电话:
+86 (0512) 65829739
传真:
+86 (010) 6788 5057
电子邮件:
orders@antibodies-online.cn

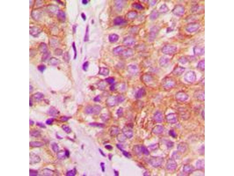
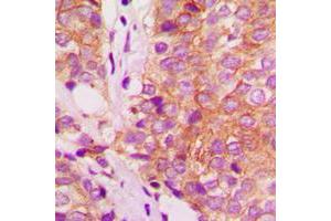
Filamin A 抗体 (C-Term)

The 兔 多克隆 anti-Filamin A antibody is suitable to detect Filamin A in samples from 人, 小鼠, 大鼠 和 兔. It has been validated for WB, IHC 和 IP.
产品编号 ABIN7295684
发货至: 中国
Contact our Customer Service for availability and price in your country. Contact Info

Our Local Distributor

中国
北京 101111
No. 88 KeChuang 6th Street
Beijing Economic Technological Development Area
Room 801-803
4A Biotech Co.,Ltd.
Tel +86 (0512) 65829739 传真 +86 (010) 6788 5057

Quick Overview for Filamin A 抗体 (C-Term) (ABIN7295684)

抗原

See all Filamin A (FLNA) 抗体
Filamin A (FLNA) (Filamin A, alpha (FLNA))

适用

  • 116
  • 42
  • 31
  • 3
  • 1
  • 1
人, 小鼠, 大鼠, 兔

宿主

  • 106
  • 10
  • 1

克隆类型

  • 84
  • 33
多克隆

标记

  • 49
  • 8
  • 5
  • 4
  • 4
  • 4
  • 4
  • 4
  • 4
  • 4
  • 2
  • 2
  • 2
  • 2
  • 2
  • 2
  • 2
  • 2
  • 2
  • 2
  • 2
  • 2
  • 1
  • 1
  • 1
This Filamin A antibody is un-conjugated

应用范围

  • 65
  • 38
  • 33
  • 28
  • 28
  • 26
  • 23
  • 17
  • 16
  • 9
  • 7
  • 3
  • 2
  • 1
  • 1
Western Blotting (WB), Immunohistochemistry (IHC), Immunoprecipitation (IP)
  • 抗原表位

    • 15
    • 15
    • 13
    • 6
    • 5
    • 3
    • 3
    • 2
    • 2
    • 2
    • 2
    • 2
    • 2
    • 1
    • 1
    • 1
    • 1
    • 1
    • 1
    • 1
    • 1
    • 1
    • 1
    C-Term

    原理

    Rabbit polyclonal antibody to Filamin A

    特异性

    Recognizes endogenous levels of Filamin A protein.

    产品特性

    Rabbit polyclonal antibody to Filamin A

    纯化方法

    The antibody was purified by immunogen affinity chromatography.

    免疫原

    KLH-conjugated synthetic peptide encompassing a sequence within the C-term region of human Filamin A. The exact sequence is proprietary.
  • 应用备注

    WB (1/500 - 1/1000), IH (1/100 - 1/200), IP (1/10 - 1/100)

    限制

    仅限研究用
  • 状态

    Liquid

    缓冲液

    Liquid in 0.42 % Potassium phosphate, 0.87 % Sodium chloride, pH 7.3, 30 % glycerol, and 0.01 % sodium azide.

    储存液

    Sodium azide

    注意事项

    This product contains Sodium azide: a POISONOUS AND HAZARDOUS SUBSTANCE which should be handled by trained staff only.

    储存条件

    -20 °C

    储存方法

    Shipped at 4°C. Upon delivery aliquot and store at -20°C for one year. Avoid freeze/thaw cycles.

    有效期

    12 months
  • 抗原

    Filamin A (FLNA) (Filamin A, alpha (FLNA))

    别名

    Filamin A

    背景

    FLN, FLN1, Filamin-A, FLN-A, Actin-binding protein 280, ABP-280, Alpha-filamin, Endothelial actin-binding protein, Filamin-1, Non-muscle filamin

    基因ID

    2316, 192176

    UniProt

    P21333

    途径

    TCR Signaling, Maintenance of Protein Location
You are here: