电话:
+86 (0512) 65829739
传真:
+86 (010) 6788 5057
电子邮件:
orders@antibodies-online.cn

Cytokeratin 13 抗体 (Center)

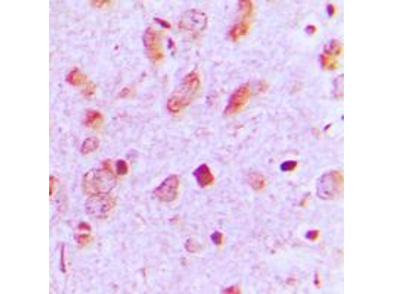
The 兔 多克隆 anti-Cytokeratin 13 antibody (ABIN7296138) specifically detects Cytokeratin 13 in WB 和 IHC. The antibody is reactive with 人 和 猴 samples.
产品编号 ABIN7296138
发货至: 中国
Contact our Customer Service for availability and price in your country. Contact Info

Our Local Distributor

中国
北京 101111
No. 88 KeChuang 6th Street
Beijing Economic Technological Development Area
Room 801-803
4A Biotech Co.,Ltd.
Tel +86 (0512) 65829739 传真 +86 (010) 6788 5057

Quick Overview for Cytokeratin 13 抗体 (Center) (ABIN7296138)

抗原

See all Cytokeratin 13 (KRT13) 抗体
Cytokeratin 13 (KRT13) (Keratin 13 (KRT13))

适用

  • 107
  • 48
  • 33
  • 11
  • 6
  • 5
  • 4
  • 3
  • 3
  • 2
  • 1
  • 1
  • 1
  • 1
  • 1
人, 猴

宿主

  • 76
  • 34
  • 1
  • 1

克隆类型

  • 57
  • 55
多克隆

标记

  • 60
  • 5
  • 3
  • 3
  • 3
  • 3
  • 3
  • 3
  • 3
  • 2
  • 2
  • 2
  • 1
  • 1
  • 1
  • 1
  • 1
  • 1
  • 1
  • 1
  • 1
  • 1
  • 1
  • 1
  • 1
  • 1
  • 1
  • 1
  • 1
  • 1
  • 1
  • 1
This Cytokeratin 13 antibody is un-conjugated

应用范围

  • 74
  • 54
  • 27
  • 20
  • 20
  • 18
  • 17
  • 13
  • 10
  • 9
  • 7
  • 2
  • 1
  • 1
  • 1
  • 1
  • 1
Western Blotting (WB), Immunohistochemistry (IHC)
  • 抗原表位

    • 6
    • 5
    • 5
    • 3
    • 2
    • 2
    • 2
    • 2
    • 1
    • 1
    • 1
    • 1
    • 1
    • 1
    • 1
    • 1
    • 1
    Center

    原理

    Rabbit polyclonal antibody to Cytokeratin 13

    特异性

    Recognizes endogenous levels of Cytokeratin 13 protein.

    产品特性

    Rabbit polyclonal antibody to Cytokeratin 13

    纯化方法

    The antibody was purified by immunogen affinity chromatography.

    免疫原

    KLH-conjugated synthetic peptide encompassing a sequence within the center region of human Cytokeratin 13. The exact sequence is proprietary.
  • 应用备注

    WB (1/500 - 1/1000), IH (1/100 - 1/200)

    限制

    仅限研究用
  • 状态

    Liquid

    缓冲液

    Liquid in 0.42 % Potassium phosphate, 0.87 % Sodium chloride, pH 7.3, 30 % glycerol, and 0.01 % sodium azide.

    储存液

    Sodium azide

    注意事项

    This product contains Sodium azide: a POISONOUS AND HAZARDOUS SUBSTANCE which should be handled by trained staff only.

    储存条件

    -20 °C

    储存方法

    Shipped at 4°C. Upon delivery aliquot and store at -20°C for one year. Avoid freeze/thaw cycles.

    有效期

    12 months
  • 抗原

    Cytokeratin 13 (KRT13) (Keratin 13 (KRT13))

    别名

    Cytokeratin 13

    背景

    Keratin, type I cytoskeletal 13, Cytokeratin-13, CK-13, Keratin-13, K13

    基因ID

    3860

    UniProt

    P13646
You are here: