome 22. Four alternatively spliced transcript variants are described for this gene.
    Alias Symbols: MAZR, PATZ, RIAZ, ZBTB19, ZNF278, ZSG, dJ400N23
    Protein Interaction Partner: TP53, SOX2, PRKAR1A, BCL6, BACH2, RNF4, BACH1, MITF, AR,
    Protein Size: 687

    分子量

    74 kDa

    基因ID

    23598

    NCBI登录号

    NM_014323, NP_055138

    UniProt

    Q9HBE1
You are here: