ADCY9 抗体 (N-Term)
Our Local Distributor
北京 101111
Quick Overview for ADCY9 抗体 (N-Term) (ABIN7294856)
抗原
See all ADCY9 抗体适用
宿主
克隆类型
标记
应用范围
-
-
抗原表位
- N-Term
-
原理
- Rabbit polyclonal antibody to Adenylate Cyclase 9
-
特异性
- Recognizes endogenous levels of Adenylate Cyclase 9 protein.
-
产品特性
- Rabbit polyclonal antibody to Adenylate Cyclase 9
-
纯化方法
- The antibody was purified by immunogen affinity chromatography.
-
免疫原
- KLH-conjugated synthetic peptide encompassing a sequence within the N-term region of human Adenylate Cyclase 9. The exact sequence is proprietary.
-
-
-
-
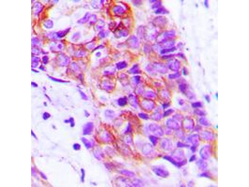
应用备注
- WB (1/500 - 1/1000), IH (1/100 - 1/200), IF/IC (1/100 - 1/500)
-
限制
- 仅限研究用
-
-
-
状态
- Liquid
-
缓冲液
- Liquid in 0.42 % Potassium phosphate, 0.87 % Sodium chloride, pH 7.3, 30 % glycerol, and 0.01 % sodium azide.
-
储存液
- Sodium azide
-
注意事项
- This product contains Sodium azide: a POISONOUS AND HAZARDOUS SUBSTANCE which should be handled by trained staff only.
-
储存条件
- -20 °C
-
储存方法
- Shipped at 4°C. Upon delivery aliquot and store at -20°C for one year. Avoid freeze/thaw cycles.
-
有效期
- 12 months
-
-
- ADCY9 (Adenylate Cyclase 9 (ADCY9))
-
别名
- Adenylate Cyclase 9
-
背景
- KIAA0520, Adenylate cyclase type 9, ATP pyrophosphate-lyase 9, Adenylate cyclase type IX, Adenylyl cyclase 9
-
基因ID
- 115, 11515
-
UniProt
- O60503
-
途径
- EGFR Signaling Pathway, Neurotrophin Signaling Pathway, Thyroid Hormone Synthesis, cAMP Metabolic Process, Myometrial Relaxation and Contraction, G-protein mediated Events, Interaction of EGFR with phospholipase C-gamma
抗原
-