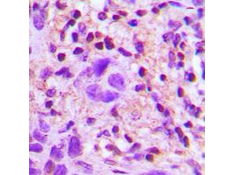
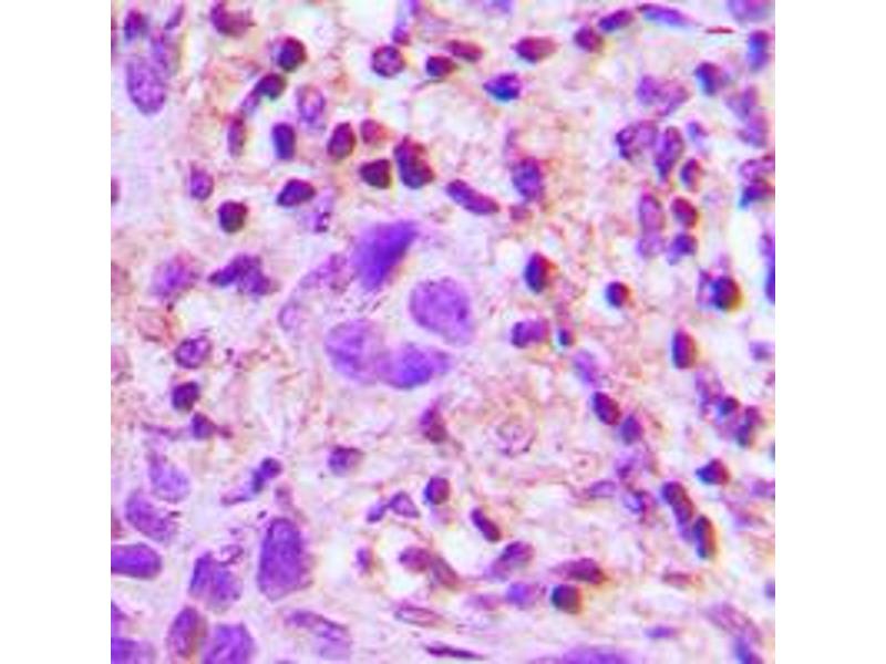
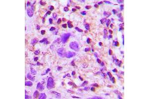
TGFB2 抗体 (C-Term)
Our Local Distributor
北京 101111
Quick Overview for TGFB2 抗体 (C-Term) (ABIN7297126)
抗原
See all TGFB2 抗体适用
宿主
克隆类型
标记
应用范围
-
-
抗原表位
- C-Term
-
原理
- Rabbit polyclonal antibody to TGF beta 2
-
特异性
- Recognizes endogenous levels of TGF beta 2 protein.
-
产品特性
- Rabbit polyclonal antibody to TGF beta 2
-
纯化方法
- The antibody was purified by immunogen affinity chromatography.
-
免疫原
- KLH-conjugated synthetic peptide encompassing a sequence within the C-term region of human TGF beta 2. The exact sequence is proprietary.
-
-
-
-
应用备注
- WB (1/500 - 1/1000), IH (1/100 - 1/200)
-
限制
- 仅限研究用
-
-
-
状态
- Liquid
-
缓冲液
- Liquid in 0.42 % Potassium phosphate, 0.87 % Sodium chloride, pH 7.3, 30 % glycerol, and 0.01 % sodium azide.
-
储存液
- Sodium azide
-
注意事项
- This product contains Sodium azide: a POISONOUS AND HAZARDOUS SUBSTANCE which should be handled by trained staff only.
-
储存条件
- -20 °C
-
储存方法
- Shipped at 4°C. Upon delivery aliquot and store at -20°C for one year. Avoid freeze/thaw cycles.
-
有效期
- 12 months
-
-
- TGFB2 (Transforming Growth Factor, beta 2 (TGFB2))
-
别名
- TGF beta 2
-
背景
- Transforming growth factor beta-2, TGF-beta-2, BSC-1 cell growth inhibitor, Cetermin, Glioblastoma-derived T-cell suppressor factor, G-TSF, Polyergin
-
基因ID
- 7042, 21808, 81809
-
UniProt
- P61812
-
途径
- Cell-Cell Junction Organization, Production of Molecular Mediator of Immune Response, Protein targeting to Nucleus
抗原
-