电话:
+86 (0512) 65829739
传真:
+86 (010) 6788 5057
电子邮件:
orders@antibodies-online.cn

PRPSAP2 抗体

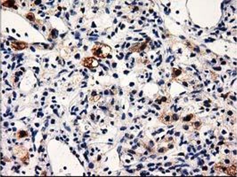
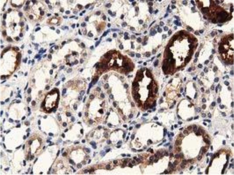
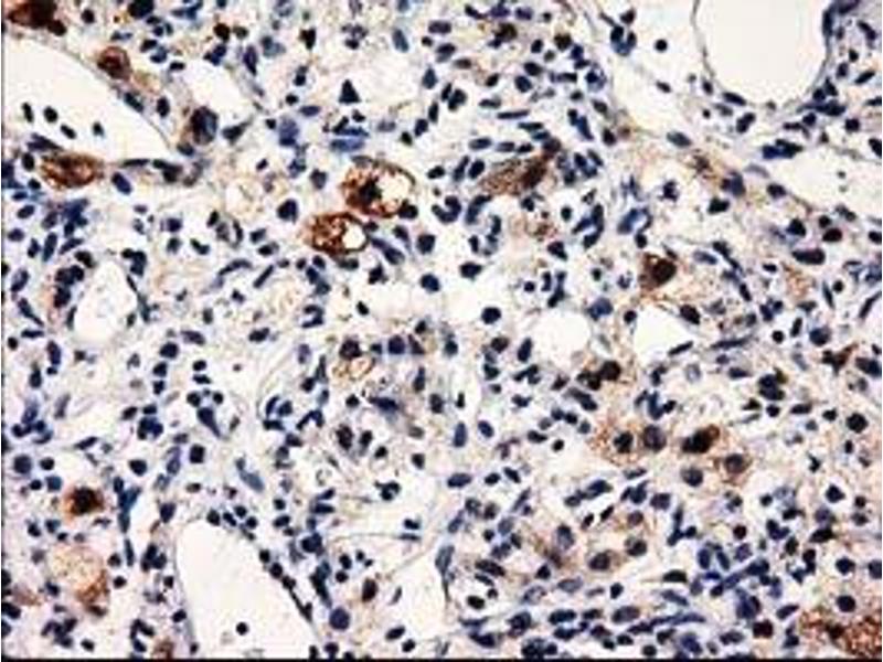
The 小鼠 单克隆 anti-PRPSAP2 antibody is suitable to detect PRPSAP2 in samples from 人. It has been validated for WB, IHC, IF 和 FACS.
产品编号 ABIN2729837
发货至: 中国
Contact our Customer Service for availability and price in your country. Contact Info

Our Local Distributor

中国
北京 101111
No. 88 KeChuang 6th Street
Beijing Economic Technological Development Area
Room 801-803
4A Biotech Co.,Ltd.
Tel +86 (0512) 65829739 传真 +86 (010) 6788 5057

Quick Overview for PRPSAP2 抗体 (ABIN2729837)

抗原

See all PRPSAP2 抗体
PRPSAP2 (phosphoribosyl Pyrophosphate Synthetase-Associated Protein 2 (PRPSAP2))

适用

  • 33
  • 21
  • 20
  • 3
  • 3
  • 3
  • 3
  • 3
  • 2
  • 2
  • 2
  • 2
  • 1

宿主

  • 31
  • 2
小鼠

克隆类型

  • 33
单克隆

标记

  • 14
  • 2
  • 2
  • 1
  • 1
  • 1
  • 1
  • 1
  • 1
  • 1
  • 1
  • 1
  • 1
  • 1
  • 1
  • 1
  • 1
  • 1
This PRPSAP2 antibody is un-conjugated

应用范围

  • 27
  • 13
  • 13
  • 7
  • 6
  • 6
  • 5
  • 4
  • 3
  • 3
  • 2
  • 2
  • 1
  • 1
Western Blotting (WB), Immunohistochemistry (IHC), Immunofluorescence (IF), Flow Cytometry (FACS)

克隆位点

1E3
You are here: