电话:
+86 (0512) 65829739
传真:
+86 (010) 6788 5057
电子邮件:
orders@antibodies-online.cn

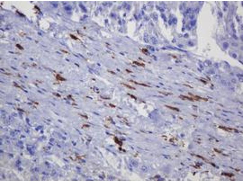
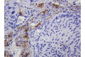
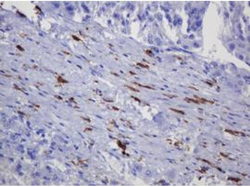
SOAT2 抗体 (AA 1-120)

This 小鼠 单克隆 antibody specifically detects SOAT2 in IHC. It exhibits reactivity toward 人.
产品编号 ABIN2715639
发货至: 中国
Contact our Customer Service for availability and price in your country. Contact Info

Our Local Distributor

中国
北京 101111
No. 88 KeChuang 6th Street
Beijing Economic Technological Development Area
Room 801-803
4A Biotech Co.,Ltd.
Tel +86 (0512) 65829739 传真 +86 (010) 6788 5057

Quick Overview for SOAT2 抗体 (AA 1-120) (ABIN2715639)

抗原

See all SOAT2 抗体
SOAT2 (Sterol O-Acyltransferase 2 (SOAT2))

适用

  • 22
  • 17
  • 3
  • 1

宿主

  • 22
  • 1
小鼠

克隆类型

  • 22
  • 1
单克隆

标记

  • 9
  • 1
  • 1
  • 1
  • 1
  • 1
  • 1
  • 1
  • 1
  • 1
  • 1
  • 1
  • 1
  • 1
  • 1
This SOAT2 antibody is un-conjugated

应用范围

  • 20
  • 13
  • 13
  • 5
  • 5
  • 4
  • 3
  • 1
  • 1
Immunohistochemistry (IHC)

克隆位点

OTIE12
You are here: