电话:
+86 (0512) 65829739
传真:
+86 (010) 6788 5057
电子邮件:
orders@antibodies-online.cn

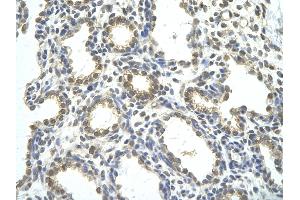
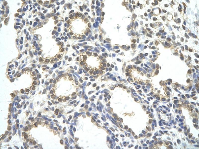
RBM26 抗体 (Middle Region)

The 兔 多克隆 anti-RBM26 antibody (ABIN2776552) specifically detects RBM26 in WB. The antibody is reactive with 人, 小鼠, 大鼠, Cow, 犬, 马, Pig, 兔 和 斑马鱼 samples.
产品编号 ABIN2776552
发货至: 中国
Contact our Customer Service for availability and price in your country. Contact Info

Our Local Distributor

中国
北京 101111
No. 88 KeChuang 6th Street
Beijing Economic Technological Development Area
Room 801-803
4A Biotech Co.,Ltd.
Tel +86 (0512) 65829739 传真 +86 (010) 6788 5057

Quick Overview for RBM26 抗体 (Middle Region) (ABIN2776552)

抗原

RBM26 (RNA Binding Motif Protein 26 (RBM26))

适用

  • 44
  • 27
  • 19
  • 2
  • 2
  • 2
  • 2
  • 2
  • 1
  • 1
  • 1
人, 小鼠, 大鼠, Cow, 犬, 马, Pig, 兔, 斑马鱼

宿主

  • 44

克隆类型

  • 44
多克隆

标记

  • 19
  • 2
  • 2
  • 2
  • 1
  • 1
  • 1
  • 1
  • 1
  • 1
  • 1
  • 1
  • 1
  • 1
  • 1
  • 1
  • 1
  • 1
  • 1
  • 1
  • 1
  • 1
  • 1
This RBM26 antibody is un-conjugated

应用范围

  • 37
  • 13
  • 12
  • 4
  • 3
  • 3
  • 2
  • 2
  • 1
  • 1
Western Blotting (WB)
  • 抗原表位

    • 9
    • 4
    • 2
    • 2
    • 2
    • 1
    • 1
    • 1
    • 1
    • 1
    • 1
    Middle Region

    序列

    PAALKAAQKT LLVSTSAVDN NEAQKKKQEA LKLQQDVRKR KQEILEKHIE

    预测反应

    Cow: 100%, Dog: 100%, Horse: 100%, Human: 100%, Mouse: 100%, Pig: 100%, Rabbit: 100%, Rat: 100%, Zebrafish: 79%

    产品特性

    This is a rabbit polyclonal antibody against RBM26. It was validated on Western Blot using a cell lysate as a positive control.

    纯化方法

    Affinity Purified

    免疫原

    The immunogen is a synthetic peptide directed towards the middle region of human RBM26
  • 应用备注

    Optimal working dilutions should be determined experimentally by the investigator.

    说明

    Antigen size: 558 AA

    限制

    仅限研究用
  • 状态

    Liquid

    浓度

    Lot specific

    缓冲液

    Liquid. Purified antibody supplied in 1x PBS buffer with 0.09 % (w/v) sodium azide and 2 % sucrose.

    储存液

    Sodium azide

    注意事项

    This product contains Sodium azide: a POISONOUS AND HAZARDOUS SUBSTANCE which should be handled by trained staff only.

    注意事项

    Avoid repeated freeze-thaw cycles.

    储存条件

    -20 °C

    储存方法

    For short term use, store at 2-8°C up to 1 week. For long term storage, store at -20°C in small aliquots to prevent freeze-thaw cycles.
  • 抗原

    RBM26 (RNA Binding Motif Protein 26 (RBM26))

    别名

    RBM26

    背景

    RBM26 contains 1 C3H1-type zinc finger and 2 RRM (RNA recognition motif) domains. The function of RBM26 remains unknown.
    Alias Symbols: ARRS2, SE70-2, ZC3H17, PRO1777, C13orf10, RP11-255E21.1
    Protein Interaction Partner: NCK2, RPA3, RPA2, RPA1, Dlg4, PPP1CA, UBC, ATXN1, CRCP, RAB3GAP2, HINFP, HNRNPA1, SUMO2, KBTBD7,
    Protein Size: 558

    分子量

    61 kDa

    基因ID

    64062

    NCBI登录号

    NM_022118

    UniProt

    Q5T8P6
You are here: