电话:
+86 (0512) 65829739
传真:
+86 (010) 6788 5057
电子邮件:
orders@antibodies-online.cn

FBP1 抗体 (N-Term)

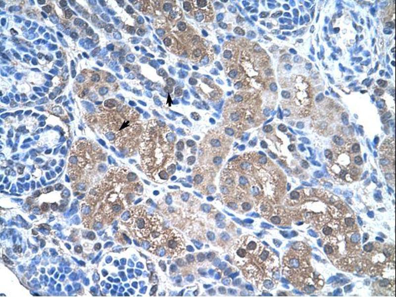
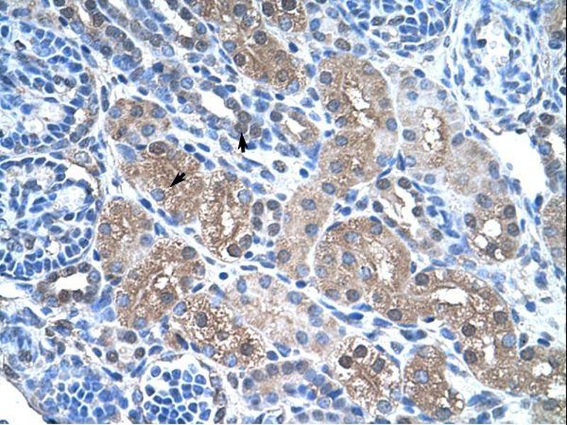
Cited in 1 publication. The 兔 多克隆 anti-FBP1 antibody (ABIN2776794) specifically detects FBP1 in WB 和 IHC. The antibody is reactive with 人, 小鼠, 大鼠, 犬, 斑马鱼, Cow, 豚鼠, 马 和 兔 samples.
产品编号 ABIN2776794
发货至: 中国
Contact our Customer Service for availability and price in your country. Contact Info

Our Local Distributor

中国
北京 101111
No. 88 KeChuang 6th Street
Beijing Economic Technological Development Area
Room 801-803
4A Biotech Co.,Ltd.
Tel +86 (0512) 65829739 传真 +86 (010) 6788 5057

Quick Overview for FBP1 抗体 (N-Term) (ABIN2776794)

抗原

See all FBP1 抗体
FBP1 (Fructose-1,6-Bisphosphatase 1 (FBP1))

适用

人, 小鼠, 大鼠, 犬, 斑马鱼, Cow, 豚鼠, 马, 兔

宿主

  • 88
  • 3
  • 2

克隆类型

  • 60
  • 33
多克隆

标记

  • 39
  • 6
  • 4
  • 4
  • 4
  • 4
  • 4
  • 4
  • 3
  • 3
  • 2
  • 2
  • 1
  • 1
  • 1
  • 1
  • 1
  • 1
  • 1
  • 1
  • 1
  • 1
  • 1
  • 1
  • 1
  • 1
This FBP1 antibody is un-conjugated

应用范围

  • 80
  • 32
  • 21
  • 17
  • 15
  • 13
  • 13
  • 13
  • 8
  • 4
  • 4
  • 3
  • 2
Western Blotting (WB), Immunohistochemistry (IHC)
  • 抗原表位

    • 15
    • 14
    • 4
    • 3
    • 2
    • 2
    • 1
    • 1
    • 1
    • 1
    • 1
    • 1
    • 1
    • 1
    • 1
    N-Term

    序列

    YVVCFDPLDG SSNIDCLVSV GTIFGIYRKK STDEPSEKDA LQPGRNLVAA

    预测反应

    Cow: 86%, Dog: 86%, Guinea Pig: 93%, Horse: 93%, Human: 100%, Mouse: 100%, Rabbit: 93%, Rat: 86%, Zebrafish: 80%

    产品特性

    This is a rabbit polyclonal antibody against FBP1. It was validated on Western Blot and immunohistochemistry.

    纯化方法

    Protein A purified

    免疫原

    The immunogen is a synthetic peptide directed towards the N terminal region of human FBP1
  • 应用备注

    Optimal working dilutions should be determined experimentally by the investigator.

    说明

    Antigen size: 338 AA

    限制

    仅限研究用
  • 状态

    Liquid

    浓度

    Lot specific

    缓冲液

    Liquid. Purified antibody supplied in 1x PBS buffer with 0.09 % (w/v) sodium azide and 2 % sucrose.

    储存液

    Sodium azide

    注意事项

    This product contains Sodium azide: a POISONOUS AND HAZARDOUS SUBSTANCE which should be handled by trained staff only.

    注意事项

    Avoid repeated freeze-thaw cycles.

    储存条件

    -20 °C

    储存方法

    For short term use, store at 2-8°C up to 1 week. For long term storage, store at -20°C in small aliquots to prevent freeze-thaw cycles.
  • Hu, Lausted, Yoo, Yan, Brightman, Chen, Wang, Bu, Hood: "Quantitative liver-specific protein fingerprint in blood: a signature for hepatotoxicity." in: Theranostics, Vol. 4, Issue 2, pp. 215-28, (2014) (PubMed).

  • 抗原

    FBP1 (Fructose-1,6-Bisphosphatase 1 (FBP1))

    别名

    FBP1

    背景

    Fructose-1,6-bisphosphatase 1, a gluconeogenesis regulatory enzyme, catalyzes the hydrolysis of fructose 1,6-bisphosphate to fructose 6-phosphate and inorganic phosphate. Fructose-1,6-diphosphatase deficiency is associated with hypoglycemia and metabolic acidosis.Fructose-1,6-bisphosphatase 1, a gluconeogenesis regulatory enzyme, catalyzes the hydrolysis of fructose 1,6-bisphosphate to fructose 6-phosphate and inorganic phosphate. Fructose-1,6-diphosphatase deficiency is associated with hypoglycemia and metabolic acidosis.
    Alias Symbols: FBP
    Protein Interaction Partner: FBP2, FBP1, BIN1, KLRC2, ASL, UBC, POT1, TERF1, PARK2, HDAC6, PTK2, DYNC1I1, CSNK1E, BCL2L1, LNX1, PCNXL4, ATP5J2, ASCC2, RNF183, HSPA8, FXR2, ACTN1,
    Protein Size: 338

    分子量

    37 kDa

    基因ID

    2203

    NCBI登录号

    NM_000507, NP_000498

    UniProt

    P09467

    途径

    Cellular Glucan Metabolic Process, Regulation of Carbohydrate Metabolic Process, Dicarboxylic Acid Transport
You are here: