电话:
+86 (0512) 65829739
传真:
+86 (010) 6788 5057
电子邮件:
orders@antibodies-online.cn

SRBD1 抗体 (N-Term)

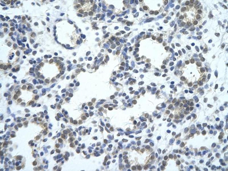
The 兔 多克隆 anti-SRBD1 antibody (ABIN2779129) specifically detects SRBD1 in WB 和 IHC. The antibody is reactive with 人, 小鼠, 马, 兔, 大鼠, 犬, Cow, Pig, Saccharomyces cerevisiae 和 斑马鱼 samples.
产品编号 ABIN2779129
发货至: 中国
Contact our Customer Service for availability and price in your country. Contact Info

Our Local Distributor

中国
北京 101111
No. 88 KeChuang 6th Street
Beijing Economic Technological Development Area
Room 801-803
4A Biotech Co.,Ltd.
Tel +86 (0512) 65829739 传真 +86 (010) 6788 5057

Quick Overview for SRBD1 抗体 (N-Term) (ABIN2779129)

抗原

SRBD1 (S1 RNA Binding Domain 1 (SRBD1))

适用

  • 19
  • 4
  • 3
  • 3
  • 3
  • 2
  • 2
  • 1
  • 1
  • 1
  • 1
人, 小鼠, 马, 兔, 大鼠, 犬, Cow, Pig, Saccharomyces cerevisiae, 斑马鱼

宿主

  • 17
  • 2

克隆类型

  • 19
多克隆

标记

  • 14
  • 1
  • 1
  • 1
  • 1
  • 1
This SRBD1 antibody is un-conjugated

应用范围

  • 19
  • 9
  • 8
  • 3
  • 2
  • 1
  • 1
  • 1
Western Blotting (WB), Immunohistochemistry (IHC)
  • 抗原表位

    • 10
    • 4
    • 2
    • 2
    • 1
    • 1
    • 1
    N-Term

    序列

    MSSLPRRAKV QVQDVVLKDE FSSFSELSSA SEEDDKEDSA WEPQKKVPRS

    预测反应

    Cow: 93%, Dog: 100%, Horse: 100%, Human: 100%, Mouse: 86%, Pig: 93%, Rabbit: 100%, Rat: 100%, Yeast: 79%, Zebrafish: 80%

    产品特性

    This is a rabbit polyclonal antibody against SRBD1. It was validated on Western Blot using a cell lysate as a positive control.

    纯化方法

    Affinity Purified

    免疫原

    The immunogen is a synthetic peptide directed towards the N terminal region of human SRBD1
  • 应用备注

    Optimal working dilutions should be determined experimentally by the investigator.

    说明

    Antigen size: 995 AA

    限制

    仅限研究用
  • 状态

    Liquid

    浓度

    Lot specific

    缓冲液

    Liquid. Purified antibody supplied in 1x PBS buffer with 0.09 % (w/v) sodium azide and 2 % sucrose.

    储存液

    Sodium azide

    注意事项

    This product contains Sodium azide: a POISONOUS AND HAZARDOUS SUBSTANCE which should be handled by trained staff only.

    注意事项

    Avoid repeated freeze-thaw cycles.

    储存条件

    -20 °C

    储存方法

    For short term use, store at 2-8°C up to 1 week. For long term storage, store at -20°C in small aliquots to prevent freeze-thaw cycles.
  • 抗原

    SRBD1 (S1 RNA Binding Domain 1 (SRBD1))

    别名

    SRBD1

    背景

    SRBD1 contains 1 S1 motif domain. The exact function of SRBD1 remains unknown.
    Alias Symbols: FLJ10379
    Protein Interaction Partner: UBC, RPA3, RPA2, RPA1, rev, HECW2, TARDBP, CBX7, TAOK1, ELAVL1, SUMO2, USP45, SART3,
    Protein Size: 995

    分子量

    112 kDa

    基因ID

    55133

    NCBI登录号

    NM_018079, NP_060549

    UniProt

    Q8N5C6
You are here: