电话:
+86 (0512) 65829739
传真:
+86 (010) 6788 5057
电子邮件:
orders@antibodies-online.cn

AIRE 抗体 (N-Term)

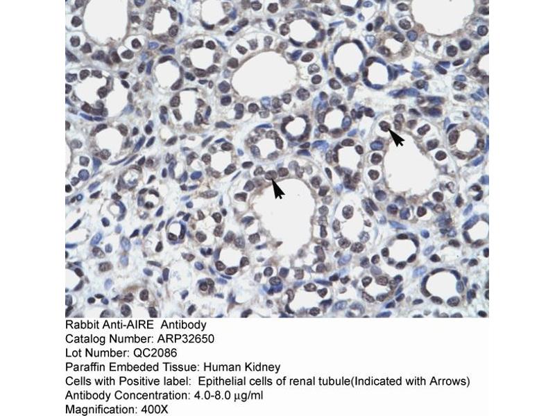
The 兔 多克隆 anti-AIRE antibody (ABIN2779777) specifically detects AIRE in WB 和 IHC. The antibody is reactive with 人, 小鼠, 大鼠, 犬, 马, Cow 和 豚鼠 samples.
产品编号 ABIN2779777
发货至: 中国
Contact our Customer Service for availability and price in your country. Contact Info

Our Local Distributor

中国
北京 101111
No. 88 KeChuang 6th Street
Beijing Economic Technological Development Area
Room 801-803
4A Biotech Co.,Ltd.
Tel +86 (0512) 65829739 传真 +86 (010) 6788 5057

Quick Overview for AIRE 抗体 (N-Term) (ABIN2779777)

抗原

See all AIRE 抗体
AIRE (Autoimmune Regulator (AIRE))

适用

  • 51
  • 22
  • 5
  • 4
  • 3
  • 2
  • 2
  • 2
  • 2
人, 小鼠, 大鼠, 犬, 马, Cow, 豚鼠

宿主

  • 47
  • 6
  • 1

克隆类型

  • 53
多克隆

标记

  • 38
  • 3
  • 3
  • 2
  • 1
  • 1
  • 1
  • 1
  • 1
  • 1
  • 1
  • 1
This AIRE antibody is un-conjugated

应用范围

  • 38
  • 26
  • 20
  • 8
  • 7
  • 2
  • 2
  • 1
  • 1
  • 1
  • 1
Western Blotting (WB), Immunohistochemistry (IHC)
  • 抗原表位

    • 10
    • 10
    • 5
    • 4
    • 3
    • 2
    • 2
    • 1
    • 1
    • 1
    • 1
    • 1
    • 1
    • 1
    • 1
    • 1
    • 1
    • 1
    • 1
    • 1
    • 1
    • 1
    • 1
    • 1
    N-Term

    序列

    HRTEIAVAVD SAFPLLHALA DHDVVPEDKF QETLHLKEKE GCPQAFHALL

    预测反应

    Cow: 92%, Dog: 100%, Guinea Pig: 100%, Horse: 100%, Human: 100%, Mouse: 100%, Rat: 100%

    产品特性

    This is a rabbit polyclonal antibody against AIRE. It was validated on Western Blot and immunohistochemistry.

    纯化方法

    Affinity Purified

    免疫原

    The immunogen is a synthetic peptide directed towards the N terminal region of human AIRE
  • 应用备注

    Optimal working dilutions should be determined experimentally by the investigator.

    说明

    Antigen size: 545 AA

    限制

    仅限研究用
  • 状态

    Liquid

    浓度

    Lot specific

    缓冲液

    Liquid. Purified antibody supplied in 1x PBS buffer with 0.09 % (w/v) sodium azide and 2 % sucrose.

    储存液

    Sodium azide

    注意事项

    This product contains Sodium azide: a POISONOUS AND HAZARDOUS SUBSTANCE which should be handled by trained staff only.

    注意事项

    Avoid repeated freeze-thaw cycles.

    储存条件

    -20 °C

    储存方法

    For short term use, store at 2-8°C up to 1 week. For long term storage, store at -20°C in small aliquots to prevent freeze-thaw cycles.
  • 抗原

    AIRE (Autoimmune Regulator (AIRE))

    别名

    AIRE

    背景

    The function of the protein encoded by the AIRE gene is not well defined. However it contains zinc finger motifs suggestive of a transcription factor. The protein (isoform 1) is localized to both the nucleus and cytoplasm. Defects in this gene cause the autosomal-recessive systemic autoimmune disease termed autoimmune polyendocrinopathy-candidiasis-ectodermal dystrophy (APECED).This gene encodes a transcriptional regulator that forms nuclear bodies and interacts with the transcriptional coactivator CBP. At least three splice variant mRNAs products have been described including one which results in a premature stop codon and a transcript predicted to be a candidate for nuclear-mediated decay (NMD). Defects in this gene cause the rare autosomal-recessive systemic autoimmune disease termed autoimmune polyendocrinopathy-candidiasis-ectodermal dystrophy (APECED).
    Alias Symbols: AIRE1, APECED, APS1, APSI, PGA1
    Protein Interaction Partner: TUBB, RAVER1, TUBA1C, TMPRSS13, CCDC87, FAT1, GIGYF2, SRRM2, TUBB4B, EIF4EBP3, UBB, HSP90AB1, HSPA8, HSPA5, HSPA1L, HSPA1A, ATP4A, HIST3H3, HDAC2, HDAC1, DAXX, AIRE, UBAC1, HIST1H3A, HIST2H2BE, HSPA4, SRSF1, SMC1A, XPO1, TOP2A, SSRP1, SNRPD3, SNRPB, SRSF3
    Protein Size: 545

    分子量

    58 kDa

    基因ID

    326

    NCBI登录号

    NM_000383, NP_000374

    UniProt

    O43918

    途径

    Chromatin Binding
You are here: