电话:
+86 (0512) 65829739
传真:
+86 (010) 6788 5057
电子邮件:
orders@antibodies-online.cn

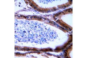
Granzyme B/H (N-Term) 抗体

The 兔 多克隆 anti-Granzyme B/H antibody (ABIN7295860) specifically detects Granzyme B/H in WB 和 IHC. The antibody is reactive with 人, 小鼠, 大鼠, Cow, 犬 和 Pig samples.
产品编号 ABIN7295860
发货至: 中国
Contact our Customer Service for availability and price in your country. Contact Info

Our Local Distributor

中国
北京 101111
No. 88 KeChuang 6th Street
Beijing Economic Technological Development Area
Room 801-803
4A Biotech Co.,Ltd.
Tel +86 (0512) 65829739 传真 +86 (010) 6788 5057

Quick Overview for Granzyme B/H (N-Term) 抗体 (ABIN7295860)

抗原

Granzyme B/H

适用

人, 小鼠, 大鼠, Cow, 犬, Pig

宿主

  • 2

克隆类型

  • 2
多克隆

标记

  • 2
非结合性

应用范围

  • 2
  • 2
  • 1
  • 1
Western Blotting (WB), Immunohistochemistry (IHC)
  • 抗原表位

    • 1
    • 1
    N-Term

    原理

    Rabbit polyclonal antibody to Granzyme B/H

    特异性

    Recognizes endogenous levels of Granzyme B/H protein.

    产品特性

    Rabbit polyclonal antibody to Granzyme B/H

    纯化方法

    The antibody was purified by immunogen affinity chromatography.

    免疫原

    KLH-conjugated synthetic peptide encompassing a sequence within the N-term region of human Granzyme B/H. The exact sequence is proprietary.
  • 应用备注

    WB (1/500 - 1/1000), IH (1/100 - 1/200)

    限制

    仅限研究用
  • 状态

    Liquid

    缓冲液

    Liquid in 0.42 % Potassium phosphate, 0.87 % Sodium chloride, pH 7.3, 30 % glycerol, and 0.01 % sodium azide.

    储存液

    Sodium azide

    注意事项

    This product contains Sodium azide: a POISONOUS AND HAZARDOUS SUBSTANCE which should be handled by trained staff only.

    储存条件

    -20 °C

    储存方法

    Shipped at 4°C. Upon delivery aliquot and store at -20°C for one year. Avoid freeze/thaw cycles.

    有效期

    12 months
  • 抗原

    Granzyme B/H

    背景

    GZMB, CGL1, CSPB, CTLA1, GRB, Granzyme B, C11, CTLA-1, Cathepsin G-like 1, CTSGL1, Cytotoxic T-lymphocyte proteinase 2, Lymphocyte protease, Fragmentin-2, Granzyme-2, Human lymphocyte protein, HLP, SECT, T-cell serine protease 1-3E, GZMH, CGL2, CTSGL2, Granzyme H, CCP-X, Cathepsin G-like 2, CTSGL2, Cytotoxic T-lymphocyte proteinase, Cytotoxic serine protease C, CSP-C

    基因ID

    2999, 14939, 100361468

    UniProt

    P10144
You are here: