电话:
+86 (0512) 65829739
传真:
+86 (010) 6788 5057
电子邮件:
orders@antibodies-online.cn

PGLYRP1 抗体 (C-Term)

This 山羊 多克隆 antibody specifically detects PGLYRP1 in WB, IHC 和 ELISA. It exhibits reactivity toward 人.
产品编号 ABIN263167
发货至: 中国
Contact our Customer Service for availability and price in your country. Contact Info

Our Local Distributor

中国
北京 101111
No. 88 KeChuang 6th Street
Beijing Economic Technological Development Area
Room 801-803
4A Biotech Co.,Ltd.
Tel +86 (0512) 65829739 传真 +86 (010) 6788 5057

Quick Overview for PGLYRP1 抗体 (C-Term) (ABIN263167)

抗原

See all PGLYRP1 抗体
PGLYRP1 (Peptidoglycan Recognition Protein 1 (PGLYRP1))

适用

  • 38
  • 5
  • 2
  • 1

宿主

  • 37
  • 5
  • 2
山羊

克隆类型

  • 36
  • 4
  • 2
多克隆

标记

  • 27
  • 3
  • 2
  • 2
  • 1
  • 1
  • 1
  • 1
  • 1
  • 1
  • 1
  • 1
This PGLYRP1 antibody is un-conjugated

应用范围

  • 26
  • 15
  • 9
  • 4
  • 3
  • 3
  • 3
  • 2
  • 1
  • 1
  • 1
  • 1
Western Blotting (WB), Immunohistochemistry (IHC), ELISA

质量等级

Verified
  • 抗原表位

    • 8
    • 5
    • 4
    • 3
    • 2
    • 2
    • 2
    • 1
    • 1
    • 1
    • 1
    • 1
    • 1
    • 1
    • 1
    C-Term

    原理

    PGRP-S

    序列

    PGNQLYHLIQ N

    交叉反应

    犬, 人

    纯化方法

    Purified from goat serum by ammonium sulphate precipitation followed by antigen affinity chromatography using the immunizing peptide.

    免疫原

    Peptide with sequence C-PGNQLYHLIQN, from the C Terminus of the protein sequence according to NP_005082.1.

    亚型

    IgG
  • 应用备注

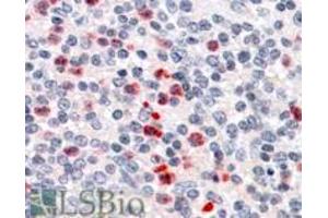
    Immunohistochemistry: In paraffin embedded Human Spleen shows staining of select splenocytes. Recommended concentration, 3-6 μg/mL.

    Western Blot: Approx 30 kDa band observed in lysates of cell line Jurkat (calculated MW of 21.7 kDa according to NP_005082.1). The observed molecular weight corresponds to earlier findings in literature with different antibodies (Lu et al, J Biol Chem. 20

    Peptide ELISA: antibody detection limit dilution 1:4000.

    限制

    仅限研究用
  • 状态

    Liquid

    浓度

    0.5 mg/mL

    缓冲液

    Supplied at 0.5 mg/mL in Tris saline, 0.02 % sodium azide, pH 7.3 with 0.5 % bovine serum albumin.

    储存液

    Sodium azide

    注意事项

    This product contains Sodium azide: a POISONOUS AND HAZARDOUS SUBSTANCE which should be handled by trained staff only.

    注意事项

    Minimize freezing and thawing.

    储存条件

    -20 °C

    储存方法

    Aliquot and store at -20°C, with minimal freeze/thawing. A working aliquot may be refrigerated at 4°C for a few weeks and still remain viable.
  • 抗原

    PGLYRP1 (Peptidoglycan Recognition Protein 1 (PGLYRP1))

    别名

    PGLYRP1

    背景

    PGRP-S, PGRPS, PGLYRP1, peptidoglycan recognition protein 1, MGC126894, MGC126896, PGLYRP, PGRP, TAG7, TNFSF3L, TNF superfamily, member 3 (LTB)-like (peptidoglycan recognition protein)

    基因ID

    8993

    NCBI登录号

    NP_005082

    途径

    Activation of Innate immune Response
You are here: