LMX1B 抗体 (Center)
Our Local Distributor
北京 101111
Quick Overview for LMX1B 抗体 (Center) (ABIN7296204)
抗原
See all LMX1B 抗体适用
宿主
克隆类型
标记
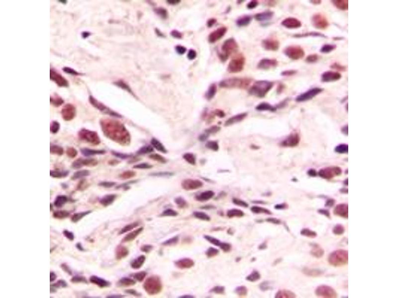
应用范围
-
-
抗原表位
- Center
-
原理
- Rabbit polyclonal antibody to LMX1B
-
特异性
- Recognizes endogenous levels of LMX1B protein.
-
产品特性
- Rabbit polyclonal antibody to LMX1B
-
纯化方法
- The antibody was purified by immunogen affinity chromatography.
-
免疫原
- KLH-conjugated synthetic peptide encompassing a sequence within the center region of human LMX1B. The exact sequence is proprietary.
-
-
-
-
应用备注
- WB (1/500 - 1/1000), IH (1/50 - 1/100)
-
限制
- 仅限研究用
-
-
-
状态
- Liquid
-
缓冲液
- Liquid in 0.42 % Potassium phosphate, 0.87 % Sodium chloride, pH 7.3, 30 % glycerol, and 0.01 % sodium azide.
-
储存液
- Sodium azide
-
注意事项
- This product contains Sodium azide: a POISONOUS AND HAZARDOUS SUBSTANCE which should be handled by trained staff only.
-
储存条件
- -20 °C
-
储存方法
- Shipped at 4°C. Upon delivery aliquot and store at -20°C for one year. Avoid freeze/thaw cycles.
-
有效期
- 12 months
-
-
- LMX1B (LIM Homeobox Transcription Factor 1, beta (LMX1B))
-
别名
- LMX1B
-
背景
- LIM homeobox transcription factor 1-beta, LIM/homeobox protein 1.2, LMX-1.2, LIM/homeobox protein LMX1B
-
基因ID
- 4010
-
UniProt
- O60663
-
途径
- Dopaminergic Neurogenesis
抗原
-