电话:
+86 (0512) 65829739
传真:
+86 (010) 6788 5057
电子邮件:
orders@antibodies-online.cn

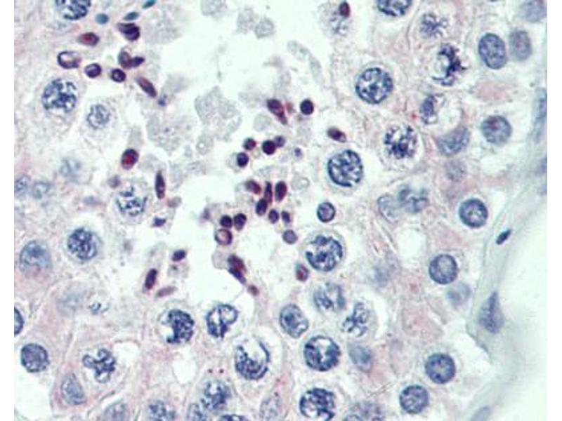
PRDM9 抗体 (Middle Region)

This anti-PRDM9 antibody is a 兔 多克隆 antibody detecting PRDM9 in WB 和 IHC. Suitable for 人. This Primary Antibody has been cited in 1 publication.
产品编号 ABIN405037
发货至: 中国

Quick Overview for PRDM9 抗体 (Middle Region) (ABIN405037)

抗原

See all PRDM9 抗体
PRDM9 (PR Domain Containing 9 (PRDM9))

适用

  • 10
  • 5
  • 4

宿主

  • 11
  • 3
  • 2

克隆类型

  • 12
  • 3
  • 1
多克隆

标记

  • 13
  • 1
  • 1
  • 1
This PRDM9 antibody is un-conjugated

应用范围

  • 12
  • 9
  • 6
  • 5
  • 5
  • 4
  • 2
  • 1
  • 1
Western Blotting (WB), Immunohistochemistry (IHC)
  • 抗原表位

    • 2
    • 1
    • 1
    • 1
    • 1
    • 1
    • 1
    Middle Region

    序列

    CPGDQNQEQQ YPDPHSRNDK TKGQEIKERS KLLNKRTWQR EISRAFSSPP

    预测反应

    Human: 100%

    产品特性

    This is a rabbit polyclonal antibody against PRDM9. It was validated on Western Blot using a cell lysate as a positive control.

    纯化方法

    Affinity Purified

    免疫原

    The immunogen is a synthetic peptide directed towards the middle region of human PRDM9
  • 应用备注

    Optimal working dilutions should be determined experimentally by the investigator.

    说明

    Antigen size: 894 AA

    限制

    仅限研究用
  • 状态

    Liquid

    浓度

    Lot specific

    缓冲液

    Liquid. Purified antibody supplied in 1x PBS buffer with 0.09 % (w/v) sodium azide and 2 % sucrose.

    储存液

    Sodium azide

    注意事项

    This product contains Sodium azide: a POISONOUS AND HAZARDOUS SUBSTANCE which should be handled by trained staff only.

    注意事项

    Avoid repeated freeze-thaw cycles.

    储存条件

    -20 °C

    储存方法

    For short term use, store at 2-8°C up to 1 week. For long term storage, store at -20°C in small aliquots to prevent freeze-thaw cycles.
  • Sun, Xu, Zhou, Hu, Fu, Zhang, Jin, Chen, Chen, Huang, Liu, Chen: "Genome-wide survey and developmental expression mapping of zebrafish SET domain-containing genes." in: PLoS ONE, Vol. 3, Issue 1, pp. e1499, (2008) (PubMed).

  • 抗原

    PRDM9 (PR Domain Containing 9 (PRDM9))

    别名

    PRDM9

    背景

    The PR domain is a protein-protein interaction module of about 100 amino acids. PR domain-containing proteins, such as PRDM9, are often involved in transcriptional regulation.The PR domain is a protein-protein interaction module of about 100 amino acids. PR domain-containing proteins, such as PRDM9, are often involved in transcriptional regulation (Jiang and Huang, 2000 [PubMed 10668202]).[supplied by OMIM].
    Alias Symbols: PFM6, MSBP3, PRMD9, ZNF899, MEISETZ
    Protein Size: 894

    分子量

    103 kDa

    基因ID

    56979

    NCBI登录号

    NM_020227, NP_064612

    UniProt

    Q9NQV7
You are here:
Chat with us!