电话:
+86 (0512) 65829739
传真:
+86 (010) 6788 5057
电子邮件:
orders@antibodies-online.cn

CELF2 抗体 (N-Term)

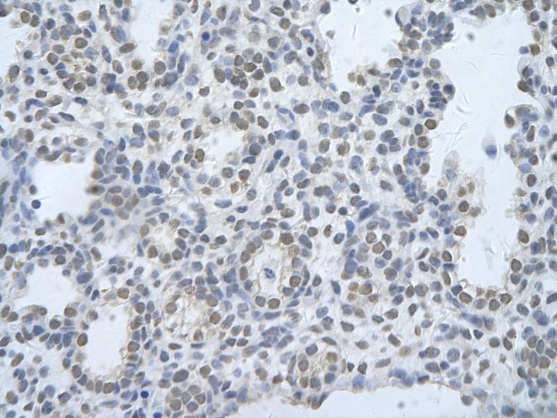
The 兔 多克隆 anti-CELF2 antibody (ABIN2778745) specifically detects CELF2 in WB 和 IHC. The antibody is reactive with 人, 小鼠, 大鼠, 斑马鱼, Cow, 犬, 豚鼠, 马 和 兔 samples.
产品编号 ABIN2778745
发货至: 中国
Contact our Customer Service for availability and price in your country. Contact Info

Our Local Distributor

中国
北京 101111
No. 88 KeChuang 6th Street
Beijing Economic Technological Development Area
Room 801-803
4A Biotech Co.,Ltd.
Tel +86 (0512) 65829739 传真 +86 (010) 6788 5057

Quick Overview for CELF2 抗体 (N-Term) (ABIN2778745)

抗原

See all CELF2 抗体
CELF2 (CUGBP, Elav-Like Family Member 2 (CELF2))

适用

  • 47
  • 18
  • 16
  • 5
  • 4
  • 2
  • 2
  • 2
  • 2
  • 2
  • 2
  • 2
  • 2
人, 小鼠, 大鼠, 斑马鱼, Cow, 犬, 豚鼠, 马, 兔

宿主

  • 45
  • 2

克隆类型

  • 35
  • 12
多克隆

标记

  • 23
  • 3
  • 3
  • 2
  • 2
  • 2
  • 2
  • 2
  • 2
  • 2
  • 1
  • 1
  • 1
  • 1
This CELF2 antibody is un-conjugated

应用范围

  • 34
  • 16
  • 14
  • 11
  • 11
  • 4
  • 4
  • 2
  • 1
Western Blotting (WB), Immunohistochemistry (IHC)
  • 抗原表位

    • 8
    • 5
    • 5
    • 2
    • 1
    • 1
    • 1
    • 1
    • 1
    • 1
    N-Term

    序列

    VYQINVLRDR SQNPPQSKGC CFVTFYTRKA ALEAQNALHN IKTLPGMHHP

    预测反应

    Cow: 100%, Dog: 100%, Guinea Pig: 100%, Horse: 100%, Human: 100%, Mouse: 100%, Rabbit: 100%, Rat: 100%, Zebrafish: 100%

    产品特性

    This is a rabbit polyclonal antibody against CUGBP2. It was validated on Western Blot and immunohistochemistry.

    纯化方法

    Protein A purified

    免疫原

    The immunogen is a synthetic peptide directed towards the N terminal region of human CUGBP2
  • 应用备注

    Optimal working dilutions should be determined experimentally by the investigator.

    说明

    Antigen size: 509 AA

    限制

    仅限研究用
  • 状态

    Liquid

    浓度

    Lot specific

    缓冲液

    Liquid. Purified antibody supplied in 1x PBS buffer with 0.09 % (w/v) sodium azide and 2 % sucrose.

    储存液

    Sodium azide

    注意事项

    This product contains Sodium azide: a POISONOUS AND HAZARDOUS SUBSTANCE which should be handled by trained staff only.

    注意事项

    Avoid repeated freeze-thaw cycles.

    储存条件

    -20 °C

    储存方法

    For short term use, store at 2-8°C up to 1 week. For long term storage, store at -20°C in small aliquots to prevent freeze-thaw cycles.
  • 抗原

    CELF2 (CUGBP, Elav-Like Family Member 2 (CELF2))

    别名

    CUGBP2

    背景

    Members of the CELF/BRUNOL protein family contain two N-terminal RNA recognition motif (RRM) domains, one C-terminal RRM domain, and a divergent segment of 160-230 aa between the second and third RRM domains. Members of this protein family regulate pre-mRNA alternative splicing and may also be involved in mRNA editing, and translation.Members of the CELF/BRUNOL protein family contain two N-terminal RNA recognition motif (RRM) domains, one C-terminal RRM domain, and a divergent segment of 160-230 aa between the second and third RRM domains. Members of this protein family regulate pre-mRNA alternative splicing and may also be involved in mRNA editing, and translation. Alternative splicing results in multiple transcript variants encoding different isoforms.
    Alias Symbols: ETR3, ETR-3, NAPOR, CUGBP2, BRUNOL3
    Protein Interaction Partner: PTGS2, ELAVL1, UBC, FN1, APP, PCBP1, A1CF, APOBEC1, Apob,
    Protein Size: 509

    分子量

    56 kDa

    基因ID

    10659

    NCBI登录号

    NM_006561, NP_006552

    UniProt

    Q96RQ6

    途径

    Ribonucleoprotein Complex Subunit Organization
You are here: