电话:
+86 (0512) 65829739
传真:
+86 (010) 6788 5057
电子邮件:
orders@antibodies-online.cn

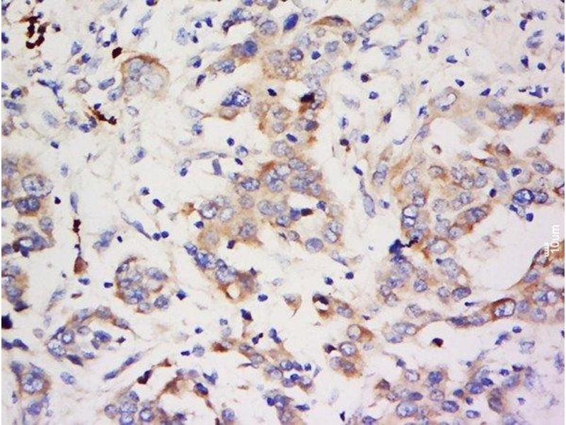
ZNF703 抗体 (AA 221-320)

This 兔 多克隆 antibody specifically detects ZNF703 in WB, ELISA, IF (cc), IF (p), IHC (p), IHC (fro) 和 ICC. It exhibits reactivity toward 人.
产品编号 ABIN2690332
发货至: 中国
Contact our Customer Service for availability and price in your country. Contact Info

Our Local Distributor

中国
北京 101111
No. 88 KeChuang 6th Street
Beijing Economic Technological Development Area
Room 801-803
4A Biotech Co.,Ltd.
Tel +86 (0512) 65829739 传真 +86 (010) 6788 5057

Quick Overview for ZNF703 抗体 (AA 221-320) (ABIN2690332)

抗原

See all ZNF703 抗体
ZNF703 (Zinc Finger Protein 703 (ZNF703))

适用

  • 51
  • 8
  • 7
  • 6
  • 5
  • 5
  • 3
  • 3
  • 2
  • 1
  • 1
  • 1

宿主

  • 48
  • 2
  • 1

克隆类型

  • 49
  • 2
多克隆

标记

  • 20
  • 4
  • 4
  • 4
  • 1
  • 1
  • 1
  • 1
  • 1
  • 1
  • 1
  • 1
  • 1
  • 1
  • 1
  • 1
  • 1
  • 1
  • 1
  • 1
  • 1
  • 1
  • 1
This ZNF703 antibody is un-conjugated

应用范围

  • 36
  • 20
  • 12
  • 12
  • 5
  • 4
  • 3
  • 2
  • 2
  • 1
  • 1
Western Blotting (WB), ELISA, Immunofluorescence (Cultured Cells) (IF (cc)), Immunofluorescence (Paraffin-embedded Sections) (IF (p)), Immunohistochemistry (Paraffin-embedded Sections) (IHC (p)), Immunohistochemistry (Frozen Sections) (IHC (fro)), Immunocytochemistry (ICC)
  • 抗原表位

    • 14
    • 9
    • 7
    • 2
    • 2
    • 2
    • 2
    • 1
    • 1
    • 1
    • 1
    AA 221-320

    交叉反应

    预测反应

    Mouse,Rat

    纯化方法

    Purified by Protein A.

    免疫原

    KLH conjugated synthetic peptide derived from human ZNF703

    亚型

    IgG
  • 应用备注

    WB 1:300-5000
    ELISA 1:500-1000
    IHC-P 1:200-400
    IHC-F 1:100-500
    IF(IHC-P) 1:50-200
    IF(IHC-F) 1:50-200
    IF(ICC) 1:50-200
    ICC 1:100-500

    限制

    仅限研究用
  • 状态

    Liquid

    浓度

    1 μg/μL

    缓冲液

    0.01M TBS( pH 7.4) with 1 % BSA, 0.02 % Proclin300 and 50 % Glycerol.

    储存液

    ProClin

    注意事项

    This product contains ProClin: a POISONOUS AND HAZARDOUS SUBSTANCE, which should be handled by trained staff only.

    储存条件

    4 °C,-20 °C

    储存方法

    Shipped at 4°C. Store at -20°C for one year. Avoid repeated freeze/thaw cycles.

    有效期

    12 months
  • 抗原

    ZNF703 (Zinc Finger Protein 703 (ZNF703))

    别名

    ZNF703

    背景

    Synonyms: NLZ1, ZPO1, ZEPPO1, ZNF503L, Zinc finger protein 703, Zinc finger elbow-related proline domain protein 1, ZNF703

    Background: Transcriptional corepressor which does not bind directly to DNA and may regulate transcription through recruitment of histone deacetylases to gene promoters. Regulates cell adhesion, migration and proliferation. May be required for segmental gene expression during hindbrain development.

    基因ID

    80139

    UniProt

    Q9H7S9

    途径

    Cell-Cell Junction Organization
You are here: