电话:
+86 (0512) 65829739
传真:
+86 (010) 6788 5057
电子邮件:
orders@antibodies-online.cn

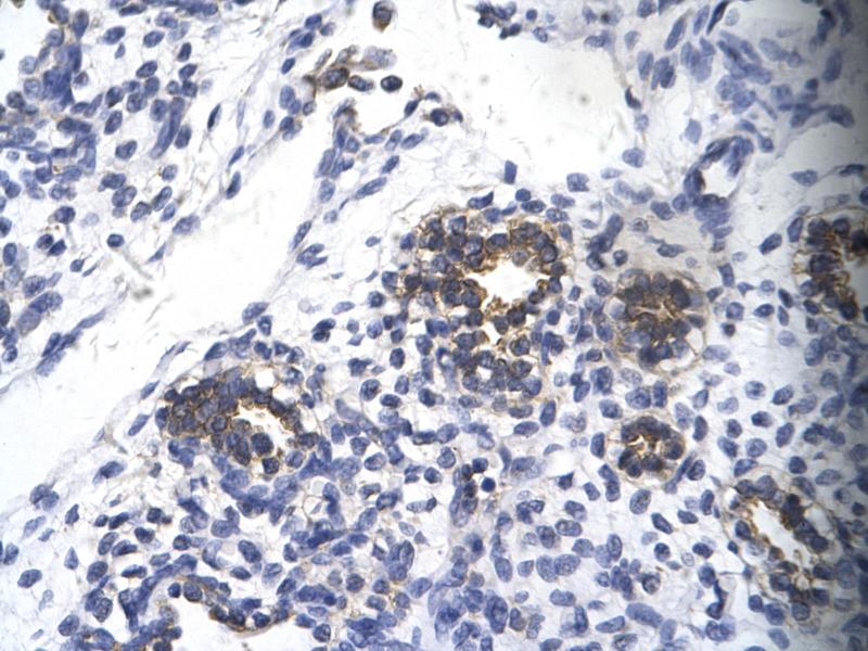
RPS16 抗体 (N-Term)

Cited in 2+ publications. The 兔 多克隆 anti-RPS16 antibody (ABIN2777990) specifically detects RPS16 in WB 和 IHC. The antibody is reactive with 人, 小鼠, 大鼠, 犬, 斑马鱼, Cow, 豚鼠, 马 和 兔 samples.
产品编号 ABIN2777990
发货至: 中国
Contact our Customer Service for availability and price in your country. Contact Info

Our Local Distributor

中国
北京 101111
No. 88 KeChuang 6th Street
Beijing Economic Technological Development Area
Room 801-803
4A Biotech Co.,Ltd.
Tel +86 (0512) 65829739 传真 +86 (010) 6788 5057

Quick Overview for RPS16 抗体 (N-Term) (ABIN2777990)

抗原

See all RPS16 抗体
RPS16 (Ribosomal Protein S16 (RPS16))

适用

  • 40
  • 15
  • 15
  • 4
  • 4
  • 3
  • 3
  • 2
  • 2
  • 2
  • 2
  • 2
  • 2
  • 2
  • 1
人, 小鼠, 大鼠, 犬, 斑马鱼, Cow, 豚鼠, 马, 兔

宿主

  • 39
  • 1

克隆类型

  • 40
多克隆

标记

  • 15
  • 4
  • 4
  • 3
  • 2
  • 2
  • 2
  • 2
  • 2
  • 2
  • 1
  • 1
This RPS16 antibody is un-conjugated

应用范围

  • 23
  • 20
  • 12
  • 5
  • 2
  • 1
  • 1
Western Blotting (WB), Immunohistochemistry (IHC)
  • 抗原表位

    • 6
    • 4
    • 2
    • 2
    • 2
    • 2
    • 1
    • 1
    • 1
    N-Term

    序列

    SKGPLQSVQV FGRKKTATAV AHCKRGNGLI KVNGRPLEMI EPRTLQYKLL

    预测反应

    Cow: 100%, Dog: 100%, Guinea Pig: 100%, Horse: 100%, Human: 100%, Mouse: 100%, Rabbit: 100%, Rat: 100%, Zebrafish: 100%

    产品特性

    This is a rabbit polyclonal antibody against RPS16. It was validated on Western Blot and immunohistochemistry.

    纯化方法

    Protein A purified

    免疫原

    The immunogen is a synthetic peptide directed towards the N terminal region of human RPS16
  • 应用备注

    Optimal working dilutions should be determined experimentally by the investigator.

    说明

    Antigen size: 146 AA

    限制

    仅限研究用
  • 状态

    Liquid

    浓度

    Lot specific

    缓冲液

    Liquid. Purified antibody supplied in 1x PBS buffer with 0.09 % (w/v) sodium azide and 2 % sucrose.

    储存液

    Sodium azide

    注意事项

    This product contains Sodium azide: a POISONOUS AND HAZARDOUS SUBSTANCE which should be handled by trained staff only.

    注意事项

    Avoid repeated freeze-thaw cycles.

    储存条件

    -20 °C

    储存方法

    For short term use, store at 2-8°C up to 1 week. For long term storage, store at -20°C in small aliquots to prevent freeze-thaw cycles.
  • Sugihara, Sadohara, Yonezawa, Kugo, Oshima, Matsuda, Nadano: "Identification and expression of an autosomal paralogue of ribosomal protein S4, X-linked, in mice: potential involvement of testis-specific ribosomal proteins in translation and spermatogenesis." in: Gene, Vol. 521, Issue 1, pp. 91-9, (2013) (PubMed).

    Okada, Kimura, Moriyama, Nakai, Kikuchi, Kaneko, Kunieda, Baba, Noguchi: "Expression analysis of MIF4GD in the rat testis." in: The Journal of reproduction and development, Vol. 57, Issue 2, pp. 256-61, (2011) (PubMed).

  • 抗原

    RPS16 (Ribosomal Protein S16 (RPS16))

    别名

    RPS16

    背景

    Ribosomes, the organelles that catalyze protein synthesis, consist of a small 40S subunit and a large 60S subunit. Together these subunits are composed of 4 RNA species and approximately 80 structurally distinct proteins. RPS16 is a ribosomal protein that is a component of the 40S subunit. The protein belongs to the S9P family of ribosomal proteins. It is located in the cytoplasm. As is typical for genes encoding ribosomal proteins, there are multiple processed pseudogenes of this gene dispersed through the genome.
    Alias Symbols: S16
    Protein Interaction Partner: HUWE1, UBC, TP53, CEP76, TUBGCP4, CEP250, CEP57, AURKB, TUBG1, CDKN1A, AURKA, ASB14, ASB15, ZBTB1, EED, WIBG, EIF2A, TSR1, EIF3L, RPS3, RPS2, RPS6, RPS5, RPS4X, RPS3A, RPSA, FAU, SND1, LARP1, GNB2L1, DYNLT3, RPS29, RPS28, RPS27, RPS26, RPS25, RPS24, RPS23
    Protein Size: 146

    分子量

    16 kDa

    基因ID

    6217

    NCBI登录号

    NM_001020, NP_001011

    UniProt

    P62249
You are here: