电话:
+86 (0512) 65829739
传真:
+86 (010) 6788 5057
电子邮件:
orders@antibodies-online.cn

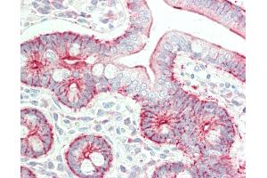
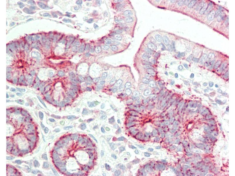
LIMA1 抗体 (C-Term)

The 兔 多克隆 anti-LIMA1 antibody is suitable to detect LIMA1 in samples from 人, 小鼠, 大鼠, 兔, 马 和 Cow. It has been validated for WB, IHC 和 IHC (p).
产品编号 ABIN2620464
发货至: 中国
Contact our Customer Service for availability and price in your country. Contact Info

Our Local Distributor

中国
北京 101111
No. 88 KeChuang 6th Street
Beijing Economic Technological Development Area
Room 801-803
4A Biotech Co.,Ltd.
Tel +86 (0512) 65829739 传真 +86 (010) 6788 5057

Quick Overview for LIMA1 抗体 (C-Term) (ABIN2620464)

抗原

See all LIMA1 抗体
LIMA1 (LIM Domain and Actin Binding 1 (LIMA1))

适用

  • 32
  • 7
  • 6
  • 5
  • 5
  • 4
  • 2
  • 2
  • 2
  • 1
  • 1
  • 1
  • 1
人, 小鼠, 大鼠, 兔, 马, Cow

宿主

  • 26
  • 6

克隆类型

  • 26
  • 6
多克隆

标记

  • 26
  • 2
  • 1
  • 1
  • 1
  • 1
This LIMA1 antibody is un-conjugated

应用范围

  • 31
  • 17
  • 7
  • 6
  • 6
  • 3
  • 3
  • 1
  • 1
  • 1
  • 1
  • 1
Western Blotting (WB), Immunohistochemistry (IHC), Immunohistochemistry (Paraffin-embedded Sections) (IHC (p))
  • 抗原表位

    • 8
    • 6
    • 4
    • 2
    • 2
    • 2
    • 2
    • 1
    • 1
    • 1
    • 1
    • 1
    • 1
    • 1
    • 1
    C-Term

    特异性

    Region between residues 700 and the C-terminus (residue 759) of human epithelial protein lost in neoplasm beta using the numbering given in entry NP_057441.1 (GeneID 51474).

    纯化方法

    Immunoaffinity purified

    亚型

    IgG
  • 应用备注

    Approved: IHC, IHC-P (5 μg/mL), WB (1:2500 - 1:10000)

    说明

    Target Species of Antibody: Human

    限制

    仅限研究用
  • 状态

    Liquid

    浓度

    Lot specific

    缓冲液

    Tris-citrate/phosphate buffer,  pH 7-8, 0.09 % sodium azide.

    储存液

    Sodium azide

    注意事项

    This product contains Sodium azide: a POISONOUS AND HAZARDOUS SUBSTANCE which should be handled by trained staff only.

    储存条件

    4 °C

    储存方法

    Store at 2-8°C for up to 1 year.

    有效期

    12 months
  • 抗原

    LIMA1 (LIM Domain and Actin Binding 1 (LIMA1))

    别名

    EPLIN

    背景

    Name/Gene ID: LIMA1

    Synonyms: LIMA1, SREBP3, EPLIN, LIM domain and actin binding 1

    基因ID

    51474
You are here: