电话:
+86 (0512) 65829739
传真:
+86 (010) 6788 5057
电子邮件:
orders@antibodies-online.cn

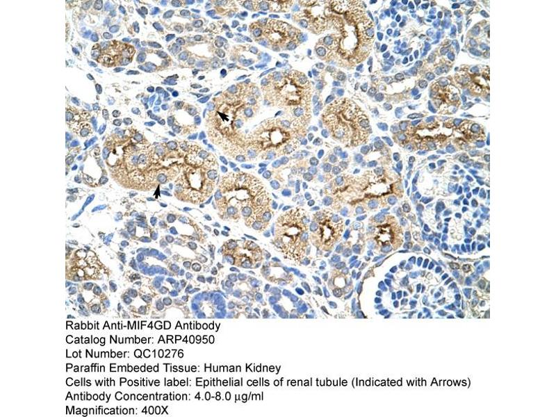
MIF4GD 抗体 (C-Term)

Cited in 1 publication. The 兔 多克隆 anti-MIF4GD antibody (ABIN2776538) specifically detects MIF4GD in WB 和 IHC. The antibody is reactive with 人, 小鼠, 犬, 大鼠, 豚鼠, Cow, 马, 兔 和 斑马鱼 samples.
产品编号 ABIN2776538
发货至: 中国
Contact our Customer Service for availability and price in your country. Contact Info

Our Local Distributor

中国
北京 101111
No. 88 KeChuang 6th Street
Beijing Economic Technological Development Area
Room 801-803
4A Biotech Co.,Ltd.
Tel +86 (0512) 65829739 传真 +86 (010) 6788 5057

Quick Overview for MIF4GD 抗体 (C-Term) (ABIN2776538)

抗原

See all MIF4GD 抗体
MIF4GD (MIF4G Domain Containing (MIF4GD))

适用

  • 23
  • 7
  • 5
  • 4
  • 3
  • 2
  • 2
  • 2
  • 2
  • 2
  • 2
  • 2
  • 1
人, 小鼠, 犬, 大鼠, 豚鼠, Cow, 马, 兔, 斑马鱼

宿主

  • 20
  • 3

克隆类型

  • 21
  • 2
多克隆

标记

  • 13
  • 2
  • 1
  • 1
  • 1
  • 1
  • 1
  • 1
  • 1
  • 1
This MIF4GD antibody is un-conjugated

应用范围

  • 12
  • 5
  • 4
  • 4
  • 3
  • 1
Western Blotting (WB), Immunohistochemistry (IHC)
  • 抗原表位

    • 5
    • 4
    • 2
    • 1
    • 1
    • 1
    C-Term

    序列

    LFVLIRDGFL LPTGLSSLAQ LLLLEIIEFR AAGWKTTPAA HKYYYSEVSD

    预测反应

    Cow: 100%, Dog: 100%, Guinea Pig: 100%, Horse: 100%, Human: 100%, Mouse: 100%, Rabbit: 100%, Rat: 100%, Zebrafish: 100%

    产品特性

    This is a rabbit polyclonal antibody against MIF4GD. It was validated on Western Blot and immunohistochemistry.

    纯化方法

    Protein A purified

    免疫原

    The immunogen is a synthetic peptide directed towards the C terminal region of human MIF4GD
  • 应用备注

    Optimal working dilutions should be determined experimentally by the investigator.

    说明

    Antigen size: 256 AA

    限制

    仅限研究用
  • 状态

    Liquid

    浓度

    Lot specific

    缓冲液

    Liquid. Purified antibody supplied in 1x PBS buffer with 0.09 % (w/v) sodium azide and 2 % sucrose.

    储存液

    Sodium azide

    注意事项

    This product contains Sodium azide: a POISONOUS AND HAZARDOUS SUBSTANCE which should be handled by trained staff only.

    注意事项

    Avoid repeated freeze-thaw cycles.

    储存条件

    -20 °C

    储存方法

    For short term use, store at 2-8°C up to 1 week. For long term storage, store at -20°C in small aliquots to prevent freeze-thaw cycles.
  • Okada, Kimura, Moriyama, Nakai, Kikuchi, Kaneko, Kunieda, Baba, Noguchi: "Expression analysis of MIF4GD in the rat testis." in: The Journal of reproduction and development, Vol. 57, Issue 2, pp. 256-61, (2011) (PubMed).

  • 抗原

    MIF4GD (MIF4G Domain Containing (MIF4GD))

    别名

    MIF4GD

    背景

    MIF4GD is a protein which contains an MIF4G domain.This gene encodes a protein which contains an MIF4G domain.
    Alias Symbols: MIFD, AD023, SLIP1
    Protein Interaction Partner: DDX19A, DDX19B, PDE4DIP, HGS, EXOSC6, HDAC4, PPARG, LSM5, PDXDC1, PPIP5K1, DHX16, ILF2, HINFP, UBQLN4, SVIL,
    Protein Size: 256

    分子量

    28 kDa

    基因ID

    57409

    NCBI登录号

    NM_020679, NP_065730

    UniProt

    Q8N4Q5
You are here: