电话:
+86 (0512) 65829739
传真:
+86 (010) 6788 5057
电子邮件:
orders@antibodies-online.cn

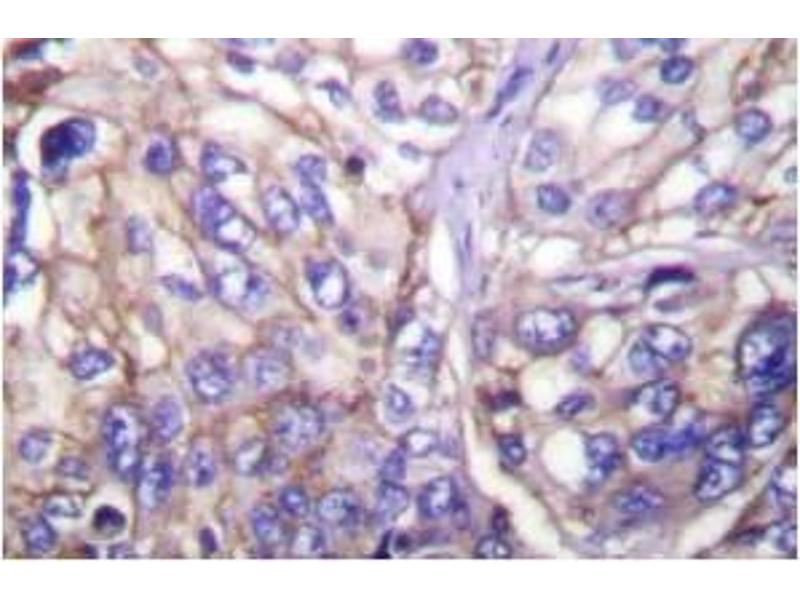
Claudin 7 抗体

The 兔 多克隆 anti-Claudin 7 antibody (ABIN265365) specifically detects Claudin 7 in WB, IHC (p) 和 EIA. The antibody is reactive with 人, 大鼠 和 小鼠 samples.
产品编号 ABIN265365
发货至: 中国
Contact our Customer Service for availability and price in your country. Contact Info

Our Local Distributor

中国
北京 101111
No. 88 KeChuang 6th Street
Beijing Economic Technological Development Area
Room 801-803
4A Biotech Co.,Ltd.
Tel +86 (0512) 65829739 传真 +86 (010) 6788 5057

Quick Overview for Claudin 7 抗体 (ABIN265365)

抗原

See all Claudin 7 (CLDN7) 抗体
Claudin 7 (CLDN7)

适用

  • 66
  • 25
  • 25
  • 4
  • 3
  • 2
  • 2
  • 2
  • 2
  • 1
人, 大鼠, 小鼠

宿主

  • 62
  • 4

克隆类型

  • 61
  • 5
多克隆

标记

  • 36
  • 3
  • 3
  • 3
  • 2
  • 2
  • 1
  • 1
  • 1
  • 1
  • 1
  • 1
  • 1
  • 1
  • 1
  • 1
  • 1
  • 1
  • 1
  • 1
  • 1
  • 1
  • 1
This Claudin 7 antibody is un-conjugated

应用范围

  • 40
  • 31
  • 29
  • 14
  • 13
  • 13
  • 11
  • 8
  • 3
  • 3
  • 2
  • 2
Western Blotting (WB), Immunohistochemistry (Paraffin-embedded Sections) (IHC (p)), Enzyme Immunoassay (EIA)
  • 特异性

    This antibody detects endogenous levels of Claudin 7 protein. (region surrounding Pro202)

    交叉反应 (详细)

    Species reactivity (expected):Mouse and Rat.
    Species reactivity (tested):Human.

    纯化方法

    Affinity chromatography

    纯度

    > 95 % by SDS-PAGE
  • 应用备注

    ELISA: 1: 20000approx. 1: 40000. WB: 1: 500approx. 1: 1000. IHC: 1: 50approx. 1: 200.
    Other applications not tested.
    Optimal dilutions are dependent on conditions and should be determined by the user.

    限制

    仅限研究用
  • 浓度

    1.0 mg/mL

    缓冲液

    Phosphate buffered saline (PBS), pH 7.2., 0.05 % sodium azide

    储存液

    Sodium azide

    注意事项

    This product contains sodium azide: a POISONOUS AND HAZARDOUS SUBSTANCE which should be handled by trained staff only.

    注意事项

    Avoid repeated freezing and thawing.

    储存条件

    4 °C/-20 °C

    储存方法

    Store the antibody undiluted at 2-8 °C for one month or (in aliquots) at -20 °C for longer.
  • 抗原

    Claudin 7 (CLDN7)

    别名

    Claudin-7 / CLDN7

    背景

    The Claudin superfamily consists of many structurally related proteins in humans. These proteins are important structural and functional components of tight junctions in paracellular transport. Claudins are located in both epithelial and endothelial cells in all tight junction-bearing tissues. Three classes of proteins are known to localize to tight junctions, including the Claudins, Occludin and junction adhesion molecule (JAM). Claudins, which consist of four transmembrane domains and two extracellular loops, make up tight junction strands. Claudin expression is highly restricted to specfic regions of different tissues and may have an important role in transcellular transport through tight junctions. mRNA studies indicate that claudin-7 is specifically expressed in mouse lung and kidney, but not in heart, brain, spleen, liver, skeletal muscle or testis. The gene encoding human claudin-7 maps to chromosome 17p13.Synonyms: CEPTRL2, CLDN-7, CPETRL2

    分子量

    approx. 23 kDa

    基因ID

    1366

    NCBI登录号

    NP_001171951

    UniProt

    O95471

    途径

    Hepatitis C
You are here: