电话:
+86 (0512) 65829739
传真:
+86 (010) 6788 5057
电子邮件:
orders@antibodies-online.cn

RANBP6 抗体 (Center)

This 兔 多克隆 antibody specifically detects RANBP6 in WB, IF 和 IHC. It exhibits reactivity toward 人, 小鼠, 大鼠 和 猴.
产品编号 ABIN7298052
发货至: 中国
Contact our Customer Service for availability and price in your country. Contact Info

Our Local Distributor

中国
北京 101111
No. 88 KeChuang 6th Street
Beijing Economic Technological Development Area
Room 801-803
4A Biotech Co.,Ltd.
Tel +86 (0512) 65829739 传真 +86 (010) 6788 5057

Quick Overview for RANBP6 抗体 (Center) (ABIN7298052)

抗原

See all RANBP6 抗体
RANBP6 (RAN Binding Protein 6 (RANBP6))

适用

人, 小鼠, 大鼠, 猴

宿主

  • 17
  • 1

克隆类型

  • 18
多克隆

标记

  • 11
  • 1
  • 1
  • 1
  • 1
  • 1
  • 1
  • 1
This RANBP6 antibody is un-conjugated

应用范围

  • 10
  • 6
  • 5
  • 5
  • 4
  • 2
  • 2
Western Blotting (WB), Immunofluorescence (IF), Immunohistochemistry (IHC)
  • 抗原表位

    • 4
    • 2
    • 1
    • 1
    • 1
    • 1
    Center

    原理

    Rabbit polyclonal antibody to RANBP6

    特异性

    Recognizes endogenous levels of RANBP6 protein.

    产品特性

    Rabbit polyclonal antibody to RANBP6

    纯化方法

    The antibody was purified by immunogen affinity chromatography.

    免疫原

    KLH-conjugated synthetic peptide encompassing a sequence within the center region of human RANBP6. The exact sequence is proprietary.
  • 应用备注

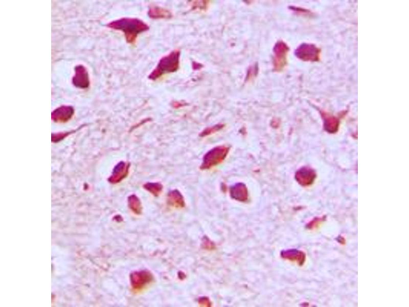
    WB (1/500 - 1/1000), IH (1/50 - 1/100), IF/IC (1/50 - 1/200)

    限制

    仅限研究用
  • 状态

    Liquid

    缓冲液

    Liquid in 0.42 % Potassium phosphate, 0.87 % Sodium chloride, pH 7.3, 30 % glycerol, and 0.01 % sodium azide.

    储存液

    Sodium azide

    注意事项

    This product contains Sodium azide: a POISONOUS AND HAZARDOUS SUBSTANCE which should be handled by trained staff only.

    储存条件

    -20 °C

    储存方法

    Shipped at 4°C. Upon delivery aliquot and store at -20°C for one year. Avoid freeze/thaw cycles.

    有效期

    12 months
  • 抗原

    RANBP6 (RAN Binding Protein 6 (RANBP6))

    别名

    RANBP6

    背景

    Ran-binding protein 6, RanBP6

    基因ID

    26953, 240614

    UniProt

    O60518
You are here: