电话:
+86 (0512) 65829739
传真:
+86 (010) 6788 5057
电子邮件:
orders@antibodies-online.cn

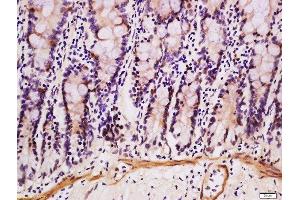
DEFB124 抗体 (AA 23-71)

The 兔 多克隆 anti-DEFB124 antibody is suitable to detect DEFB124 in samples from 人 和 小鼠. It has been validated for IF (cc), IF (p), ELISA, IHC (fro), IHC (p) 和 ICC.
产品编号 ABIN2690078
发货至: 中国
Contact our Customer Service for availability and price in your country. Contact Info

Our Local Distributor

中国
北京 101111
No. 88 KeChuang 6th Street
Beijing Economic Technological Development Area
Room 801-803
4A Biotech Co.,Ltd.
Tel +86 (0512) 65829739 传真 +86 (010) 6788 5057

Quick Overview for DEFB124 抗体 (AA 23-71) (ABIN2690078)

抗原

See all DEFB124 抗体
DEFB124 (Defensin, beta 124 (DEFB124))

适用

人, 小鼠

宿主

  • 14

克隆类型

  • 14
多克隆

标记

  • 1
  • 1
  • 1
  • 1
  • 1
  • 1
  • 1
  • 1
  • 1
  • 1
  • 1
  • 1
  • 1
  • 1
This DEFB124 antibody is un-conjugated

应用范围

Immunofluorescence (Cultured Cells) (IF (cc)), Immunofluorescence (Paraffin-embedded Sections) (IF (p)), ELISA, Immunohistochemistry (Frozen Sections) (IHC (fro)), Immunohistochemistry (Paraffin-embedded Sections) (IHC (p)), Immunocytochemistry (ICC)
You are here: