电话:
+86 (0512) 65829739
传真:
+86 (010) 6788 5057
电子邮件:
orders@antibodies-online.cn

LACTB2 抗体

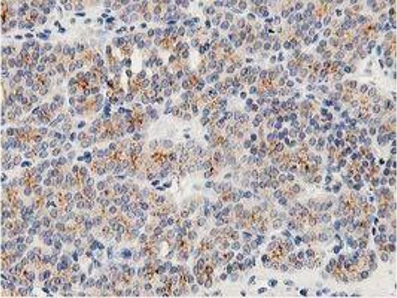
This 小鼠 单克隆 antibody specifically detects LACTB2 in WB, IHC 和 FACS. It exhibits reactivity toward 人.
产品编号 ABIN2724456
发货至: 中国
Contact our Customer Service for availability and price in your country. Contact Info

Our Local Distributor

中国
北京 101111
No. 88 KeChuang 6th Street
Beijing Economic Technological Development Area
Room 801-803
4A Biotech Co.,Ltd.
Tel +86 (0512) 65829739 传真 +86 (010) 6788 5057

Quick Overview for LACTB2 抗体 (ABIN2724456)

抗原

See all LACTB2 抗体
LACTB2 (Lactamase, beta 2 (LACTB2))

适用

  • 30
  • 20
  • 20
  • 3
  • 2
  • 1
  • 1
  • 1
  • 1
  • 1
  • 1
  • 1
  • 1
  • 1

宿主

  • 26
  • 4
小鼠

克隆类型

  • 26
  • 4
单克隆

标记

  • 12
  • 3
  • 2
  • 2
  • 1
  • 1
  • 1
  • 1
  • 1
  • 1
  • 1
  • 1
  • 1
  • 1
  • 1
This LACTB2 antibody is un-conjugated

应用范围

  • 25
  • 13
  • 7
  • 6
  • 6
  • 3
  • 3
  • 1
  • 1
Western Blotting (WB), Immunohistochemistry (IHC), Flow Cytometry (FACS)

克隆位点

3A5
  • 产品特性

    Homo sapiens lactamase, beta 2 (LACTB2)

    纯化方法

    Purified from mouse ascites fluids by affinity chromatography

    免疫原

    Full length human recombinant protein of human LACTB2 (NP_057111) produced in E.coli

    亚型

    IgG1
  • 应用备注

    WB 1:2000, IHC 1:150, FLOW 1:100,

    说明

    The concentration of the product may vary between diferrent lots.

    限制

    仅限研究用
  • 状态

    Liquid

    浓度

    0.5-1.0 mg/mL

    缓冲液

    PBS (PH 7.3) containing 1 % BSA, 50 % glycerol and 0.02 % sodium azide.

    储存液

    Sodium azide

    注意事项

    This product contains sodium azide: a POISONOUS AND HAZARDOUS SUBSTANCE which should be handled by trained staff only.

    储存条件

    -20 °C
  • 抗原

    LACTB2 (Lactamase, beta 2 (LACTB2))

    别名

    LACTB2

    分子量

    32.6 kDa

    基因ID

    51110

    NCBI登录号

    NM_016027

    HGNC

    51110
You are here: